HISTORIA DE LA GENÉTICA COMO CIENCIA

  • Bacteria Haemophilius influenzae.

    Bacteria Haemophilius influenzae.

    Se descubren las enzimas de restricción en la bacteria Haemophilius influenzae.
  • Leyes de Mendel.

    Leyes de Mendel.

    Se publica el trabajo de Gregor Mendel
  • Redescubrimiento de las Leyes de Mendel.

    Redescubrimiento de las Leyes de Mendel.

    Los botánicos Hugo de Vries, Carl Correns y Eric Von Tschermak redescubren el trabajo de Gregor Mendel.
  • Cromosomas en la herencia genética.

    Cromosomas en la herencia genética.

    Se descubre la implicación de los cromosomas en la herencia.
  • Los genes residen en los cromosomas.

    Los genes residen en los cromosomas.

    Thomas Hunt Morgan demuestra que los genes residen en los cromosomas.
  • Mapa genético de un cromosoma.

    Mapa genético de un cromosoma.

    Alfred Sturtevant crea el primer mapa genético de un cromosoma.
  • La correlación entre parientes en la suposición de la herencia mendeliana.

    La correlación entre parientes en la suposición de la herencia mendeliana.

    Ronald Fisher publica The correlation between relatives on the supposition of Mendelian inheritance —la síntesis moderna comienza.
  • La mutación.

    La mutación.

    Se denomina mutación a cualquier cambio en la secuencia nucleotídica de un gen, sea esta evidente o no en el fenotipo
  • El entrecruzamiento es la causa de la recombinación.

    El entrecruzamiento es la causa de la recombinación.

    El entrecruzamiento cromosómico es el proceso por el cual las cromátidas de cromosomas homólogos se aparean e intercambian secciones de su ADN durante la reproducción sexual.
  • Los genes codifican proteínas.

    Los genes codifican proteínas.

    Edward Lawrie Tatum y George Wells Beadle demuestran que los genes codifican proteínas.
  • El ADN es material genético.

    El ADN es material genético.

    Oswald Theodore Avery, Colin McLeod y Maclyn McCarty demuestran que el ADN es el material genético
  • Los nucleótidos y los transposones.

    Los nucleótidos y los transposones.

    Erwin Chargaff demuestra que las proporciones de cada nucleótido siguen algunas reglas. Barbara McClintock descubre los transposones en el maíz.
  • Experimento de Hershey y Chase.

    Experimento de Hershey y Chase.

    El experimento de Hershey y Chase demuestra que la información genética de los fagos reside en el ADN
  • Estructura del ADN es una doble hélice.

    Estructura del ADN es una doble hélice.

    James D. Watson y Francis Crick determinan que la estructura del ADN es una doble hélice
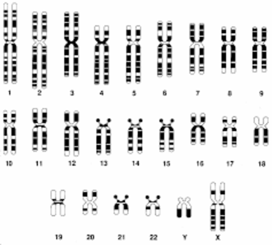
  • El número de cromosomas humanos es 46.

    El número de cromosomas humanos es 46.

    Jo Hin Tjio y Albert Levan establecen que, en la especie humana, el número de cromosomas es 46
  • La replicación del ADN es semiconservativa.

    La replicación del ADN es semiconservativa.

    El experimento de Meselson y Stahl demuestra que la replicación del ADN es semiconservativa
  • Howard Temin replica a  Watson.

    Howard Temin replica a Watson.

    Howard Temin demuestra, empleando virus de ARN, excepciones al dogma central de Watson
  • Secuencias de ADN.

    Secuencias de ADN.

    Fred Sanger, Walter Gilbert, y Allan Maxam secuencian ADN por primera vez trabajando independientemente.
  • Se descubre la reacción en cadena de la polimerasa.

    Se descubre la reacción en cadena de la polimerasa.

    Kary Banks Mullis descubre la reacción en cadena de la polimerasa, que posibilita la amplificación del ADN
  • Se funda el Proyecto Genoma Humano.

    Se funda el Proyecto Genoma Humano.

    El genoma humano está compuesto por aproximadamente entre 22500 y 25000 genes distintos.
  • El genoma de Haemophilus influenzae

    El genoma de Haemophilus influenzae

    El genoma de Haemophilus influenzae es el primer genoma secuenciado de un organismo de vida libre
  • Primer borrador de la secuencia del genoma humano.

    Primer borrador de la secuencia del genoma humano.

    El Proyecto Genoma Humano y Celera Genomics presentan el primer borrador de la secuencia del genoma humano

Plan projects on a visual timeline

Map milestones, phases, deadlines, and key events in one place so the sequence is easier to see and share. Timetoast is a timeline maker for work, school, research, and stories.