10055902 adn humano reloj

LINEA DE TIEMPO DE LA GENÉTICA

  • EL HUEVO COMO ORIGEN DE LAS COSAS

    EL HUEVO COMO ORIGEN DE LAS COSAS

    W. Harvey sugiere que todas las cosas se originan a partir de un huevo.
  • CÉLULA

    CÉLULA

    Se descubrieron y se les dio nombre a las Células. Por Robert Hooke
  • PRIMER DIBUJO DE LA CÉLULA POR  ANTON VAN LEEUWENHOEK.

    PRIMER DIBUJO DE LA CÉLULA POR ANTON VAN LEEUWENHOEK.

    Anton van Leeuwenhoek. Fue el primero en observar, dibujar y describir una célula viva con un microscopio de 200 aumentos. Dentro de sus observaciones se encuentran bacterias, protozoos, glóbulos de sangre y espermatozoides.
  • Charles Darwin

    Charles Darwin

    Charles Darwin. Estudió la evolución sobre la hipótesis de la selección natural, (Pino, 2013). reuniendo una evidencia arrolladora procedente de muy diversas disciplinas de investigación biológica a favor del hecho evolutivo y logró que esas disciplinas convergieran en una única explicación: la selección natural.
  • DESCRIPCIÓN DE LA CÉLULA HUMANA

    DESCRIPCIÓN DE LA CÉLULA HUMANA

    Karl Ernest Von Baer fue el primero en observar los óvulos de un mamífero
  • EXPERIMENTO DE GRIFFITH

    EXPERIMENTO DE GRIFFITH

    en el experimento conocido como "experimento de Griffith", descubrió lo que él llamó "principio de transformación", es decir lo que hoy en día se conoce como ADN.
  • DESCUBRIMIENTO DE LOS CROMOSOMA

    DESCUBRIMIENTO DE LOS CROMOSOMA

    Los cromosomas fueron descubiertos por Karl Wilhelm von Nägeli, botánico suizo. Los cromosomas eran de una especie vegetal.
  • LEYES DE MENDEL

    LEYES DE MENDEL

    Estas reglas básicas de herencia constituyen el fundamento de la genética. Las leyes se derivan del trabajo realizado por Gregor Mendel publicado en el año 1865 y en 1866, aunque fue ignorado durante mucho tiempo hasta su re descubrimiento en 1900.
  • AISLAMIENTO POR PRIMERA VEZ DEL ADN

    AISLAMIENTO POR PRIMERA VEZ DEL ADN

    El ADN fue aislado por Friedrich Miescher en 1869 de esperma de salmón y de pus de heridas abiertas. Dado que encontró sólo en los núcleos, Miescher denominó a este compuesto nucleína
  • ALBRECHT KOSSEL

    ALBRECHT KOSSEL

    Descubrió los ácidos nucleicos. A este bioquímico alemán le fue otorgado el Premios Nobel de Fisiología o Medicina en 1910 por sus contribuciones en el desciframiento de la química de ácidos nucleicos y proteínas, descubriendo los ácidos nucleicos, bases en la molécula de ADN, que constituye la sustancia genética de la célula.
  • MITOSIS

    MITOSIS

    Walther Flemming identifica la cromatina y la mitosis en células de salamandras.
  • CROMOSOMAS

    CROMOSOMAS

    Wilhelm von Waldeyer les dio el nombre de '' cromosoma '' que significa '' cuerpo coloreado '' en idioma griego
  • HUGO VRIES Y LA TEORIA DE LAS MUTACIONES

    HUGO VRIES Y LA TEORIA DE LAS MUTACIONES

    Es uno de los tres biólogos, junto a Carl Correns y Erich von Tschermak que en 1900 redescubrieron las leyes fundamentales de la genética publicadas primero por Gregor Mendel. Vries, llegó a la conclusión de que las mutaciones eran responsables de la aparición de caracteres inesperados o bruscos en los individuos, a través de la realización de una serie de estudios de genética en plantas.
  • TEORIA CROMOSOMICA

    TEORIA CROMOSOMICA

    Sutton propuso la teoría conocida como teoría cromosómica junto a Theodor Boveri que describe las bases físicas de las leyes mendelianas de la herencia.
  • EL TERMINO GENÉTICA

    EL TERMINO GENÉTICA

    William Bateson acuña el término '' genética '' para designar '' la ciencia dedicada al estudio de fenómenos de herencia y de la variación ''
  • EL GEN

    EL GEN

    Wilhelm Johannsen introduce la terminación como expresión para los factores unitarios presentes en los gametos
  • CROMOSOMAS PORTADORES DE GEN

    CROMOSOMAS PORTADORES DE GEN

    Thomas Hunt Morgan describió que hijo de los cromosomas son portadores de los genes. Gracias a sus trabajos, Drosophila melanogaster se convirtió en uno de los principales organismos modelo en genética.
  • NUEVOS TÉRMINOS

    NUEVOS TÉRMINOS

    Wilhelm Johannsen aportó nuevos conceptos definidos. Estos hijos: genotipo (conjunto de genes), fenotipo (expresión del genotipo) y gen (fragmento de ADN).
  • MAPA GENETICO

    MAPA GENETICO

    Alfred Sturtevant construyó el primer mapa genético de un cromosoma.
  • SÍNTESIS EVOLUTIVA MODERNA

    SÍNTESIS EVOLUTIVA MODERNA

    Ronald Fisher usó la matemática para combinar las leyes de Mendel con la selección natural, de la manera que ayudó a crear una nueva síntesis del Darwinismo conocida como síntesis evolutiva moderna.
  • 48 CROMOSOMAS

    48 CROMOSOMAS

    Theophilus Painter estableció el número erróneamente de cromosomas humanos en 48, conclusión que se mantuvo vigente hasta 1956
  • UBICACIÓN DE EL ADN

    UBICACIÓN DE EL ADN

    Jean Brachet demuestra que el ADN se encuentra en los cromosomas y que el ARN está presente en el citoplasma de todas las células.
  • Phoebus Levene

    Phoebus Levene

    aisló, a partir de ácidos nucleicos, unas moléculas más sencillas que estaban formadas por una pentosa, una base nitrogenada y una molécula de ácido fosfórico. A este conjunto se le dio el nombre de NUCLEÓTIDO, y Levene pensó que los ácidos nucleicos estaban formados por cuatro nucleótidos, uno con cada una de las bases. Hasta mediados de los años 50 no se certificó que los ácidos nucleicos en realidad estaban formados por miles e, incluso, millones de nucleótidos y no por sólo cuatro.
  • PROTEÍNAS

    PROTEÍNAS

    Edward Tatum y Geroge Wells demostraron que los genes codifican las proteínas (enzimas)
  • ADN MATERIAL HEREDITARIO

    ADN MATERIAL HEREDITARIO

    Oswald Avery y Maclyn McCarty descubren que el ADN es el material del que los genes y los cromosomas están formados y de estos definen la sexualidad del ser humano.
  • FOTOGRAFÍA 51

    FOTOGRAFÍA 51

    Rosalind Franklin obtiene la llamada Fotografía 51, la primera imagen del ADN realizada mediante la difracción de rayos X.
  • ESTRUCTURA DEL  ADN

    ESTRUCTURA DEL ADN

    Watson y Crick describieron la estructura en doble hélice de la molécula de ADN.Watson y Crick describieron la estructura en doble hélice de la molécula de ADN.
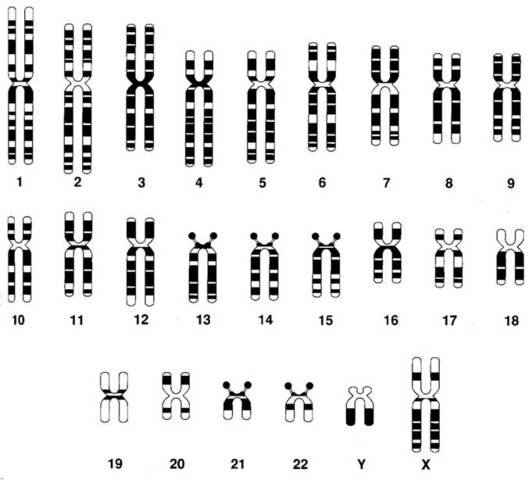
  • SE DETERMINAN 46 CROMOSOMAS

    SE DETERMINAN 46 CROMOSOMAS

    Joe Hin Tjio ha determinado que es 46 el número de cromosomas en los seres humanos
  • SE COMPLETA EL CÓDIGO GENÉTICO

    SE COMPLETA EL CÓDIGO GENÉTICO

    Severo Ochoa completa el código genético
  • MOLECULA ARTIFICIAL

    MOLECULA ARTIFICIAL

    D. Jackson, P. Berg crean la primera molécula de ADN recombinante de manera artificial. Los genes de una especie son introducidos en otras especies y funcionan correctamente.
  • CLONACION DE BACTERIAS

    CLONACION DE BACTERIAS

    S. Cohen logra clonar bacterias en experimentos con ingeniería genética donde demostraron que el gen para el ARN ribosomal de la rana ser transferido y expresado en una célula bateriana.
  • TEORIA DE LOS COMPÁRTIMENTOS

    TEORIA DE LOS COMPÁRTIMENTOS

    El estudio de linajes celulares mediante análisis clonal y el estudio de mutaciones homeóticas condujeron a la teoría de los comparativos propuestos por Antonio García. Según esta teoría, el organismo está constituido por compartimientos o unidades definidas por la acción de genes maestros que ejecutan decisiones que conducen a varios clones de células hacia una línea de desarrollo.
  • OMG

    OMG

    Se crea el primer organismo manipulado genéticamente. Lo hicieron Herbert Boyer y Stanley Cohen, y fue una bacteria Escherichia coli que contiene genes procedentes de un virus
  • SECUENCIACION DE EL ADN

    SECUENCIACION DE EL ADN

    Frederick Sanger desarrollo el método de secuenciación de ADN también conocido como método de Sanger, donde se empleó esta técnica para secuenciar el genoma de un bacteriófago.
  • DESCUBRIMIENTO DEL TRABAJO DEL ADN INDEPENDIENTE

    DESCUBRIMIENTO DEL TRABAJO DEL ADN INDEPENDIENTE

    Fred Sanger, Walter Gilbert, y Allan Maxam, ADN secuenciado por primera vez trabajando independientemente. El laboratorio de Sanger completo la secuencia del genoma del bacteriófago Φ-X174
  • DIAGNOSTICO PRENATAL

    DIAGNOSTICO PRENATAL

    Se realizó el diagnóstico médico prenatal de una enfermedad humana por medio de análisis de ADN.
  • ORGANISMOS TRANSGÉNICOS

    ORGANISMOS TRANSGÉNICOS

    Se consigue el primer animal transgénico (ratón) que inserta el gen de la hormona del crecimiento de la rata en óvulos de ratona fecundados
  • INSULINA CON ADN RECOMBINANTE

    INSULINA CON ADN RECOMBINANTE

    La empresa Eli lilly produce insulina utilizando técnicas de ADN recombinante
  • PCR

    PCR

    Kary Mullis describe su método de reacción en cadena de Polimerasa (PCR), que permite replicar genes específicos con gran rapidez
  • CADENA POLIMERASA

    CADENA POLIMERASA

    Kary Banks Mullis descubre la reacción en cadena de la polimerasa, que posibilita la amplificación del ADN.
  • ADN EN HUELLAS DACTILARES

    ADN EN HUELLAS DACTILARES

    Alec Jeffrey desarrolla el '' ADN fingerprinting '' (huella genética), un método que permite la identificación de las personas a partir de su material biológico
  • GEN HUMANO

    GEN HUMANO

    Kary Banks Mullis descubre la reacción en cadena de la polimerasa, que posibilita la amplificación del ADN.
  • NUEVO PROYECTO SOBRE GENOMA HUMANO

    NUEVO PROYECTO SOBRE GENOMA HUMANO

    Se funda el Proyecto Genoma Humano por parte del Departamento de Energía y los Institutos de la Salud de los Estados Unidos
  • GENOMA HAEMOPHILUS

    GENOMA HAEMOPHILUS

    El genoma de Haemophilus influenzae es el primer genoma secuenciado de un organismo de vida libre.
  • GENOMA EUCARIOTA

    GENOMA EUCARIOTA

    Se realiza la primera secuenciación de un genoma eucariota: Saccharomyces cerevisiae
  • CLONACION

    CLONACION

    an Wilmut del Instituto Roslin produce la primera oveja clonada llamada 'Dolly' a partir de una célula adulta
  • SECUENCIA DE UN ECARIOTA PLURICELULAR

    SECUENCIA DE UN ECARIOTA PLURICELULAR

    Se da a conocer por primera vez la secuencia completa de un eucariota pluricelular, el nematodo Caenorhabditis elegans
  • BORRADOR PROYECTO GENOMA HUMANO

    BORRADOR PROYECTO GENOMA HUMANO

    Primeras secuencias del genoma humano por parte del Proyecto Genoma Humano y Celera Genómica
  • FINALIZA EL PROYECTO EXITOSA MENTE

    FINALIZA EL PROYECTO EXITOSA MENTE

    Se completa con éxito el Proyecto Genoma Humano con el 99% del genoma secuenciado con una precisión del 99,99%
  • CÉLULAS MADRE

    CÉLULAS MADRE

    James Thompson y Shinya Yamanaka transformaron células de la piel humana en células madre embrionarias
  • CÉLULA SINTÉTICA

    CÉLULA SINTÉTICA

    Craig Venter anunció la creación de la primera '' célula sintética ''
  • NUEVA TERAPIA GENÉTICA

    NUEVA TERAPIA GENÉTICA

    El Centro Nacional de Investigaciones Oncológicas (CNIO) prueban con éxito la terapia genética contra el envejecimiento, para prolongar así los años de vida saludable.

Want to make a timeline like this?

Use Timetoast to turn dates, events, milestones, and phases into a clear visual timeline you can build and share. Timetoast is a timeline maker for work, school, research, and stories.