Growth

The Growth of a Child

  • Prenatal- Fertilization

    Prenatal- Fertilization

    Fertilization is the beginning of the journey of Child development, and really the beginning of each one of our existence. It truly is amazing that the sperm meets the egg and they are able to create a single cell that will become millions of cells. After watching The Miracle of Life, shows the time the sperm takes to get up the fallopian tube and be accepted by the egg. This stage can take up to 24 hours before they begin the long 36 weeks of moving to the uterus, dividing cells, and growing
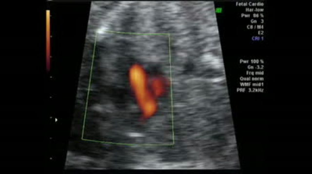
  • Prenatal- Heartbeat

    Prenatal- Heartbeat

    Heartbeat is something our heart does several times in a minute and keeps us alive. Think, we have been doing that since we were only 5 weeks old as an embryo. This is a sign of the amazing development of the beginning of the circulatory system. This momentous heart beating occurs in the embryonic stage as it teaches us in our book is from 2 to 8 weeks. This pictures shows an ultrasound of a embryo's heartbeat. Image found on Google Images.
  • Prenatal- Sex Determined

    Prenatal- Sex Determined

    The sex is determined is between 8 and 24 weeks. There is a hormone that is released that either causes the development of male or female genitals. This is shown to us our book on page 73. Then a mother can be able to see if their unborn child is a boy or a girl. This ultrasound picture shows that this is a boy.
    Image taken from Google images
  • Prenatal- Fetus able to Hear

    Prenatal- Fetus able to Hear

    At 18 weeks the fetus develops the inner ear and is able to hear! This is still in the fetal stage. Now that the unborn child is able to hear its mother and father they become familiar with their voices. They will even have preference to their mother and parents because that is the voices they have heard usually most often. This image shows a fetus’ ear.
    Image from Google image
  • Brith

    Brith

    I was born! I have followed this timeline through my life time so this is when i entered the world.
  • Infancy- Object permanance

    Infancy- Object permanance

    At about age 8 to 12 month infants begin to show signs of object permamnce. Before this, an infant thinks each time that they see an object it is new to them. They at this age begin to understand that even when an object goes under a blanket that it still exisit. At this age peek a boo becomes fun because they know you things still exisit when they can't see it. This picutres although of an older child shows object permance. Its mentioned in the text that this may be present at 3 1/2 months.
  • Infancy-Stranger Anxiety

    Infancy-Stranger Anxiety

    At about 9 months this social behavior of an infant is to not like strnager. I think this picture shows perfectly what I have seen so many times that when a child wants to only be with his mom or those who knows. This photo was found on google images. Stranger anxiety is a process of forming the roots of sociality, its their discovering what is as it says in our book on page 171.
  • Infancy- Walking

    Infancy- Walking

    A physical development of Infancy is walking. This is shown in this photo from google images. This the great motor skill developed in infancy that allows for much more exploration. This typically occurs around their first birthday.
  • Infancy- Seperation anxiety

    Infancy- Seperation anxiety

    As a child one of the emotional developments is seperation axiety. Although this effects alot of children especially as they are dropped of at preschool or daycare. This emotion peaks at 14th months old. This image shows a mom leaving her infant and shows how she is going to begin crying. This image is from google.
  • Toddler- Parallel Play

    Toddler- Parallel Play

    During the toddler ages children play along side each other this is the beinging of their social intereactions. For example when they are playing with the blocks Raphel and Georgia might both be playing with them but they don't build something together. During parallel play, they just play along side each other. This is part of their social development. I chose this picture from google images becasue it displays two kids playing with blocks along side each other.
  • Toddler-Talking/Growth of vocabulary

    Toddler-Talking/Growth of vocabulary

    In the toddler years their vocabulary is growing a ton. usally they have said their first word by about 1 year. I put this on my timeline at age 1 and 1/2 so by this point a child could say small phrases ussually. This is part of cgnitive decelopment. I chose this image becasue it is a toddler takling. This image was taken from google images.
  • Toddler- Feel empathy

    Toddler- Feel empathy

    In the toddler years a emotional development is that they begin to feel for others. It is amazing how at just the first years of life a child already begins to understand others feelings at a very primary stage. I chose this picture that I found on google images becasue the little boy is trying to comfort the litle girl next to him showing empathy.
  • Toddler- Running

    Toddler- Running

    Toddlers go through a lot of physical development. This includes from walking to running. Walking occurs ussually the end of infancy and begining of toddlerhood. As a child is 2 1/2 they are able to run around. I chose this picture off of google becasue it shows a child running.
  • Early Chilhood-  Social speaking

    Early Chilhood- Social speaking

    Children in early childhood( 3-6) begin to have social talking. This is a cognitive development of early childhood. Before the age of 3 they talk mostly for their own entertainment, now in the early childhood they are wanting to communicate with others. They want to be understood by others. This is shows a young girl looking like she sincerly wants her mother to understand what she is saying. This image was found on google images.
  • Early Childhood- Development of Handedness

    Early Childhood- Development of Handedness

    As a child goes through their early childhood they development a prominent hand. This means that they write with a dominante hand. I put the age of 5 becasue ussually by the time a child goes off to kindergarten they have developed that physical trait. This is part of physical development. This image was found on google image and thought it was approprite becasue writting is where we see dominance most.
  • Early Chilhood-Gender Identity

    Early Chilhood-Gender Identity

    During the early Childhood years children begin to identitfy what is social appropriate for their gender to act. This is a social development becasue they are learning how to act in society. I chose this picture because i thought it clearly showed the main symbol we all know for a male and female. I found this image on google images.
  • Early Chilhood- Friendships

    Early Chilhood- Friendships

    A emotional development of early childhood years is the development of friendships based on trust and shared interest. Although this could also be considered social development, I see that they are able to emotionally handle a relationship and relate with others. The development of friendships reminds of young children how they tell secrets and true friends don't tell your secerets, this is why i chose this picture on Google images.
  • Middle Childhood-Conservation

    Middle Childhood-Conservation

    Part of the cognitive development in middle childhood is the understanding of conservation. This is shown in this picture as there is several different cups that are different sizes and as adults we could see they are all the same amount of liquid. On the other hand, a young child thinks they are all the same amount even if they see them poured from one cup to another. This develop occurs the beginning of early childhood. This image was taken from google images.
  • Middle Childhood- Fine Motor Development

    Middle Childhood- Fine Motor Development

    Durning the middle childhood years children develop a lot of fine motor skills. Some examples of these developments include the ability to type, write cursive, draw detail picutres, and dexterity in sports as well. Thi s is a physical development in the middle childhood years. i chose this picutre becasue it shows the dextirity of a young childs hands. The picture came from google images.
  • Middle Childhood- Gender Segregation

    Middle Childhood- Gender Segregation

    During middle childhood children make friends with primarily with only those of their same gender. They create social groups that are all boys or girls, and this is seen through out the world. This picture displays two girls playing together thought it was approprite for this age group. This was taken from google images.
  • Middle Childhood- Sense of Self

    Middle Childhood- Sense of Self

    Durning the middle childhood years, a child changes from knowing who they are by idenity of they physically are to who they are phsychologically. This means their ability of going from thinking of themselves as tall to friendly shows they are able to identify psychological stregths. I chose this picture because it shows a girl being reflective, maybe thinking about who she really is. This image is from google images.
  • Adolescence- Puberty

    Adolescence- Puberty

    One of the biggest events in adolescence is the onset of puberty. Puberty i s when the pituitary gland in the brian trigers hormones to release to begin the maturation of sex organs. This is a physical development but has a huge effect on social and emotional development as well. This picutre of a young boy shaving is a good example of puberty in a boy. This image was taken from google images.
  • Adolesence- Independence

    During the adolesent years, teenagers seek to be independent and make thir own choices. This is part of their emotional development. They begin to make their own choices wheather parents like them or not as shown in the picture. This maybe simply who they hang out with later it will be moving out on their own for college possibly. This picture is from google images.
  • Adolescence- Belonging to a Group

    Adolescence- Belonging to a Group

    Teenagers begin to want to feel a since of belonging. They feel this sense of belonging by joining in groups, sometimes refered to as cliques. This helps them identify who they are by joining with other teenagers who do similar things as them such as sports or play a musical instrument. This is part of the social development . This picture shows a group of namd students this is one group that many find sense of belonging in while in highschool. This image was taken from Google Images.
  • Adolesence- Personal Fable

    Adolesence- Personal Fable

    During the Adolescent years teens believe they are exempt from the consequences of dangereous things. They believe that although statistics say that terrible things can happen if you drink and drive they think it won't happen to them. This belief is part of their cognitive development, its part of their understanding of the world. This picture shows a young kid drinking and driving as an example of a personal fable. This picture taken from Google Images.

Looking for a timeline maker?

Create timelines for projects, roadmaps, history, lessons, legal cases, and stories with Timetoast. Timetoast is a timeline maker for work, school, research, and stories.