Biología 2

Biologia 2

  • Reproducción Asexual

    Reproducción Asexual

    La reproducción asexual, como su nombre indica, se caracteriza por la no intervención de células sexuales. En su lugar, una célula se separa para formar un individuo completo. Por lo tanto, la reproducción asexual se produce por división celular o mitosis.
  • Reproducción Sexual

    Reproducción Sexual

    Proceso a través del que se crea un nuevo organismo, al combinar dos tipos de gametos o células sexuales, una masculina y otra femenina. Gracias a la meiosis, cada célula reproductora cuenta con la mitad de cromosomas para formar un nuevo individuo.
  • Mitosis

    La mitosis se define como un proceso de división celular asociada a la división de las células somáticas. Las células somáticas de un organismo eucariótico son todas aquellas que no van a convertirse en células sexuales y por tanto, la mitosis da lugar a dos células exactamente iguales.
  • Meiosis

    Es el proceso de división celular mediante el cual se obtienen cuatro células hijas con la mitad de cromosomas. La meiosis se produce en dos etapas principales: meiosis I y meiosis II.
    La importancia evolutiva de la meiosis es fundamental ya que mediante este proceso se produce la recombinación genética, responsable de la variabilidad genética y en última instancia, de la capacidad de evolucionar de las especies.
  • ARN

    ARN

    Ácido nucleico que participa en la síntesis de las proteínas y realiza la función de mensajero de la información genética.
  • Cromosoma

    Cromosoma

    Es cada una de las estructuras altamente organizadas, formadas por ADN y proteínas, que contiene la mayor parte de la información genética de un individuo.
  • Gen

    Gen

    Partícula de material genético que, junto con otras, se halla dispuesta en un orden fijo a lo largo de un cromosoma, y que determina la aparición de los caracteres hereditarios en los seres vivos.
  • Alelo

    Alelo

    Es cada una de las formas alternativas que puede tener un mismo gen que se diferencian en su secuencia y que se puede manifestar en modificaciones concretas de la función de ese gen
  • Fenotipo

    Fenotipo

    La clase de la que se es miembro según las cualidades físicas observables en un organismo, incluyendo su morfología, fisiología y conducta a todos los niveles de descripción. Las propiedades observables de un organismo.
  • Genotipo

    Genotipo

    La clase de la que se es miembro según el estado de los factores hereditarios internos de un organismo, sus genes y por extensión su genoma. El contenido genético de un organismo.
  • ADN

    ADN

    Es un ácido nucleico que contiene las instrucciones genéticas usadas en el desarrollo y funcionamiento de todos los organismos vivos y algunos virus, y es responsable de su transmisión hereditaria.
  • 2da Ley de Mendel: Ley de la segregación de los caracteres en la segunda generación filial

    2da Ley de Mendel: Ley de la segregación de los caracteres en la segunda generación filial

    Esta dictamina que para que exista la reproducción de dos individuos de una especie, primero debe existir la separación del alelo de cada uno de los pares para que de esta manera se transfiera la información genética al hijo. Un alelo es, la variante genética que permite determinar un rasgo o carácter. Existen entonces, alelos dominantes y alelos recesivos.
  • 3era Ley de Mendel: Ley de la independencia de los caracteres hereditarios

    3era Ley de Mendel: Ley de la independencia de los caracteres hereditarios

    Según Mendel, hay rasgos heredados que se obtienen de forma independiente, sin relación con el fenotipo, lo cual no afecta al patrón de herencia de otros rasgos. Esta ley se cumple en los genes que no están ligados, es decir que se encuentran en diferentes cromosomas o que están en zonas muy separadas del mismo cromosoma.
  • Cuadro de Punett

    Cuadro de Punett

    Es un diagrama diseñado por Reginald Punnett y es usado por los biólogos para determinar la probabilidad de que un producto tenga un genotipo particular
  • Deleción

    Deleción

    Es un tipo especial de anomalía estructural cromosómica que consiste en la pérdida de un fragmento de ADN de un cromosoma.
  • Duplicación

    Duplicación

    Es la repetición de un fragmento de cromosoma a continuación del fragmento original. Las duplicaciones surgen por error en la duplicación del ADN, como producto de una reorganización cromosómica de tipo estructural o relacionado con un proceso de sobrecruzamiento defectuoso.
  • Traslocación

    Traslocación

    Es el desplazamiento de un segmento de un cromosoma a un nuevo lugar en el genoma. El intercambio de segmento entre dos cromosomas no homólogos es una translocación recíproca. El modo más fácil para que ocurra esto es que los brazos de dos cromosomas no homólogos se aproximen de tal manera que se facilite el intercambio.
  • Inversión

    Inversión

    Es un cambio estructural por el cual un segmento cromosómico cambia de sentido dentro del propio cromosoma con relación a una secuencia considerada como típica (ordenación estándar).
  • 1era Ley de Mendel: Principio de la uniformidad de l heterocigotos de la primera generación filial

    1era Ley de Mendel: Principio de la uniformidad de l heterocigotos de la primera generación filial

    Establece que si se cruzan dos razas puras (un homocigoto dominante con uno recesivo) para un determinado carácter, los descendientes de la primera generación serán todos iguales entre sí, fenotípica y genotípicamente, e iguales fenotípicamente a uno de los progenitores (de genotipo dominante), independientemente de la dirección del cruzamiento
  • Síndrome de Edwards

    Síndrome de Edwards

    El síndrome de Edwards o trisomía 18 es una enfermedad cromosómica rara caracterizada por la presencia de un cromosoma adicional en el par 18. La trisomía del cromosoma 18 fue descrita por Edwards y Patau en 1960. Su frecuencia se estima entre 1 de cada 6000 a 1 de cada 13000 nacidos vivos. Afecta a niños de todas las razas encontrándose en cualquier zona geográfica. Es una entidad que aparece con mucha mayor frecuencia entre las mujeres que entre los hombres
  • Síndrome de Cri du Chat

    Síndrome de Cri du Chat

    El síndrome del maullido (del francés cri du chat), también llamado síndrome de Lejeune, es una enfermedad congénita infrecuente con alteración cromosómica provocada por un tipo de deleción autosómica terminal o intersticial del brazo corto del cromosoma 5, caracterizada por un llanto que se asemeja al maullido de un gato y que se va modificando con el tiempo.
  • Síndrome de Turner

    Síndrome de Turner

    El síndrome de Turner, síndrome de Ullrich-Turner o monosomía X, es una afección genética rara, que afecta únicamente a las mujeres, provocada por la ausencia total o parcial de un cromosoma X.1​
    La cantidad normal de cromosomas en los seres humanos es 46. Dos de estos cromosomas, determinan el sexo (los cromosomas sexuales). Las mujeres normalmente tienen dos de los mismos cromosomas sexuales (XX), mientras que los hombres presentan un cromosoma X y un cromosoma Y (XY).
  • Polidactilia

    Polidactilia

    Es un trastorno genético donde un humano nace con más dedos en la mano o en el pie de los que le corresponde. Se detecta en el momento del nacimiento. A estos dedos se les llaman “dedos extra” o “dedos supernumerarios”.
    La polidactilia afecta a la mano o al pie en diferentes formas, pero no es una malformación que afecte a la salud de la persona, en algunos casos, puede estar asociada a una anomalía genética más seria en la que pueden existir otras malformaciones físicas o mentales.
  • Anemia Falciforme

    Anemia Falciforme

    Es una alteración en la sangre del ser humano que hace que el glóbulo rojo se deforme y adquiera apariencia de hoz, lo que entorpece la circulación sanguínea y causa en el enfermo microinfartos, hemólisis y anemia.
    Es una enfermedad de origen genético que tiene su origen en la sustitución de un aminoácido (el ácido glutámico) por otro (la valina) en la sexta posición de la cadena de globina β, de tal manera que disminuye la unión de oxígeno y el eritrocito se atrofia.
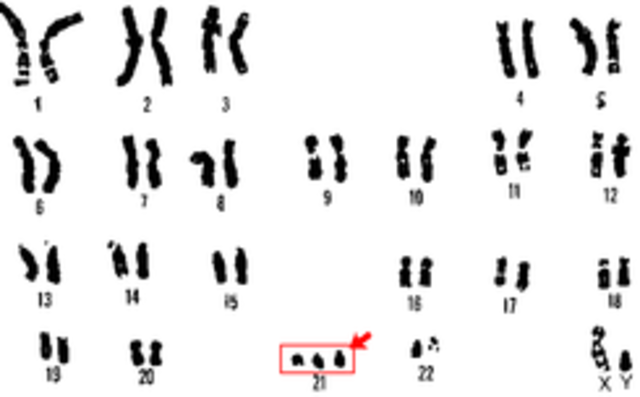
  • Síndrome de Down

    Síndrome de Down

    Es un trastorno genético en el cual una persona tiene 47 cromosomas en lugar de los 46 usuales.
    En la mayoría de los casos, el síndrome de Down ocurre cuando hay una copia extra del cromosoma 21. Esta forma de síndrome de Down se denomina trisomía 21. El cromosoma extra causa problemas con la forma en la que se desarrollan el cuerpo y el cerebro.
  • Síndrome de Patau

    Síndrome de Patau

    El síndrome de Patau, también conocido como trisomía en el par 13, trisomía D o síndrome de Bartholin-Patau, es una enfermedad genética que resulta de la presencia de un cromosoma 13 suplementario.
    Este síndrome es la trisomía reportada menos frecuente en la especie humana. Fue observado por primera vez por Thomas Bartholin en 1657, pero no fue hasta 1960 cuando la descubrió el Dr. Klaus Patau.
  • Síndrome de Prader-Willi

    Síndrome de Prader-Willi

    El síndrome de Prader-Willi (SPW) es consecuencia de una alteración genética originada por un fallo en la expresión de genes del cromosoma 15. En la etapa de lactancia se caracteriza por hipotonía y dificultad para succionar, lo que ocasiona un retraso en el crecimiento. Posteriormente, durante la infancia, se produce un retraso en el desarrollo psicomotor junto con discapacidad intelectual y problemas en el comportamiento.
  • Síndrome de Angelman

    Síndrome de Angelman

    El síndrome de Angelman es una enfermedad de causa genética que afecta al sistema nervioso.

    Es un ejemplo clásico de enfermedad con herencia epigenética, puesto que las mutaciones y defectos que lo causan implican, o no, el desarrollo de la enfermedad en función de si la copia del gen alterado proviene del padre o de la madre. Estas mutaciones están en una zona del cromosoma 15, en el mismo locus que el síndrome de Prader-Willi, precisamente en el 15q11-q13.
  • Sindactilia

    Sindactilia

    E la fusión congénita o accidental de dos o más dedos entre sí, ocurre normalmente en algunos mamíferos como el siamang, siendo inusual en los humanos. Se clasifica como simple cuando sólo afecta a tejidos blandos, o como compleja cuando abarca a los huesos o uñas de dedos adyacentes.
  • Albinismo

    Albinismo

    Es un trastorno genético heterogéneo, causado por mutaciones en diferentes genes, que produce una reducción o ausencia total del pigmento melánico de ojos, piel y pelo. Se da en los seres humanos y en otros animales. También puede ocurrir en los vegetales, donde faltan otros compuestos como los carotenos. Es hereditario; aparece con la combinación de los dos padres portadores del gen recesivo.
  • Hemofilia

    Hemofilia

    La hemofilia es una enfermedad genética recesiva que impide la correcta coagulación de la sangre. Está relacionada con el cromosoma X en los dos principales tipos: la hemofilia A, cuando hay un déficit del factor VIII de coagulación, la hemofilia B, cuando hay un déficit del factor IX de coagulación. Debido a que las hemofilias A y B están ligadas al cromosoma X la enfermedad es muy rara en mujeres.
  • Period: to

    Anomalía Cromosómica

    Cualquier cambio en el número o en la estructura de un cromosoma es una anomalía cromosómica. También se le conoce con el nombre de aberración cromosómica y puede ser de varios tipos : ausencia o presencia múltiple de un cromosoma ,alteraciones en la estructura ( por ejemplo, la ausencia del gen

A list shows items. A timeline shows sequence.

Use Timetoast to make dates, milestones, and turning points easier to understand in a clear visual format. Timetoast is a timeline maker for work, school, research, and stories.