My Timeline

  • My Birth

    My Birth

    At 10:16 in the morning, on April 6th 1996, my mom gave birth to me. She was in labour for 12 hours! She was rushed to St. Josephs hospital downtown, and the rest is history!
  • First Day of School

    My first day of kindergarden was on Sept. 7th 2000, at Our Lady of Lourdes Catholic Elementary School. My teacher, Mrs. Corso was a great teacher, and taught me many things. Like many other kids on the first day, when my mom was about to leave after dropping me off, I started bawling! Soon after the teacher could finally tear me off of my moms leg, I completly forgot she was leaving and i had a great day! I still have many friends I met from elementary school that I have today.
  • First Holy Communion

    First Holy Communion

    My first holy communion was a very important day in my life. It was the day I recieved the Holy Eucharist. This helped me realize that being a part of the Catholic church is very important and you should try to be the best person you can be, and know that God is with you always.
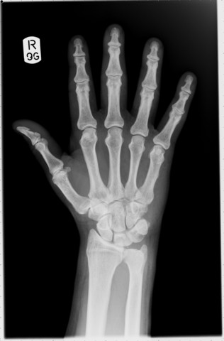
  • Broke My Wrist

    Broke My Wrist

    The first week of summer, I had basketball camp at STM. It was called Moore Hoops. As we were doing a drill, a boy beside me cut right in front of me and tripped me! I ended up slamming my right wrist against the hard wood floor, causing a break in the bone. I had to wear a full arm cast for the whole summer!
  • Britney Spears Concert

    Britney Spears Concert

    <a href='' >http://www.youtube.com/watch?v=lVhJ_A8XUgc&ob=av2e</a> I am a HUGE Britney Spears fan. Some people may think she isn't anything special, but I've always loved her, and her music. For my sisters birthday, herself, some friends and I all went to see her down at Cops. We almost didn't go however, because my sister was sick all morning! In the end she toughed it out, and we all went and had a fantastic time!
  • Uncle Dave

    Uncle Dave

    We lost a very loved family member in 2009; my uncle Dave. My uncle was a very loving person, and was always the type of man to make the whole room laugh. Uncle Dave had a very bad stroke and the doctors said if he made it, he would have the brain of a 3 month old, but he died within the week. We know that he is in a better place now, but we still all miss him alot. The love and support from all my family helped me get through the hard time of loosing such a great man.
  • Grade 8 Graduation

    Grade 8 Graduation

    Graduation marked a very important time in my life. In a way, I did, and didn't want to graduate. I didn't want to leave the safety of being in a small community, but I did because I wanted to be exposed to new things like high school. Grad was an awesome day however! We had our ceramony at our church and after that we had a dance in the school gym, That was definetly a night I'll never forget!
  • Aunt Judy

    Aunt Judy

    After the passing of my uncle Dave, my aunt Judy was just never the same. A year after he passed away, my aunt died too. She loved him and cared for him with all her heart, and in a way couldn't live without him. My aunt also had an alcohol problem, which was another factor of her death. We all miss aunt Judy as much as uncle Dave, but we know that they're together now, and happy in heaven
  • Disney World 2011

    Disney World 2011

    My family and I go to Disney World every year. We've been going ever since I can remember! It's our big trip of the year and we get so excited each time. This was the 7th time we've been, and it never gets old for my family. We go with my dads brother's family, but this year they couldn't come, so we asked my mom's sister and her family to come, and we had a blast! My dad's brother and his family however are coming next year, and I can't wait!
  • Wizarding World of Harry Potter

    Wizarding World of Harry Potter

    http://www.universalorlando.com/harrypotter/ This year, was one of the best years that I went to Florida, beacause the new Harry Potter theme park was up at Universal Studios! I was so excited! The park was perfect and I loved every second of it. There was rides, shops and so much more. It was honestly magical.
  • First Day of High School

    First Day of High School

    High school. Some say its the best four years of your life, and so far, i'd have to agree with them. Although, my first day was pretty nerve racking. I didn't know anyone except for 5 people in my grade 9 class on the first day. It took me a while to get used to the transition, but eventually I fit right in! I absolutly love high school now, and I've made friends that im positive I'll have for the rest of my life!

Want to make a timeline like this?

Use Timetoast to turn dates, events, milestones, and phases into a clear visual timeline you can build and share. Timetoast is a timeline maker for work, school, research, and stories.