The overtime progression of AIDS

  • Period: to

    The progression of AIDS

  • This is weird???

    This is weird???

    In a hospital in Copenhagen, people begin to die from a rare form of pneumonia and opertunistic infections.
  • Paris begins to take notice.

    Paris begins to take notice.

    In Paris, they begin to question the same things. Because the same things are happening there as well as the US. They found symptoms of warts on the arms and fungus in the mouth.
  • Washington D.C.

    Washington D.C.

    French-Canadian flight attendent Gaetan Dugas is deemed as "patient zero".
  • Alanta

    Alanta

    Homosexual men begin to take notice from the CDC, because the majority of gay men are contracting the diesease.
  • Its getting bigger!!!

    Its getting bigger!!!

    The CDC begins to notice most of the gay men who are contracting the disease all go to bath houses. Also the newspapers and magizines begins to publish about the cases of what is happening. Basic research starts to see how the disease is spread. Which they found that it could be from sexual transmiting it.
  • Emergency!

    Emergency!

    The CDC finds out that women are able to contract it too. They began to think that it was a single infectious agent that was sexually transmitted. Mortallity rate could be up to 100% if they dont find out what this is that is making everyone die.
  • The findings.

    The findings.

    160 cases so far and 88 deaths so far at this point.
  • 285 cases 119 deaths in 17 states

    285 cases 119 deaths in 17 states

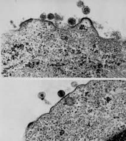
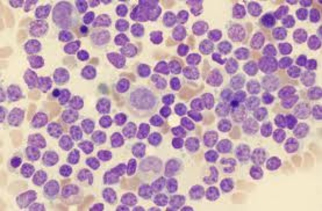
    Testing in animals start, but they use chimps or gorillas. When they do the testing on the animals they inject them with HIV. And do many drug testing on them. Also at this time information leads to that haitians are starting to get the disease. The CDC finds out what the disease is doing to break down the body, which is that something is gobbling up the T cells.
  • Its a mix!!

    Its a mix!!

    The CDC and Robert Gallo found out that it was a cross between feline leukemia and hepitis B.
  • Other People??

    Other People??

    First case of a female IV drug user died from AIDS. First case of a Hemapheliac male found to have AIDS. Also a group of infants who had blood transfusions. This is when the CDC finds that is a blood-borne illness.
  • AIDS

    AIDS

    The gay communitee gets offended by the disease being called a gay disease. Which its is not gay specific. So they changed it to AIDS (acquired immune deficiency syndrome).
  • blood transfusions

    blood transfusions

    At this time most of the blood that has been used for blood tranfusions has been infected with AIDS. Also France finds the retro virus to AIDS.
  • Selfish...

    Selfish...

    Robert Gallo takes all the credit of finding the retro virus of AIDS. When the French found it first!
  • After 8408 cases and 6305 deaths later.

    After 8408 cases and 6305 deaths later.

    Law suit comes up on Robert Gallo from the French because he used some of their samples to find his retro virus. Which were very compatiable to his.
  • Are they clean??

    Are they clean??

    Transfusion blood was finally tested and most of all the blood was posititive for AIDS. Homosexual bathhouses were closed down to stop further spread of AIDS.
  • politics

    politics

    President Regan finally begins to even acknowledge the AIDS epidemic.
  • AZT

    AZT

    AZT (zidovudine), the first antiretroviral drug, becomes available to treat AIDS.
  • Special day.

    Special day.

    On this day was the first World AIDS day.
  • Therapies

    Therapies

    The first combination drug therapies for AIDS are introduced.
  • WHO

    WHO

    WHO (world health organization) estimates between 15% and 20% new AIDS infections worldwide are the result of blood transfusions.
  • FDA

    FDA

    FDA licenses the first nucleic acid test (NAT) intended for screening blood and plasma donations.
  • Animals?

    Animals?

    Gorillas were found to have a type of the same AIDS we get.
  • A miracle!

    A miracle!

    The first case of someone being cured form AIDS.Timothy Ray Brown the treatment was a blood stem cell transplant.
  • Timothy Ray Browns Confirmation

    Timothy Ray Browns Confirmation

    Comfirmation of the first patient who was cured 4 years later after treatment.