6

HISTORIA MALTRATO INFANTIL

  • REVOLUCIÓN INDUSTRIAL

    REVOLUCIÓN INDUSTRIAL

    Los niños ingresaron a trabajar 16 horas o más.
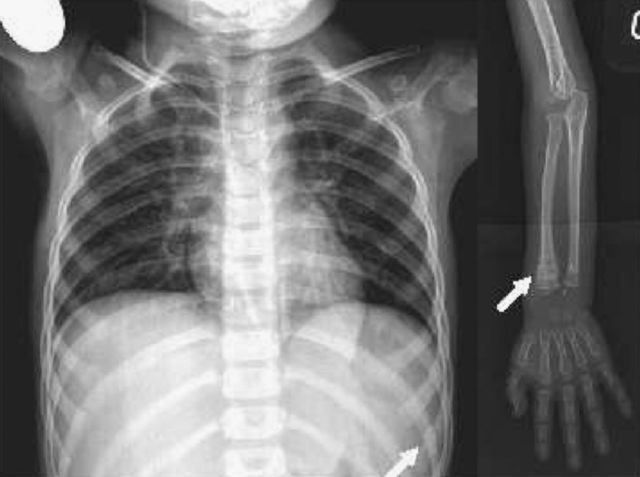
  • SINDROME DEL MLATRATO INFANTIL

    SINDROME DEL MLATRATO INFANTIL

    Se publicaron los hallazgos de fracturas múltiples y hematomas subdurales en 6 niños.
  • SILVERMAN

    SILVERMAN

    describió lo que llamó "Traumatismos Esqueléticos no reconocidos" y sugirió que muy posiblemente los padres eran los
    autores.
  • MARCOVICH

    MARCOVICH

    señaló que cada minuto un niño sufría maltrato físico o verbal por parte de alguno de sus padres.
  • BELSKY

    BELSKY

    El Modelo Ecológico del Maltrato Físico es denominado "ecológico" debido a que se manifiesta la necesidad de integrar los distintos niveles que de manera interactiva aumentan la probabilidad del maltrato físico infantiL
  • CORSI

    CORSI

    Según este autor, la violencia familiar comenzó a abordarse como problema social grave a comienzos de los 60, cuando algunos autores describieron el "síndrome del niño golpeado", re definiendo los malos tratos hacia los niños; también el abordaje periodístico de estos casos, contribuyó a generar un incremento de la conciencia pública sobre el problema.
  • REVISTA BOLETIN

    REVISTA BOLETIN

    Artículo llamado el castigo corporal en la niñez: ¿endemia o epidemia?, afirma que los años sesenta marcan un hito en la historia referente a la violencia contra los niños, desde entonces se han multiplicado los trabajos sobre el tema pero a pesar de las investigaciones realizadas, aún queda mucho por aclarar sobre la epidemiología de la violencia contra los niños, sus causas y sus mecanismos y las medidas más eficaces para prevenirla.
  • CORTES Y CANTÓN

    CORTES Y CANTÓN

    Mencionan que el abuso infantil ha existido siempre aunque ha sido durante los últimos 150 años cuando ha ido emergiendo como un problema social y una considerable cantidad de instituciones sociales y legales se han ocupado de él y que en un principio, este fenómeno no recibió atención como tal, sino que dentro del esfuerzo por acabar con el problema de los niños vagabundos e indigentes se encontraron diversos casos de maltrato infantil
  • BERK

    BERK

    Señala un aspecto muy importante y decisivo en la aceptación del problema,pero solo recientemente ha habido aceptación investigación centrada en entenderlo, y programas dirigidos a ayudar al niño maltratado y a las familias y quizá este aumento de interés público y profesional es debido al hecho de que el maltrato infantil es muy común en grandes naciones industrializadas o desarrolladas como las no desarrolladas y en vías de desarrollo.
  • MILNER

    el maltrato físico infantil es la generación, el desarrollo y/o promoción activa de conductas, sucesos y/o situaciones bajo el control de los padres que se traducen en lesiones físicas intencionales causadas a un menor de 18 años

Looking for a timeline maker?

Create timelines for projects, roadmaps, history, lessons, legal cases, and stories with Timetoast. Timetoast is a timeline maker for work, school, research, and stories.