Medical History

  • Jan 1, 1489

    Leonardo De vinci

    dissects body
  • Anton van Leeuwenhoek

    discovered blood cells
  • Developed vaccine for small pox

  • Rene Laennec

    invents the stethoscope
  • Elizabeth Blackwell

    Elizabeth Blackwell

    First woman to qualify as a doctor in the U.S. Inspired Florence Nightangale to pursue nursing.
  • Louis Pasteur

    identifies germs as cause of disease
  • First vaccine developed for cholera

  • American Red Cross founded

  • Clara Barton

    Clara Barton

    Founded the American Red Cross
  • Vaccine developed by rabies

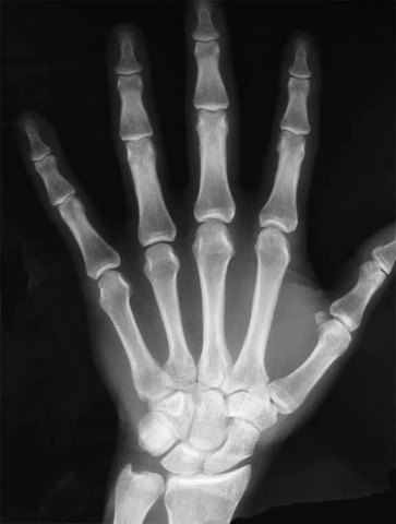
  • Discovered x-rays

    Discovered x-rays

  • Felix Hoffman

    develops aspirin
  • Marie Curie

    Marie Curie

    Isolated radium
  • Pasteur

    Insulin first used to treat diabetes
  • First Vaccine discovered for whooping cough

  • First vaccine developed for tetanus.

  • Alexander Fleming

    Alexander Fleming

    Discovered penicillin
  • Jonas Stalk

    Jonas Stalk

    Developed polio vaccine
  • Christian Barnard

    Christian Barnard

    Performed first heart surgery.
  • Christiaan Barnard

    performs first heart transplant
  • Robert S. Ledley

    invented CAT scans
  • Louise Brown

    first test tube baby
  • Willem J. Kolff

    invented the artificial kidney dialysis machine
  • first vaccine to target a cause of cancer

A list shows items. A timeline shows sequence.

Use Timetoast to make dates, milestones, and turning points easier to understand in a clear visual format. Timetoast is a timeline maker for work, school, research, and stories.