133268

Bioteknologi

  • Øl- og vinbrygging
    5000 BCE

    Øl- og vinbrygging

    Ei ca. 7000 år gammal krukke frå det som no er Iran, inneheld restar av noko som truleg har vore vin laga av kvae og druer. Og for 6000 år sidan brygga sumerarane i det gamle Mesopotamia (no Irak) øl. Ølet speler ei viktig rolle i samfunnet. Dei hadde til og med ei eigen gudinne for ølbrygging, Ninkasi. Arkeologar har funne ein leirinskripsjon med ei hymne til Ninkasi, som òg gir oppskrifta på sumerisk øl.
  • Arvelovene

    Arvelovene

    Den austerrikske munken Gregor Johann Mendel, «genetikkens far», formulerer arvelovene. Han studerer erteplanta og kjem fram til at eigenskapar blir nedarva gjennom det vi i dag kjenner som gen, og at kvart trekk blir bestemt av to faktorar, der den eine er arva frå mor og den andre frå far. Han ser òg at nokre trekk er dominante, mens andre er recessive. Han legg til grunn at kjønnscellene berre har halvparten så mange gen som vanlege celler.
  • DNA

    DNA

    I 1869 blir DNA for første gong identifisert. Det er den 25 år gamle sveitsaren Johann Friedreich Miescher som oppdagar DNA-et mens han studerer fosforrike koplingar i cellekjerna til blodceller. Han kallar koplinga «nuclein» sidan han starta med cellekjerna.
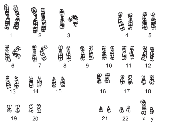
  • Kromosomer

    Kromosomer

    Ein oppdagar at det normale for menneske er å ha 46 kromosom. Oppdaginga opnar for å studere samanhengen mellom kromosomavvik og ulike sjukdommar og tilstandar.
    Den første beinmargstransplantasjonen blir gjennomført i USA under leiing av E. Donnall Thomas, som i 1990 fekk Nobel-pris for arbeidet.
  • Prøverør

    Prøverør

    Verdas første prøverøyrsbarn blir født i Storbritannia.
  • Fremmed DNA i planter

    Fremmed DNA i planter

    Framand DNA blir for første gong sett inn i planteceller.
  • Genetisk fingeravtrykk

    Genetisk fingeravtrykk

    En person (en amerikansk voldtektsmann) blir for første gang dømt etter at det blir brukt «genetisk fingeravtrykk».
  • Kloning av sauen Dolly

    Kloning av sauen Dolly

    Kloninga av sauen Dolly blir offentliggjort. Dolly, fødd 5. juli 1996, er det første klona pattedyret.

A list shows items. A timeline shows sequence.

Use Timetoast to make dates, milestones, and turning points easier to understand in a clear visual format. Timetoast is a timeline maker for work, school, research, and stories.