Images

Síndrome por alteración de ADN

  • Period: to

    Los hallazgos sobre las celulas

    Durante la primera mitad del siglo XX crece el interés en los aspectos médicos y se realizan descubrimientos morfológicos sobre la célula, el núcleo y las partículas de colores de su interior, a las que se llamó cromosomas (cromo-color y soma-cuerpo). El descubrimiento del ácido nucleico en los cromosomas dio paso al conocimiento de que la información contenida en el núcleo era la responsable de los caracteres hereditarios.
  • Period: to

    Las leyes de mendel

    Las leyes de Mendel, publicadas en 1865 por el naturalista Gregor Mendel, aportan el conjunto de reglas básicas sobre la transmisión por herencia genética de las características de los organismos de padres a sus hijos, y constituyen el fundamento de la genética. Aunque sería hacia 1900 cuando se redescubre a Mendel, sus leyes se trasladan a los humanos y se realizan los primeros estudios en la mosca ('Drosophila').
  • Period: to

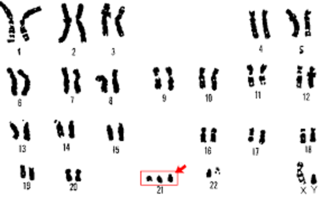
    El sindrome de down

    Entre los años 59 y 61 un joven investigador francés, Jérôme Lejeune, describió la causa de la primera enfermedad genética, el síndrome de Down, al descubrir la copia extra del cromosoma 21.
  • Period: to

    El modelo doble helice

    El modelo de la estructura de doble hélice del ADN en 1953 por Francis Crick y James Watson permitirá explicar cómo se reproducen las células entre sí y de este modo los sistemas genéticos de la reproducción humana. Se dio paso entonces al desarrollo de los servicios genéticos en diversos países entre los años 50 y los 60 con el objetivo primordial de descubrir la base de las enfermedades genéticas.
  • Period: to

    la reaccion en cadena de polimerasa

    Entre 1985 y 1990 el genetista Kary Mullis y sus colegas desarrollan la técnica de la reacción en cadena de polimerasa (PCR) para ampliar y detectar una secuencia de ADN específica de manera muy rápida in vitro.Utilización de herramientas genéticas En 1986 se identifica el primer gen causante de una enfermedad humana mediante herramientas genéticas (clonación posicional), el de un trastorno inmunológico denominado enfermedad granulomatosis crónica.
  • Period: to

    La clonacion

    Con el conocimiento del código de instrucciones de cada célula, su estructura y propiedades, en los años 70 fue posible comenzar a manipular dicho código a través de estudios en el laboratorio, como copiar o clonar y secuenciar el material genético o ADN. En 1996 se conseguirá realizar la primera clonación de un mamífero a partir de una célula adulta, hablamos de la oveja Dolly.
  • Period: to

    Los nacimientos in vitro

    En 2000 nació el primer bebé "a la carta" libre de la Anemia de Fanconi que padecía su hermana y cuyas células de cordón sirvieron para curarla. La técnica de análisis embrionario (diagnóstico preimplantación tras fecundación in vitro) nos permite evitar el nacimiento de niños con determinadas enfermedades hereditarias.
  • Period: to

    El proyecto del genoma humano

    En el año 90 del pasado siglo comienza el Proyecto del Genoma Humano, cuya secuencia se ha completado en el año 2006. No hay un genoma de referencia sino que cada persona tenemos nuestro genoma único, y hay que tener en cuenta las variaciones estructurales y los cambios de secuencia que nos confieren la individualidad, No hay un genoma de referencia sino que cada persona tenemos nuestro genoma único además de las alteraciones que nos causan enfermedad.
  • Period: to

    Efecto de la edad paterna en la presencia de mutaciones en los espermatozoides

    En el trabajo, los investigadores analizan el origen de las mutaciones egoístas, mutaciones responsables de causar enfermedades que se producen en la línea germinal masculina y cuya frecuencia aumenta con la edad.Al estudiar cómo aparecen estas mutaciones durante la formación de los espermatozoides, los investigadores concluyen que posiblemente aumenten la supervivencia y la capacidad proliferativa de las espermatogonias, y con ello la posibilidad de producir más espermatozoides con mutaciones.
  • Period: to

    Se utiliza en humanos por primera vez la tecnología CRISPR de edición del genoma

    un paciente con cáncer de pulmón recibió por primera vez células modificadas genéticamente mediante esta tecnología de edición del genoma.
    El objetivo principal del ensayo, pionero en la utilización de CRISPR, es comprobar la seguridad de la tecnología para los pacientes. Aunque la información disponible es muy reducida, el director del proyecto, ha indicado que el paciente toleró el tratamiento y recibiría una nueva inyección de células modificadas.
  • Period: to

    Nace el primer niño con ADN de tres personas mediante la técnica de transferencia del huso mitotico

    El nacimiento de un bebé con ADN de tres personas mediante la técnica de transferencia del huso mitótico, con el objetivo de prevenir una enfermedad hereditaria fatal
    La técnica, que permite generar embriones con copias del genoma nuclear de los progenitores y ADN mitocondrial de una donante, está destinada a evitar la transmisión de enfermedades de herencia mitocondrial, de la madre a la descendencia.
    De momento, el niño no muestra signos de la enfermedad transmisible por su madre