Genética 960x623

Avances de la Genética a través de la historia por: Ernesto García Recinos

  • Preformacionismo
    500 BCE

    Preformacionismo

    Autores: Leucipo de Mileto y Demócrito.
    El preformacionismo (también llamado preformismo o teoría preformista) es una antigua teoría biológica según la cual el desarrollo de un embrión no es más que el crecimiento de un organismo que estaba ya preformado (homúnculo).
    Referencia: Gould, S. J. (1977), Ontogeny and Phylogeny. Cambridge MA: Harvard Univ. Press.
  • Epigenetismo
    300

    Epigenetismo

    Autor: Aristóteles
    El epigenetismo es la teoría embriológica según la cual el organismo no está preformado en el cigoto, sino que se desarrolla como resultado de un proceso de diferenciación a partir de un origen material relativamente homogéneo.
    Referencia:
  • Descubrimiento de los cromosomas

    Descubrimiento de los cromosomas

    Autor: Karl Wilhelm von Nägeli.
    Los cromosomas fueron observados en células de plantas por el botánico suizo Karl Wilhelm von Nägeli en 1842.
    Referencia: Nägeli C. "Memoir on the nuclei, formation, and growth of vegetable cells (A. Henfrey, trans.), in C. and J. Adlard, eds, Reports and Papers on Botany. London: The Ray Society, 1846.
  • Experimentos sobre hibridación de plantas

    Experimentos sobre hibridación de plantas

    Autor: Gregor Mendel
    Es la obra clásica del monje Gregor Mendel, considerado el padre de la genética, en la cual describe los experimentos con el guisante que le permitieron elaborar las afamadas leyes que llevan su nombre.
    Referencia: Ernest W. Crow and James F. Crow (2002). «100 Years Ago: Walter Sutton and the Chromosome Theory of Heredity».
  • ADN

    ADN

    Autor: Friedrich Miescher
    Aisló varias moléculas ricas en fosfatos, a las cuales llamó nucleínas (actualmente ácidos nucleicos), a partir del núcleo de los glóbulos blancos, y así preparó el camino para su identificación como los portadores de la información hereditaria, el ADN.
    Referencia: Dahm, Ralf (2008), «Discovering DNA: Friedrich Miescher and the early years of nucleic acid research.»
  • Avances en términos de División Celular

    Avances en términos de División Celular

    Autores: Walther Flemming, Eduard Strasburger, y Edouard Van Beneden.
    Describieron la distribución cromosómica durante la división celular.
    Referencia: Ernest W. Crow and James F. Crow (2002). «100 Years Ago: Walter Sutton and the Chromosome Theory of Heredity»
  • Teoría a cerca de las Leyes Mendelianas

    Teoría a cerca de las Leyes Mendelianas

    Autor: Walter Sutton
    Estableció la hipótesis según la cual los cromosomas, segregados de modo mendeliano, son unidades hereditarias.
    Referencia: Ernest W. Crow and James F. Crow (2002). «100 Years Ago: Walter Sutton and the Chromosome Theory of Heredity».
  • Ley de Hardy-Weinberg

    Ley de Hardy-Weinberg

    Autores: G. H. Hardy y Wilhelm Weinberg.
    En genética de poblaciones, el principio de Hardy-Weinberg stablece que la composición genética de una población permanece en equilibrio mientras no actúe la selección natural ni ningún otro factor y no se produzca ninguna mutación.
    Referencia: L. L. Cavalli-Sforza / W. F. Bodmer, Genética de poblaciones humanas, Ediciones Omega S. A. Barcelona 1981.
  • Teoría cromosómica de Sutton y Boveri.

    Teoría cromosómica de Sutton y Boveri.

    Autores: Theodor Boveri y Walter Sutton.
    La teoría cromosómica de Sutton y Boveri enuncia que los alelos mendelianos están localizados en los cromosomas.
    Referencia: Ernest W. Crow and James F. Crow (2002). «100 Years Ago: Walter Sutton and the Chromosome Theory of Heredity»
  • Cartografía genética

    Cartografía genética

    Autor: Alfred Sturtevant
    Desarrolló una técnica para trazar la localización de los genes específicos de los cromosomas en la mosca Drosophila. Sturtevant construyó el primer mapa genético de un cromosoma en 1913.
    Referencia: Ernest W. Crow and James F. Crow (2002). «100 Years Ago: Walter Sutton and the Chromosome Theory of Heredity».
  • The Correlation Between Relatives on the Supposition of Mendelian Inheritance

    The Correlation Between Relatives on the Supposition of Mendelian Inheritance

    Autor: Ronald Fisher
    Fisher lanza un modelo genético lo cual demuestra que la variación continúa entre caracteres biológicos podría ser el resultado de las leyes de Mendel.
    Referencia: Box, Joan Fisher (1978) R. A. Fisher: The Life of a Scientist, New York: Wiley.
  • Avances de Jean Brachet

    Avances de Jean Brachet

    Autor: Jean Brachet
    Demostró que el ADN se encuentra en los cromosomas y que el ARN está presente en el citoplasma de todas las células.
    Referencia: Ernest W. Crow and James F. Crow (2002). «100 Years Ago: Walter Sutton and the Chromosome Theory of Heredity».
  • Aislamiento de ADN

    Aislamiento de ADN

    Autores: Oswald Theodore Avery, Colin MacLeod y Maclyn McCarty.
    Aislaron ADN como material genético
    Referencia: Avery, MacLeod, and McCarty (1944). «Studies on the Chemical Nature of the Substance Inducing Transformation of Pneumococcal Types: Induction of Transformation by a Desoxyribonucleic Acid Fraction Isolated from Pneumococcus Type III».
  • Descubrimientos a cerca del ADN

    Descubrimientos a cerca del ADN

    Autor: Erwin Chargaff
    Erwin Chargaff analizó las bases nitrogenadas del ADN en diferentes formas de vida, concluyendo que, la cantidad de purinas no siempre se encontraban en proporciones iguales a las de las pirimidinas, la proporción era igual en todas las células de los individuos de una especie dada, pero variaba de una especie a otra.
    Referencia: Ernest W. Crow and James F. Crow (2002). «100 Years Ago: Walter Sutton and the Chromosome Theory of Heredity».
  • Descubrimiento de los transposones en el maíz.

    Descubrimiento de los transposones en el maíz.

    Autor: Barbara McClintock
    McClintock descubrió el proceso de transposición de elementos del genoma y lo empleó para explicar cómo los genes determinan ciertas características físicas.
    Referencia : McClintock, Barbara. A short biographical note: Barbara McClintock (1983).
  • Experimento de Hershey y Chase

    Experimento de Hershey y Chase

    Autor: Alfred Hershey y Martha Chase
    Hershey y Chase llevaron a cabo experimentos con el fago T2, un virus cuya estructura había sido recientemente investigada mediante microscopio electrónico, encontraron que el S-35 queda fuera de la célula mientras que el P-32 se lo encontraba en el interior, indicando que el ADN era el soporte físico del material hereditario.
    Referencia: Hershey, A. D., i Chase, M. (1952) Independent functions of viral protein and nucleic acid in growth of bacteriophage.
  • Primera fotografía del ADN

    Primera fotografía del ADN

    Autor: Rosalind Franklin
    Se obtiene la llamada Fotografía 51, la primera imagen del ADN realizada mediante difracción de rayos X.
    Referencia: Double Helix: 50 Years of DNA. Nature archives. Nature Publishing Group.
  • Descubrimiento de la estructura del ADN

    Descubrimiento de la estructura del ADN

    Autores: James D. Watson y Francis Crick
    Demostraron la estructura de doble hélice del ADN.
    Referencia: Watson JD, Crick FH, Molecular structure of nucleic acids; a structure for deoxyribose nucleic acid, Nature. 1953.
  • Número de cromosomas en el ser humano

    Número de cromosomas en el ser humano

    Autores: Joe Hin Tjio y Albert Levan.
    Determinaron que es 46 el número de cromosomas en los seres humanos.
    Referencia: Ernest W. Crow and James F. Crow (2002). «100 Years Ago: Walter Sutton and the Chromosome Theory of Heredity».
  • Experimento de Meselson-Stahl

    Experimento de Meselson-Stahl

    Autor: Matthew Meselson y Franklin Stahl.
    Fue un experimento por Matthew Meselson y Franklin Stahl en el que se demostró que la replicación de ADN era semiconservadora.
    Referencia: Meselson, M. and Stahl, F.W. (1958). «The Replication of DNA in Escherichia coli».
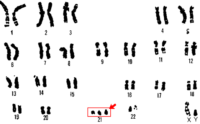
  • Descubrimiento del Sindróme de Down

    Descubrimiento del Sindróme de Down

    Autor: Jérôme Lejeune.
    Descubrió que el síndrome de Down se debe a la presencia de un cromosoma de más y describió el síndrome del maullido de gato, deleción autosómica terminal del brazo corto del cromosoma 5.
    Referencia: Lejeune, Jérôme [et al.] Avances médicos i psicopedagógicos sobre la Síndrome de Down (1991) Fundació Catalana Síndrome de Down.
  • Descubrimiento de la transcripción inversa

    Descubrimiento de la transcripción inversa

    Autores: Howard Temin y David Baltimore.
    Transcripción inversa, transcripción reversa o retrotranscripción es un proceso de la biología molecular que implica la generación de una cadena de ácido desoxirribonucleico (ADN) de doble cadena a partir de un ácido ribonucleico (ARN) de cadena simple.
    Referencia: Cann, Alan J. (2005). Principles of Molecular Virology (4 edición). Burlington, USA: Elsevier.
  • Descubrimiento de las enzimas de restricción

    Descubrimiento de las enzimas de restricción

    Autores: Werner Arber, Daniel Nathans y Hamilton Smith.
    Descubrimiento de las endonucleasas de restricción lo que condujo al desarrollo de la tecnología de ADN recombinante. El primer uso práctico de su trabajo fue la manipulación de la bacteria E. coli para producir insulina humana para los diabéticos.
    Referencia: Molecular cell biology. Lodish, Harvey F. 5. ed. : - New York : W. H. Freeman and Co., 2003,
  • Primera determinación de la secuencia de un gen

    Primera determinación de la secuencia de un gen

    Autor: Walter Fiers.
    Walter Fiers y su equipo, en el Laboratorio de biología molecular de la Universidad de Gante (Bélgica), fueron los primeros en determinar la secuencia de un gen: el gen para la proteína del pelo del bacteriófago MS2.
    Referencia: Min Jou W, Haegeman G, Ysebaert M, Fiers W., Nucleotide sequence of the gene coding for the bacteriophage MS2 coat protein. Nature. 1972.
  • Primera secuenciación del ADN

    Primera secuenciación del ADN

    Autores: Fred Sanger, Walter Gilbert y Allan Maxam.
    Determinaron las secuencias de bases de los ácidos nucleicos.
    Referencia:
  • Reacción en cadena de la polimerasa

    Reacción en cadena de la polimerasa

    Autor: Kary Banks Mullis.
    Descubrió la reacción en cadena de la polimerasa.
    Referencia: Ernest W. Crow and James F. Crow (2002). «100 Years Ago: Walter Sutton and the Chromosome Theory of Heredity».
  • Desarrollo del PCR

    Desarrollo del PCR

    Autor: Kary Mullis
    La reacción en cadena de la polimerasa es una técnica de biología molecular cuyo objetivo es obtener un gran número de copias de un fragmento de ADN particular, partiendo de un mínimo; en teoría basta partir de una única copia de ese fragmento original, o molde.
    Referencia: Bartlett & Stirling (2003)—A Short History of the Polymerase Chain Reaction. In: Methods Mol Biol. 226:3-6.
  • Primera secuenciación de un gen humano

    Primera secuenciación de un gen humano

    Autores: Francis Collins y Lap-Chee Tsui.
    Secuenciaron el gen humano codificador de la proteína CFTR.
    Referencia: Ernest W. Crow and James F. Crow (2002). «100 Years Ago: Walter Sutton and the Chromosome Theory of Heredity».
  • Primera secuenciación de un genoma eucariota

    Primera secuenciación de un genoma eucariota

    Autores: Unión Europea.
    La secuenciación completa del genoma de Saccharomyces cerevisiae -concretamente, de la cepa de laboratorio S288C- se finalizó en 1996, tras cuatro años de un proyecto liderado por la Unión Europea y la participación de más de cien laboratorios de todo el mundo.
    Referencia: Dr. A.V. Carrascosa. Instituto de Investigación en Ciencias de la Alimentación CIAL
  • Primeras secuencias del genoma humano

    Primeras secuencias del genoma humano

    Autor: Proyecto Genoma Humano
    Fue un proyecto de investigación científica con el objetivo fundamental de determinar la secuencia de pares de bases químicas que componen el ADN e identificar y cartografiar los aproximadamente 20.000-25.000 genes del genoma humano desde un punto de vista físico y funcional.
    Referencia: Baquero, F; Nombela C (18 de julio de 2012). «The microbiome as a human organ». The microbiome as a human organ.

A list shows items. A timeline shows sequence.

Use Timetoast to make dates, milestones, and turning points easier to understand in a clear visual format. Timetoast is a timeline maker for work, school, research, and stories.