Imagen1

Nadons a la carta (Bebés a la carta - Designer babies)

By cmcbat
  • Inici de l'estudi de l'herència

    Inici de l'estudi de l'herència

    Hipòtesi de l'herència per mescla (les cèl·lules sexuals es combinaven, el material hereditar es barrejava)
  • Period: to

    Inici de l'estudi de l'herència

    Hipòtesi de l'herència per mescla (les cèl·lules sexuals es combinaven, el material hereditar es barrejava)
  • Teoria de l'evolució - Charles Darwin

    Teoria de l'evolució - Charles Darwin

    Estudi de la transmutació de les espècies i concepció de la seva teoria de la selecció natural (és el procés gradual no aleatori pel quals els patrons biològics esdevenen o bé més o bé menys comuns dins una població com a funció de la reproducció diferencial dels seus progenitors).
  • BASE DE LA GENÈTICA Publicació de les Lleis de Mendel

    BASE DE LA GENÈTICA Publicació de les Lleis de Mendel

    La primera llei: Llei de la uniformitat de la primera generació
    AA + aa = Aa, Aa, Aa, Aa.
    La segona llei: Llei de segregació
    Aa + Aa = AA + Aa + Aa + aa
    La tercera llei: Llei de l'herència independent de caràcters
    Dels últims quatre gàmetes obtenim: AALL, AALl, AAlL, AAll, AaLL, AaLl, AalL, Aall, aALL, aALl, aAlL, aAll, aaLL, aaLl, aalL, aall .
  • El principi d'equilibri Hardy-Weinberg

    El principi d'equilibri Hardy-Weinberg

    S'estableixen models matemàtics de la freqüències gèniques en poblacions mendelianes.
  • GENS

    GENS

    Les unitats fonamentals de l'herència biològica reben el nom de gens
  • Genoma

    La paraula genoma és un acrònim de gen i cromosoma i va ser encunyada per Hans Winkler.
  • Gens - Cromosomes

    Gens - Cromosomes

    L'activitat del gen relacionada amb la seva posició en el cromosoma
  • Eugenèsia: Llei d'esterilització nazi

    Eugenèsia: Llei d'esterilització nazi

    L'Alemanya nazi va promulgar el 1933 una llei que obligava a esterilitzar a les persones que patien alguna de les malalties que es consideraven hereditàries, esterilitzant a 56.244 "defectuosos hereditaris"
  • Period: to

    Eugenesia: Exterminació nazi

    L'holocaust nazi extermina a sis milions de jueus per mitjà de la seva política eugenèsica
  • Period: to

    Gens codificadors d'una proteïna

    Es descobreix que cada gen codifica una única proteïna
  • ADN - molècula genètica

    L'ADN és identificat com la molècula genètica
  • ADN de doble hèlix

    ADN de doble hèlix

    Es proposa l'estructura en doble hèlix de l'ADN
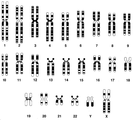
  • 23 parells de cromosomes

    23 parells de cromosomes

    Són identificats 23 parells de cromosomes en les cèl·lules del cos humà
  • Estructura del DNA

    Estructura del DNA

    James Watson i Francis Crick reben el Premi Nobel de Fisiologia i medicina pel descobriment de l'estructura del DNA al 1953
    (El DNA és un àcid nucleic que conté les instruccions genètiques utilitzades en el desenvolupament i funcionament de tots els éssers vius coneguts, així com en alguns virus. La funció principal de les molècules d'ADN és l'emmagatzematge d'informació a llarg termini.)
  • Codi genètic complert de l'ADN

    Es desxifra el codi genètic complerta de l'ADN
  • Ingenyieria Genètica Molecular

    Inici de la manipulació enzimàtica del material genètic. Aparició de la Ingenyieria Genètica Molecular
  • Seqüència dels missatges químics d'ADN

    Els científics desenvolupen tècniques per a seqüenciar amb rapidesa els missatges químics de les molècules d'ADN
  • Clonació insulina humana

    Es clona el gen de la insulina humana
  • Louise Joy Brown

    Es produix el primer naixement per fertilizació in vitro i transferència embrionaria de la nena Louise Joy Brown
  • Diagnòstic prenatal d'enfermetat, per ADN

    Primer diagnòstic prenatal d'una enfermetat humana per mitjà de l'anàlisi d'ADN
  • Ratolí transgènic

    Es crea el primer ratolí transgènic "superratolí" , insertant el gen de la hormona del creixement de la rata en òvuls de ratolina fecundats.
  • Insulina, amb ADN recombinat

    Es produeix insulina utilitzant tècniques d'ADN recombinat
  • Tècnica PCR

    S'inventa la tècnica PCR (Polymerase Chain Reaction - Reacció en Cadena de la Polimerasa), que permet replicar (copiar) gens específics amb rapidesa.
  • Primeres plantes transgèniques

    Creació de les primeres plantes transgèniques
  • El Projecte del Genoma Humà (PGH)

    Reunió de genesistes on s'avaluen les possibilitats i utilitats de seqüenciar tot el genoma humà.
    PGH (Projecte internacional que té per objectiu desxifrar la seqúència de tot el genoma humà i obtenir-ne una descripció completa.
  • Organisme per ingenyeria genètica

    Primera patent d'un organisme produït mitjançant ingenyieria genètica
  • Màquines seqüenciadores d'ADN

    Comercialització de les primeres màquines automàtiques de seqüenciació de l'ADN
  • DGP

    Comença a desenvlupar-se la selecció embrionària mitjançant el diagnòstic genètic previ a la implantació (DGP)
  • L'Ovella Dolly

    Clonació del primer mamífer, l'Ovella Dolly
  • Esborrany del Genoma Humà

    Anuncien públicament Craig Venter (President de la Companyia Celera Genomics) i, del llavors president dels Estats Units, Bill Clinton que el projecte genoma està, a la fi, finalitzat.
  • Finalització del PGH

    Anuncien públicament Craig Venter (President de la Companyia Celera Genomics) i, del llavors president dels Estats Units, Bill Clinton que el projecte genoma està, a la fi, finalitzat.
  • Aprovació de la Llei de Reproducció Humana Assistida a Andalusía

    L'aprovació el 2006 de la Llei de Reproducció Humana Assistida va fer que Andalusia fos la primera comunitat d'Espanya en recollir el diagnòstic genètic preimplantatori, com un dret inclòs en la cartera de serveis de la sanitat pública.
    Abans de començar amb aquest tipus de tractaments genètics és necessari comptar amb el vistiplau de la Comissió Nacional de Reproducció Asitida, que estudia cas per cas cada patologia i les tècniques reproductives que s'aplicaran.
  • Period: to

    Bebés seleccionats genèticament

    Segons fonts del Ministeri de Sanitat, des de desembre de 2006 a juliol de 2008, només s'ha emès un informe favorable en vuit casos.
  • Neix a Espanya el primer nadó amb la tècnica de selecció de cromosomes

    Un sistema de reproducció assistida que ha permès, per primera vegada al món, solucionar la infertilitat deguda a una alteració genètica.
  • Primer Bebé a la carta, a los Angeles

    Servei oferit per la clínica “Fertility Institutes”
  • Tanca la clínica Fertility Institutes que oferia el servei de bebés a la carta

    Suspèn temporalment l'oferta d'aquest servei.
    En un comunicat publicat a la seva pàgina web, la clínica assegura que "roman atenta a l'opinió pública" i creu que els beneficis d'aquest servei no superen "l'aparentment impacte social negatiu" que provoca.
  • Segon bebé medicament, a España (Andalusía)

    Neix a Andalucía el segon bebé seleccionat genéticamente

Plan projects on a visual timeline

Map milestones, phases, deadlines, and key events in one place so the sequence is easier to see and share. Timetoast is a timeline maker for work, school, research, and stories.