Tidslinje om bioteknologi

  • Første vaksine
    1000 BCE

    Første vaksine

    1000 f.kr ble den første vaksinen i verden tatt i bruk. Vaksinen ble brukt mot en sykdom som heter kopper i Kina. Kineserne lagde rifter i huden til friske personer og gnidde deretter puss fra sykdommen inn i kroppen deres. Personer som overlevde denne behandlingen ble da immune mot sykdommen.
  • første mikroskopet

    første mikroskopet

    Det første mikroskopet ble funnet opp av en nederlandsk optikeren som het Zacharias Janssen. Denne oppfinnelsen blir svært viktig for den videre utviklingen av vitenskapen i verden.
  • Første moderne vaksine

    Første moderne vaksine

    Den første moderne vaksinen ble lagd av den britiske legen Edvard Jenner. Vaksinen var en koppevaksine som var basert på kukopper, altså en mildere variant av kopperviruset.
  • «On the Origin of Species by Means of Natural Selection»

    «On the Origin of Species by Means of Natural Selection»

    I 1859 ble boken «On the Origin of Species by Means of Natural Selection» som var skrevet av Charles Darwin gitt ut. Boken omhandlet fakta om artenes opprinnelse. Boken ble svært viktig for forståelsen vår av evolusjon og biologi.
  • Genetikkens far

    Genetikkens far

    Gregor Johann Mendel formulerer arvelovene. Han studerte erter og finner ut at egenskaper blir nedarvet gjennom to faktorer, mor og far. Han oppdager også at det finnes egenskaper som er dominant og recessiv.
  • DNA blir for første gang identifisert

    DNA blir for første gang identifisert

    DNA blir for første gang identifisert i 1869. DNA blir oppdaget av den unge sveitseren Johann Friedreich Miescher (25 år), Da han studerer fosforrike koplinger i cellekjernen til blodceller. Koblinga gir han navnet «nuclein» siden han starta med cellekjernen.
  • DNA-molekylet

    DNA-molekylet

    1. april 1953 publiseres den verdenskjente artikkelen som beskriver av James Watson og Francis Crick, artikkelen handlet om DNA-molekylet publiserer. de finner ut at DNA består av en dobbeltheliks, der to tråder går i motsett retning og at basene peker innover, og at A-T og G-C utgjør basepar. Vi veit i dag at de hadde rett.
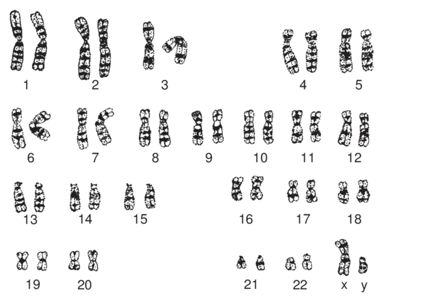
  • 46 kromosomer

    46 kromosomer

    I 1956 ble det oppdaget at for mennesker er det normalt å ha til sammen 46 kromosomer. Denne oppdagelsen åpnet for å studere sammenhengen mellom kromosomavvik og ulike sykdommer og tilstander.

A list shows items. A timeline shows sequence.

Use Timetoast to make dates, milestones, and turning points easier to understand in a clear visual format. Timetoast is a timeline maker for work, school, research, and stories.