Descarga

Desarrollo de la Fisicoquimica

  • Robert Boyle

    Robert Boyle

    considero ala química era la ciencia de la composición de las substancias y no como un auxiliar de la alquimia o la física, aunque fue un alquimista destacado que estaba convencido de poder trasmutar ora y plata.
  • Alessandro Volta

    Alessandro Volta

    pionero en el estudio de fenómenos eléctricos relacionados con compuestos Químicos, un punto de partida para el estudio conocido después como Electroquímica y las leyes de electrolisis
  • Antoine Lavoisier

    Antoine Lavoisier

    Publica el texto, Tratado Elemental de la Química, donde expone conceptos que nos acompañan a nuestros días y sienta las bases de la química moderna como una ciencia de estudio independiente.
    sienta las bases del estudio de la química y el calor, termoquímica
  • Humphry Davy

    Humphry Davy

    Mediante el uso de electrolisis aísla el sodio, magnesio, calcio, estroncio y litio siendo el primero en lograr todos estos elementos, también logra conseguir boro al 50% de pureza pero no lo identifica como un elemento.
    posterior a estos descubrimientos determina al cloro como elemento y consigue aislar el litio.
  • Michael Faraday

    Michael Faraday

    las leyes de la electrolisis de Faraday relacionan de forma cuantitativa los resultados y experimentos de sus predecesores Alessandro Volta y Humpry Davy. También hizo grandes aportaciones al electromagnetismo, desarrollando el primer proto motor eléctrico y descubriendo la inducción electromagnética.
  • Marcellin Berthelot

    Marcellin Berthelot

    basándose en los trabajos de Lavoisier, desarrollo el estudio de la termoquímica logrando definir claramente las reacciones endotérmicas y las exotérmicas. también aporto investigación del comportamiento de los gases proponiendo la ecuación de estado.
  • Robert Bunsen

    Robert Bunsen

    Su desarrollo de la espectroscopia con la ayuda del mechero que lleva su apellido contribuyo al descubrimiento de elementos como el cesio, rubidio, talio e indio.al analizar los patrones luminicos generados por las sustancias.
  • Tabla periodica de los elementos quimicos

    Tabla periodica de los elementos quimicos

    La primer version de los elementos quimicos organizados por sus tendencias periodicas de los elementos conocidos.
  • Jacobus Henricus van 't Hoff

    Jacobus Henricus van 't Hoff

    precursor de la estereoquímica para explicar la formas de diferentes sustancias mediante la representación grafica de los compuestos
    también es precursor de la cinética química
  • Linus Pauling

    Linus Pauling

    desarrollo el concepto de orbitales atómicos para explicar la forma en que se organizan los electrones de los átomos y como estos dan como resultado los enlaces iónicos.
  • Microscopio de electrones

    Microscopio de electrones

    Al usar electrones en lugar de luz, es posible obtener imágenes mucho mas detalladas de partículas mas pequeñas, esto se logra aprovechando la longitud de onda de los electrones.
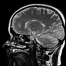
  • Resonancia Magnética Nuclear

    Resonancia Magnética Nuclear

    La resonancia magnética es un fenómeno físico dado por la propiedades de los átomos que tienen un momento magnético y pueden resonar o sincronizarse si se aplica un campo magnético de determinada intensidad y frecuencia.
  • Paul J. Flory

    Paul J. Flory

    hizo un estudio sobre las macromoléculas, su estructura, formación e interacciones, con sus investigaciones se inicio una nueva era en la medicina al enfocar el estudio de fármacos de forma mas especifica y al comprender de mejor forma las macromoléculas necesarias para la vida como las proteínas, carbohidratos, lípidos y ácidos nucleicos como el ADN, se abrió la posibilidad de la clonación.
  • Primer Mamífero Clonado

    Primer Mamífero Clonado

    con la comprensión de las macromoléculas y sus interacciones se hizo la primera clonación de un mamífero, la oveja Dolly
  • Joachim Sauer

    Joachim Sauer

    Sus aportaciones al estudio de los minerales zeaolitiocos y a la química computacional han servido para el desarrollo de nuevos materiales y métodos de estudio.
  • Bosón de Higgs

    Bosón de Higgs

    se anuncia formalmente el descubrimiento de una partícula que asemeja al bosón de Higgs predicho según el modelo estándar de la física.

A list shows items. A timeline shows sequence.

Use Timetoast to make dates, milestones, and turning points easier to understand in a clear visual format. Timetoast is a timeline maker for work, school, research, and stories.