Project 1

By Kaeli S
  • When I was born

    When I was born

    This is very important because it is when I was born. If this never happened I wouldn't be alive. Because of this date I have a great live ahead of me.
  • my sister was born

    my sister was born

    This day my little sister was born. Without her I would be an only child. I wouldn't have a sibling to love if she wasn't here.
  • Started school at Scott Libby

    Started school at Scott Libby

    This is the start of my education. Everything was new to me. I learned so much during kindergarten and it was fun being around other kids.
  • Started at school at Verrado

    Started at school at Verrado

    I moved to this school for 1st grade. I had new friends and and new teachers. I also had a bully there.
  • my parents got a divorce

    my parents got a divorce

    It was hard to think about my parents being apart but it worked out fine. I had to move to another house. I still get to see both sides of my family.
  • Started school at mountain view

    Started school at mountain view

    After the divorce I had to start all over again. I had new friends and a new school. I stayed at this school until 8th grade.
  • I got the greatest group of friends

    I got the greatest group of friends

    When I was at mountain view I had the greatest group of friends. They made me really happy and I could not wait to be back to school to see them. They are all still my friends and we made some great memories together.
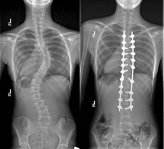
  • I figured out I had scoliosis

    I figured out I had scoliosis

    I had pain in my back and someone said my back was curved. I went to the doctors and they told me the news. My heart felt liked it stopped. It was a big impact on my life.
  • I got my scoliosis surgery

    I got my scoliosis surgery

    Before my surgery I had to wear a brace. I was really scared and after my surgery I had to learn how to do things differently. It was difficult for me to get used to my new body.
  • started online schooling

    started online schooling

    This was an amazing change for me. I love online schooling. If I keep it up I can graduate early and that can be a great thing.

Want to make a timeline like this?

Use Timetoast to turn dates, events, milestones, and phases into a clear visual timeline you can build and share. Timetoast is a timeline maker for work, school, research, and stories.