220px benzopyrene dna adduct 1jdg

Principales descubrimientos del ADN

  • Period: to

    Principales descubrimientos del ADN

  • Robert Brown

    Robert Brown

    Fue un botánico escocés, que descubrió el núcleo celular de los organismos eucariotas. Este descubriento de realizó mientras Brown estudiaba la estructura de las orquídeas en las que destacó un aárea opaca, el núcleo.
  • Louis Pasteur

    Louis Pasteur

    Refutacón de la teoría de la generación espontánea- En 1861, con una serie de experimentos logró superar la objeción de la ausencia de aire y desterró la idea de la generación espontánea
  • Gregor Mendel

    Gregor Mendel

    Mendel realizó los primeros estudios genéticos con plnatas y lo expuso ante la sociedad de Historia natural Brünn. No tuvo mucho éxito. Un año más tarde, publicó su obra "Ensayo sobre los híbridos vegetales", en la que expuso la formulación de sus leyes
  • Johan Friedich Miescher

    Johan Friedich Miescher

    ¿Cómo se descubrió el ADN? Miescher fue un biólogo suizo que fue el primero en descubir a lo que hoy llamamos ADN, aislando moléculas ricas en fosfato, a las que llamó nucleínas (actualmente ácidos nucleicos)
  • Richard Altmann

    Richard Altmann

    El potólogo alemán Richard Altmann, que fue disciípulo de Miescher, lobraba separar por primera vez las primera proteinas de la nucleína llamándola ácido nucleico
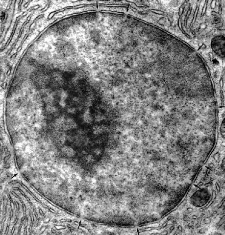
  • Flemming

    Flemming

    Hizo un experimento en el cual aplicó los colorantes derivados de la anilin, sintetizados previamente, para la tinción de células, y observó en el microscopio la existencia en el núcleo, de estructuras en fomra de cinta, las culaes, absorbían fuertemente el colorante. Las denominó cromatina.
  • Nettie Stevens

    Nettie Stevens

    Descubrió que en algunas especies, los cromosomas son diferentes entre los sexos,a través de la observación de los cromosmas de insectos. Permitió determinar si era masculino o femnino. Dedujo que la base cromosómica del sexo depende de la presencia o ausencia del cromosoma Y
  • Albertch Kossel

    Albertch Kossel

    Fue un bioquímico alemán al que le fue otorgado en 1910, el Premio Nobel de Medicina, por sus contribuciones en el desciframiento del ácido nucleico y las protéinas.
  • Alfred Sturtevant

    Alfred Sturtevant

    Este genetista americano realizó el primer mapa genético de un cromosoma
  • Robert Feulgen

    Robert Feulgen

    Descubrió un me´todo para relevar por tinción el ADN, basado en el colorante fucsina. Se encontró ADN en el núcleo de todas las células eucariotas.
  • Teoría cromosómica de la herencia

    Teoría cromosómica de la herencia

    Fue establecida por T.H. Morgan y su grupo de la Universidad de Columbia gracias a la mosca de vinagre
  • Calvin Bridges

    Calvin Bridges

    Concluye que los genes se encunetran en los cromosomas. Al realizar trabajos con los rasgos sexuales de la mosca Drosophila melanogaster, pues observó que estas moscas habían diferentes tipos de mutaciones.
  • Mapas genéticos

    Mapas genéticos

    Los mapas genéticos demuestran la disposición lineal de los genes en los cromosomas
  • Frederick Griffith

    Frederick Griffith

    Trabajó con la bactería "streptococus pneumoniae", la cual infectaba a ratones con cepas virulentas muertas, y cepas no patógenas vivas, encontrando que, los ratones, morían de pneumonía. La única explicación posible es que un principio transformador, que pasase de la cepa virulenta muerta a la viva, se hallase ahí.
  • Phoebus Levene

    Phoebus Levene

    Levene concluyó el análisis químico del ADN e identificó cuatro diferentes nucleóticos como unidades estructurales de la molécula de ADN, cada uno formado por una base nitrogenada (adenina, guanina, citosina y timina) y un grupo fosfato
  • Entrecruzamineto

    Entrecruzamineto

    El proceso de entrecruzamineto es la causa de la recombinación genética
  • Alexander R Todd

    Alexander R Todd

    A partir de sus experimentos se sabe que cada nucleótido consta de tres partes: un ázucar (desoxirribosa), un grupo fosfato y una de las cuatro posibles bases nitrogenadas: adenina, guanina, citosina y timina
  • Oswald Avery

    Oswald Avery

    Publicó en 1944 uno de los descubriminetos más importantes de la Biología del siglo XX. "La herencia reside en el ADN". Pero pese a ello, Avery no recibió ningún premio Nobel
  • Max Delbrück/Salvador Luria

    Max Delbrück/Salvador Luria

    Descubrieron que el ADN de un bacteriófago contine información genética suficiente como para producir bacteriófagos completos formados por ADN y proteínas. Consigueiron en 1969, el premio Nobel de Fisiología y Medicina.
  • Erwin Chargaff

    Erwin Chargaff

    Descubrió una regla de equivalencia matemática al analizar las cantidades de bases nitrogenadas de ADN prodecente de diferentes organismos. Adenina = Timina, y, Guanina= Citocina.
  • Alfred Hershey/ Martha Chase

    Alfred Hershey/ Martha Chase

    Experimento de Hershey/Chase Demostraron por experimentación con radioisótopos, es decir, un isótopo radiactivo, de fósforo 32P como marcador de ADN y de azufre 35S como marcador de proteínas, que el ADN es la molécula portadora de la información genética, y no las proteínas
  • Maurice Willkins/Rosalind Franklin

    Maurice Willkins/Rosalind Franklin

    El descrubrimiento del ADN Obtuvieron por cristalografía de rayos X, patrones de difracción que revelaron la estructura helicoidal de las moléculas de ADN
  • James Watson/ Francis Crick

    James Watson/ Francis Crick

    El descubrimineto de ADN Propusieron la estructura de doble hélice para la molécula de ADN, surgiendo de la interpretación creativa y coherente de la información cientñifica de Wilkins y Franklin. Los cuatro, en 1962, fueron galardonados con el Premio Nobel de Fisiología y Medicina por su descubrimiento de la estructura del ADN
  • Severo Ochoa

    Severo Ochoa

    Dio el primer paso hacia el camino de sintetizar, in vitro, un ácido nucleico cuando logra aislar la polinucleotidofosforilasa, que es una enzima capaz de sintetizar ácidos ribonucleicos y consigue, en 1955, la síntesis de un ácido nucleico
  • Tjio y Levan

    Tjio y Levan

    Ambos establecen en 1956, que en la especie humano, el número de cromosomas en la especie humana es 46.
  • Código Genético

    Código Genético

    Es un conjunto de normas por las que la infomración codificada en el material genético, se traduce en prote´nas en las celulas. El código genético define la relación entre los tripletes y los aminoácidos.
  • Werner Arber

    Werner Arber

    Werner Arber, descubre las enzimas de restricción responsables de este fenómeno: la cepa de bacteria restrictiva produce endonucleasas que escinden el ADN del fago crecido en otracepa diferente
  • Primeras manipulaciones con el ADN

    Primeras manipulaciones con el ADN

    Natahns y Smith, descubren enzimas de restricción que es una enzima que puedan cortar el ADN en lugares especificos.
  • Aparición de la ingeniería genética

    Aparición de la ingeniería genética

    Martz y Davis añadieron a una mezcla de ADN de diferentes orígenes una enzima determinada, procurando que se reparasen los enlaces fosfodiéster. esto les hizo darse cuenta de que podían constituir la base para la producción de moléculas recombinantes in vitro con material genético de difrentes especies.
  • Transgénicos

    Transgénicos

    Se crean los primeros productos transgénicos
  • Kary Banks Mullis

    Kary Banks Mullis

    Este bioquímico estadoundense, descubre la reacción en cadena de la polimerasa (PCR)
  • Francis Collins/ Lap-Chee Tsui

    Francis Collins/ Lap-Chee Tsui

    Ambos secuencian el gen humano codificador de la proteína CFTR
  • Proyecto Genoma Humano (PGM)

    Proyecto Genoma Humano (PGM)

    El Genoma Humano Fue un proyecto dirigido por James D.Watson, con el fin de determinar la secuencia de pares de bases químicas que componen el ADN. El proyecto fue finalizado en abril de 2003.
  • Ian Wilmurt y su equipo

    Ian Wilmurt y su equipo

    Oveja Dolly La oveja Dolly fue el primer animal mamífero clonado a partir de una célula adulta. Sus creadores fueron Ian Wilmut y su equipo del Instituto Roslin, en Edimburgo
  • Genoma Eucariota

    Genoma Eucariota

    Se secuencia por primera vez, un genoma eucariota. "Saccharomyces cereviasiae"
  • Partenogénesis

    Partenogénesis

    En abril de 2004, se creó en Japón un ratón con el ADN de dos hembras, partenogénesis. Para fecundar a este ratón se necesitaron solo dos óvulos.

Looking for a timeline maker?

Create timelines for projects, roadmaps, history, lessons, legal cases, and stories with Timetoast. Timetoast is a timeline maker for work, school, research, and stories.