Historia de la Biología Molecular

  • Gregor Mendel

    Gregor Mendel

    Formuló leyes que dieron origen a la herencia genética.
  • Friedrich Miescher

    Friedrich Miescher

    Descubrió la nucleina, al aislar los núcleos de glóbulos blancos obtenidos del pus de vendajes quirúrgicos y tratarlos con solución alcalina y luego acidificarlos.
  • Richard Altman

    Richard Altman

    Desarrolló un método para obtener nucleina libre de proteínas y le dio el nombre de ácidos nucleicos.
  • Wilhelm Johannsen

    Wilhelm Johannsen

    Introdujo el término gen para referirse a las unidades fundamentales de la herencia.
  • Phoebus Levene

    Phoebus Levene

    Identificó azúcares y bases nitrogenadas en los ácidos nucleicos.
  • Thomas H. Morgan

    Thomas H. Morgan

    Descubrió cómo los genes se transmiten a través de los cromosomas y confirmó las leyes mendelianas.
  • Hermann Müller

    Hermann Müller

    Descubrió que los rayos X causaban mutaciones genéticas
  • Oswald Avery, Colin McLeod y Maclyn McCarty

    Oswald Avery, Colin McLeod y Maclyn McCarty

    Identificaron al ADN como la molécula portadora de la información genética
  • Erwin Chargaff

    Erwin Chargaff

    Estableció las proporciones que presentaban las bases nitrogenadas que componen al ADN.
  • Rosalind Franklin

    Rosalind Franklin

    Obtuvo una imagen del ADN (fotografía 51), la cual fue fundamental para descubrir su estructura.
  • Martha Chase y Alfred Hershey

    Martha Chase y Alfred Hershey

    Mediante sus experimentos con el fago T2 confirmaron que el ADN es la base del material genético.
  • Linus Pauling y Robert Corey

    Linus Pauling y Robert Corey

    Descubrieron la estructura de hélice α y hoja plegada β; formas de enrollamiento secundario de las proteínas.
  • James Watson y Francis Crick

    James Watson y Francis Crick

    Proponen la estructura de doble hélice del ADN
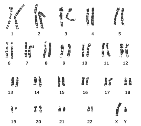
  • Joe Hin Tjio

    Joe Hin Tjio

    Establece que hay 23 pares de cromosomas en las células humanas
  • Matthew Meselson y Franklin William Stahl

    Matthew Meselson y Franklin William Stahl

    Demostraron que la replicación del ADN es semiconservativa.
  • Paul Zamecnick y Mahlon Hoagland

    Paul Zamecnick y Mahlon Hoagland

    Descubrieron que el tARN servía como adaptador en el proceso de la síntesis proteica.
  • Jerard Hurtwitz y Samuel Weiss

    Jerard Hurtwitz y Samuel Weiss

    Descubrieron la ARN Polimerasa
  • François Jacob, Jacques Monod y Andrei Lwoff

    François Jacob, Jacques Monod y Andrei Lwoff

    Propusieron que la expresión genética bacteriana estaba controlada por una unidad genética funcional formada por varios genes; operón.
  • Robert W. Holley

    Robert W. Holley

    Determinó la secuencia de alanina de un ARN de transferencia.
  • Francis Crick

    Francis Crick

    Propuso la hipótesis de balanceo para explicar que un mismo anticodón puede establecer interacción con distintos codones, que se diferencian en su tercera base
  • Mark Ptashne y Walter Gilbert

    Mark Ptashne y Walter Gilbert

    Fueron los primeros en identificar un gen represor.
  • Werner Arber, Daniel Nathans y Hamilton Smith

    Werner Arber, Daniel Nathans y Hamilton Smith

    Descubrimiento de las endonucleasas de restricción, las cuales pueden reconocer una secuencia de nucleótidos específicos y cortar al ADN en ese punto.
  • Paul Berg y Herbert Boyer

    Paul Berg y Herbert Boyer

    Sintetizaron la primera molécula del ADN recombinante.
  • Stanley Cohen y Annie C. Y. Chang

    Stanley Cohen y Annie C. Y. Chang

    Realizaron uno de los primeros experimentos de ingeniería genética en el cual introdujeron ADN recombinante replicado en E. Coli.
  • Allan Maxam y Walter Gilbert

    Allan Maxam y Walter Gilbert

    Desarrollaron un método para secuenciar ácidos nucleicos mediante una modificación química.
  • Frederick Sanger

    Frederick Sanger

    Empezó a desarrollar técnicas para averiguar la secuencia del ADN
  • Herbert Boyer y Robert Swanson

    Herbert Boyer y Robert Swanson

    Fundaron Genentech Incorporated, la primera empresa de ingeniería genética
  • Clonación de un gen

    Clonación de un gen

    Se clona el gen de la insulina humana a partir de una bacteria transformada
  • Diagnostico Prenatal

    Diagnostico Prenatal

    Realización de un diagnostico prenatal de una enfermedad humana mediante el análisis del ADN
  • Primer Ratón Transgénico

    Primer Ratón Transgénico

    Se genera el super-ratón al insertar el gen de la hormona de crecimiento de la rata en óvulos fecundados de ratón hembra
  • Kary Mullis

    Kary Mullis

    Inventó la técnica de la reacción en cadena de la polimerasa (PCR) para poder obtener varias copias de un fragmento de ADN.
  • Plantas Transgénicas

    Plantas Transgénicas

    Creación de las primeras plantas transgénicas
  • Creación de los YACs

    Creación de los YACs

    Crearon YACs , los cuales constan de una molécula de ADN humano obtenido por ingeniería genética que son utilizados para clonar secuencias de ADN en células de levadura. Estos son considerados los vectores de clonación con mas capacidad.
  • Organizción HUGO

    Organizción HUGO

    Creación de una organización que pueda identificar todos los genes del cuerpo humano.
  • Haemophilus influenzae y Mycoplasma Genitalium

    Haemophilus influenzae y Mycoplasma Genitalium

    Se completan las primeras secuencias de genomas de estos seres vivos.
  • Saccharomyces Cervisiae

    Saccharomyces Cervisiae

    Se completa la primera secuencia de un genoma de un eucariota; la levadura de cerveza.
  • Dolly

    Dolly

    Clonación del primer mamífero; una oveja llamada Dolly.
  • Drosophila Melanogaster

    Drosophila Melanogaster

    Se completa la secuenciación del genoma de la mosca de la fruta.
  • Genoma Humano

    Genoma Humano

    Se termina la primera versión del genoma humano, la cual cuenta con 3200 Mb.
  • Celera Genomics y otros colaboradores

    Celera Genomics y otros colaboradores

    Presentan públicamente el genoma humano.
  • Proyecto Genoma Humano

    Proyecto Genoma Humano

    Culminación de la primera fase del proyecto genoma humano
  • Primer modelo computacional de una célula

    Primer modelo computacional de una célula

  • Construcción de la primera célula artificial

    Construcción de la primera célula artificial

Plan projects on a visual timeline

Map milestones, phases, deadlines, and key events in one place so the sequence is easier to see and share. Timetoast is a timeline maker for work, school, research, and stories.