Tidslinje om bioteknologi Sigrid

  • Første vaksine
    1000 BCE

    Første vaksine

    Den første vaksinen i verden blir tatt i bruk i Kina, mot en sykdom som heter kopper. Kineserne lagde en rifter i huden til friske personer og gnidde deretter inn puss fra sykdommen inn i kroppen deres. Personer som overlevde dette ble imune.
  • Første moderne vaksine

    Første moderne vaksine

    Den første moderne vaksinen ble funnet opp av den britiske legen Edvard Jenner, vaksinen var en koppevaksine basert på kukopper.
  • "On the Origin of Species by Means of Natural Selection"

    "On the Origin of Species by Means of Natural Selection"

    1859 ga Charles Darwin ut boken «On the Origin of Species by Means of Natural Selection». Boken omhandler artenes opprinnelse. Boken ble svært viktig for forståingen vår av evolusjon og biologi.
  • DNA blir for første gang identifisert

    DNA blir for første gang identifisert

    DNA blir for første gang identifisert i 1869.Dette ble oppdaget av den unge sveitseren Johann Friedreich Miescher da han studerte fosforrike koplinger i cellekjernen til blodceller. Koblingen ga han navnet «nuclein» siden han startet med cellekjernen.
  • Komplementære baser

    Komplementære baser

    I 1950 fant biokjemikaren Erwin Chargaff ut at det er nøyaktig like mange guanin(G)- som cytosin(C)-basar og like mange adenin(A)- som tymidin(T)-basar. (kalles i dag komplementære baser)
    Tidligere trodde man at det var like mange av dem alle
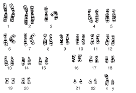
  • Mennesker- 46 kromosomer

    Mennesker- 46 kromosomer

    I 1956 blir det oppdaget at et menneske må ha 46 kromosomer. Denne oppdagelsen åpnet for å studere sammenhengen mellom kromosomavvik og ulike sykdommer og tilstander
  • Kloning av første pattedyr

    Kloning av første pattedyr

    Det første klona pattedyret var sauen Dolly.
    Sauen døde i 2003 da den hadde en lungesykdom.
  • Første genredigerte barn blir født

    Første genredigerte barn blir født

    For første gang har barn overlevd genredigering. Tvillingjentene som ble født i Kina skal visstnok være HIV-resistense.

Plan projects on a visual timeline

Map milestones, phases, deadlines, and key events in one place so the sequence is easier to see and share. Timetoast is a timeline maker for work, school, research, and stories.