70d770a9 9115 4706 b8a1 2e22e6d849d7

History of healthcare Reynolds

  • Period: 4000 BCE to

    Early beginnings

  • Disease caused by
    3900 BCE

    Disease caused by

    Evil spirits
  • Treatments for the sick
    3600 BCE

    Treatments for the sick

    Blood letting
    Exorcism
    Prayer and devine intervention
  • Medicines used today
    3100 BCE

    Medicines used today

    Digitalis: Heart medication
    Quinine:controls fever, relieves muscle spasms, prevent malaria
    Belladonna and atropine: relieves muscle spasms
    Morphine: pain killer
  • Period: 2999 BCE to 399

    Ancient Times

  • Ancient Egyptians
    2900 BCE

    Ancient Egyptians

    Egyptians were the first to track health records
    Physicians = Priests
    Healed by using medicines and bloodletting
  • Ancient Chinese
    1900 BCE

    Ancient Chinese

    Development of acupuncture. Used stone tools.
  • Ancient Greeks
    900 BCE

    Ancient Greeks

    Illness cause Nature vs. Spiritual: exorcise Evil spirits. Superstitious about and wants gods to heal them.

    Dissection: religious customs didn't allow for human dissections.
    Hippocrates: father of medicine. Oath of Hippocrates.
  • Ancient Romans
    100

    Ancient Romans

    Sanitation Systems: Aqueducts were invented
    Roman’s were the first to organize medical care
    Hospital development: public buildings were used. Physicians wore a death mask filled with spies.
  • Period: 400 to 800

    Dark Age

  • stopped the  study of medicine
    500

    stopped the study of medicine

    Life and death was determined by God
  • How do they treat disease
    700

    How do they treat disease

    Prayers and herbs
  • Period: 800 to 1400

    Middle Age

  • Epidemics
    1100

    Epidemics

    Millions of deaths. Uncontrollable diseases
  • Period: 1350 to

    Renaissance

  • Rebirth
    1450

    Rebirth

    Universities and med schools for research
    Dissection can be used for study
    Books can be published
  • Period: 1501 to

    16th and 17th Centuries

  • Leonardo da Vinci
    1515

    Leonardo da Vinci

    Studied and recorded anatomy of the body
  • Gabriele Fallopius
    1550

    Gabriele Fallopius

    Discovered Fallopian tubes
  • Bartolommeo Eustachio
    1563

    Bartolommeo Eustachio

    Discovered the tube that leads from ear to throat. (Eustachian tube)
  • William Harvey

    William Harvey

    Physiology and could describe circulation of blood and a pumping heart
  • Antonie von Leeuwenhoek

    Antonie von Leeuwenhoek

    Invented the microscope
  • Apothecaries

    Apothecaries

    prepared and sold medicines
  • Period: to

    18th Century

  • Benjamin Franklin

    Benjamin Franklin

    Discovered Bifocals and that colds can be passed around
  • Medical students learning

    Medical students learning

    Attended lectures in classrooms and observed patients at bedside
  • Joseph Priestley

    Joseph Priestley

    Discovered the element oxygen and how it links to respiration.
  • Edward Jenner

    Edward Jenner

    Vaccination for smallpox
  • Rene Laennec

    Rene Laennec

    Invented stethoscope
  • Period: to

    19th and 20th Centuries

  • Ignaz Semmelweis

    Ignaz Semmelweis

    Identified that physicians didn't wash their hands leading to puerperal fever. Meaning woman would die from infection after giving birth.
  • Florence Nightingale

    Florence Nightingale

    Supported woman working as nurses, designed a hospital, and helped aid in war.
  • Louis Pasteur

    Louis Pasteur

    Father of Microbiology. Microorganismos = everywhere. Found heating food kills bacteria. Created vaccine for rabies.
  • Dmitri Ivanovski

    Dmitri Ivanovski

    discovered viruses
  • Joseph Lister

    Joseph Lister

    First doctor to use an antiseptic (prevent infection)
  • Ernst von Bergmann

    Ernst von Bergmann

    Developed asepsis. Meaning areas free of germs
  • Robert Koch

    Robert Koch

    Discovered disease causing organisms. Supported cleanliness and sanitation.
  • Paul Ehrlich

    Paul Ehrlich

    Made treatments to kill only the bad bacteria
  • Wilhelm Roentgen

    Wilhelm Roentgen

    Discovered x-rays
  • Anesthesia

    Anesthesia

    Before the nineteenth century, physicians used herbs, hashish, and alcohol to lessen the pain
  • Sir Alexander Fleming

    Sir Alexander Fleming

    Found that penicillin killed very harmful bacteria
  • Sigmund Freud

    Sigmund Freud

    Conscious vs unconscious part of the mind
  • Gerhard Domagk

    Gerhard Domagk

    Discovered sulfonamide compounds. Meaning medicines to kill bacteria effectively.
  • Jonas Salk

    Jonas Salk

    Dead polio virus = immunity to poliomyelitis
  • Albert Sabin

    Albert Sabin

    Used a live polio virus vaccine to immunize babies
  • Francis Crick and James Watson

    Francis Crick and James Watson

    Double helix model
  • Christian Barnard

    Christian Barnard

    Preformed the first successful heart transplant
  • Ben Carson

    Ben Carson

    Separates Siamese twins and preforms hemispheres
  • Period: to

    21st Century

  • HIV treatments

    HIV treatments

    Better control of virus and effective single dose therapy
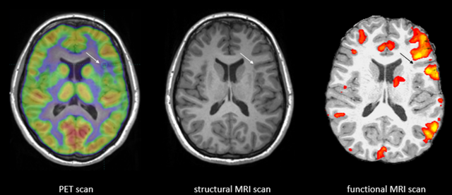
  • MRI and fMRI

    MRI and fMRI

    Allows doctors to see what the brain looks like and what it does
  • Laparoscopic Surgery

    Laparoscopic Surgery

    Smaller incisions and less pain
  • Cancer treatment

    Cancer treatment

    chemotherapy and radiation therapy but also targeted therapy drugs
  • Bionic Prosthetics

    Bionic Prosthetics

    Ability to replace a body part with a functional device