Technological Developments in Psychology

  • Invention of the Printing Press
    Jan 1, 1440

    Invention of the Printing Press

    Johannes Gutenberg invented the printing press which revolutionized the communication of psychological findings. With the ability to print and publish books, journals and pamplets about new psychological findings, other psychologists as well as the general public had access to printed information. For an animated short story about the invention of the printing press, watch the following link.
    Printing Press Video
  • Invention of EEG

    Invention of EEG

    Psychiatrist Hans Berger invents the electroencephalogram and tests it on his son. The device graphs the electrical activity of the brain by means of electrodes attached to the head. This expanded knowledge of psychology by providing a noninvasive functional method of scanning the brain.
    For more information on an EEG scan, watch this video
  • Invention of CT scan

    Invention of CT scan

    The CT scan was invented by two independent scientists, Godfrey Hounsfield in England and Allan Cormack in the United States. The first machines were installed between 1974 and 1976. The CT scan enables direct imaging of the brain. It can detect brain tumors and other brain abnormalities. This machine revolutionized the different imaging techniques available to increase psychological knowledge of brain structures.
    A further explanation of CT scans
  • Invention of MRI

    Invention of MRI

    The MRI scan was first demonstrated in 1973. The magnetic resonance imaging machine creates a strong magnetic field placed around the brain and gave psychologists a noninvasive way to structurally scan the brain. This is a technological tool still utilized today and greatly influenced the field of psychological knowledge of the brain. The following video showcases some images that an MRI scan produces.
    MRI Scan Video
  • Personal Computer

    Personal Computer

    Beginning in 1981 the personal computer was launched by IBM. This significantly furthered the knowledge of psychology through technology by creating a personal device that people can communicate through and gain knowledge of published papers or newly discovered psychological data. Laptops and search engines have made highly specialized psychology information available for students whenever and wherever they are able to connect to the internet.
  • First Online Class Through Electronic University Network

    First Online Class Through Electronic University Network

    The EUN offers its first online course for students. This was before the World Wide Web and students had to use proprietary software and communicate over telephone lines. This developed to become a huge network of online classes that students can access. Now, certain classes or an entire university can be found online. This has changed what a degree in psychology can look like. It has made getting a psychology degree accessible for students who have scheduling or geographic hurdles.
  • World Wide Web

    World Wide Web

    In 1989, the World Wide Web was created by Tim Berners-Lee. Utilizing the multi-faceted abilities of the internet, a student in psychology has more technology at their disposal than ever before. From researching paper topics to taking notes in class; the computer can successfully perform a plethora of tasks which formerly required the student to spend unlimited hours at the university library, manually taking notes.
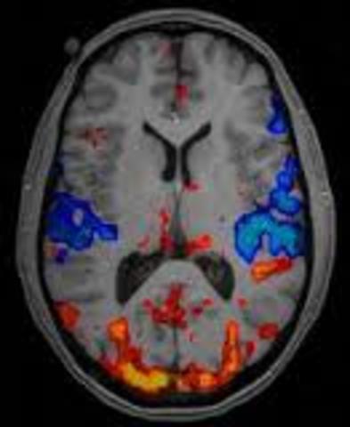
  • Invention of fMRI

    Invention of fMRI

    The invention of the functional magnetic resonance imaging machine was a groundbreaking scanner that significantly impacted the gain of psychological knowledge through technology. The fMRI machine measures changes in the oxygen levels in the brain which is an indicator of blood flow, a property of cortical activity. FMRI scanning has revealed important and groundbreaking information such as that the brain is in constant activation as well as an insight into neural networks.
  • Online Psychological Surveys

    Online Psychological Surveys

    With the invention of the internet, the ability to conduct psychological surveys online developed. In 1998 there were 35 Internet experiments and surveys in the on the Net.Tests that were once completed with pencil and paper are now done on computers. Test takers using computers can be fed different questions based on their answers of previous questions. Research psychologists and diagnosticians take advantage of this to create more accurate assessments.
  • Sequencing the Human Genome

    Sequencing the Human Genome

    Sixteen public research institutions around the world complete a "working draft" mapping of the human genetic code, providing a research basis for a new understanding of human development and diseases relating to psychology.

Looking for a timeline maker?

Create timelines for projects, roadmaps, history, lessons, legal cases, and stories with Timetoast. Timetoast is a timeline maker for work, school, research, and stories.