bio- og genteknologi opp gjennom årene

  • levende gjærceller og deres produksjon av CO2 oppdages
    2600 BCE

    levende gjærceller og deres produksjon av CO2 oppdages

    de gamle egypterne, og antakeligvis flere, oppdager at levende gjærceller omsetter sukkeret i korn når vann tilsettes. de ser også at cellene produserer karbondioksid og sørger for at for eksempel brød hever seg.
  • Robert Hooke oppdager plantecellen

    Robert Hooke oppdager plantecellen

    britiske Robert Hook oppdager plantecellen ved hjelp av mikroskopet oppfunnet i 1590. de minnet ham om munkene sine celler, derav navnet.
  • Charles Darwin gir ut "On the Origin of Species by Means of Natural Selection"

    Charles Darwin gir ut "On the Origin of Species by Means of Natural Selection"

    boken "On the Origin of Species by Means of Natural Selection" skrevet av Charles Darwin blir publisert, og blir veldig viktig for forståelsen av evolusjon og biologi
  • Gregor Johann Mendel, kjent som "genetikkens far", kommer med arvelovene

    Gregor Johann Mendel, kjent som "genetikkens far", kommer med arvelovene

    ved å studere erteplanter kommer Gregor Mentel frem til at egenskaper nedarvet og bestemt av to faktorer. den ene arvet fra mor, den andre fra far
  • studier av bakterier viser at arvematerialet består av DNA

    studier av bakterier viser at arvematerialet består av DNA

    selv om det ikke ble akseptert før 1952, kommer faktumet frem i 1944. det blir bevist at virus infiserer bakterier med DNA, og ikke protein.
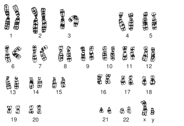
  • det blir oppdaget at det er normalt for mennesker å ha 46 kromosom

    det blir oppdaget at det er normalt for mennesker å ha 46 kromosom

    oppdagelsen om antall kromosomer som åpner opp for å se sammenhengen mellom kromosom avvik og ulike tilstander og sykdommer
  • verdens første prøverørsbarn blir født

    verdens første prøverørsbarn blir født

    barnet ble født i storbritannia
  • griser blir klonet

    griser blir klonet

    etter dette blir det skapt et håp rundt å kunne lage organer til mennesker, men det viste seg å være vanskeligere enn man skulle trodd

A list shows items. A timeline shows sequence.

Use Timetoast to make dates, milestones, and turning points easier to understand in a clear visual format. Timetoast is a timeline maker for work, school, research, and stories.