Bioteknologi, Kap 6

  • egyptarane ser at levande gjærceller kan omsettes
    2600 BCE

    egyptarane ser at levande gjærceller kan omsettes

    Dei gamle egyptarane ser at levande gjærceller kan omsetje sukkeret i korn når det var vatn til stades, og at desse cellene kan produsere karbondioksid, som får brødet til å heve seg, eller alkohol, som får øl til å bli ein sterk drikk,
  • Den første primitive vaksinen blir brukt.
    1000 BCE

    Den første primitive vaksinen blir brukt.

    Den første primitive vaksinen blir brukt mot koppar i Kina.
  • Mikroorganismane oppdages

    Mikroorganismane oppdages

    Nederlandske Anton van Leeuwenhoek oppdagar mikroorganismane. Van Leeuwenhoek bruker mikroskopet for å studere livssyklusen til fleire små dyr.
  • Første moderne vaksine

    Første moderne vaksine

    Den britiske legen Edvard Jenner lagar den første moderne vaksine, ei koppevaksine basert på kukoppar.
  • Charles D. gir ut «On the Origin of Species by Means of Natural Selection».

    Charles D. gir ut «On the Origin of Species by Means of Natural Selection».

    Charles Darwin gir ut «On the Origin of Species by Means of Natural Selection». Dette verket blir svært viktig for forståinga vår av evolusjon og biologi.
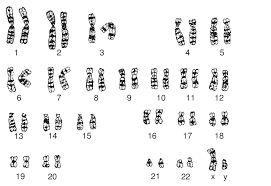
  • Oppdagar at menneske har 46 kromosom.

    Oppdagar at menneske har 46 kromosom.

    Ein oppdagar at det normale for menneske er å ha 46 kromosom.
  • Første gen overførte fra et dyr til eit annet dyr.

    Første gen overførte fra et dyr til eit annet dyr.

    I USA blir for første gong framande gen overførte til eit dyr (ei mus). I Kina ser den første klona fisken, ei gyllen karpe, dagens lys.
  • Første dom på grunn av genetisk fingeravtrykk

    Første dom på grunn av genetisk fingeravtrykk

    En person blir for første gang dømt etter at det blir brukt «genetisk fingeravtrykk».
  • Første klona pattedyret.

    Første klona pattedyret.

    Kloninga av sauen Dolly blir offentleggjort. Dolly, fødd 5. juli 1996, er det første klona pattedyret.
  • Første genmodifiserte laksen

    Første genmodifiserte laksen

    I 2015 blir den første genmodifiserte laksen i verda godkjend for sal i USA.

A list shows items. A timeline shows sequence.

Use Timetoast to make dates, milestones, and turning points easier to understand in a clear visual format. Timetoast is a timeline maker for work, school, research, and stories.