-
Early to mid 1800's ,Physicians begin scattered efforts to “train” low-status women to assist them with menial tasks.
https://www.americansentinel.edu/blog/2016/09/06/a-timeline-of-nursing-education/ -
During the Crimean War Florence Nightingale demonstrates the value of military nurses . She begins to organize her thoughts on how nurses should be trained. https://www.americansentinel.edu/blog/2016/09/06/a-timeline-of-nursing-education/
-
Florence Nightingale is credited with developing a form of pie chart she first called coxcomb, after 1856. Now it is known as Polar Area diagram, or even Nightingale Rose diagram. She used the Polar chart to document the cause of death of the soldiers. https://data-xtractor.com/blog/data-visualization/chart-history-who-invented-this-chart-type/
-
Florence Nightingale publishes the first instruction manual of any kind for nurses. This was called “Notes on Nursing,”
https://www.americansentinel.edu/blog/2016/09/06/a-timeline-of-nursing-education/ -
After the war, no nurse wanted to go back to the bulky dresses, head coverings, and full aprons of the previous decade.
A simple white frock that went only to the ankles soon replaced the heavy costume of the past. https://www.littlethings.com/history-nurses-uniform-vcom/2 -
Bessie Blount Griffin, an African-American nurse, invented a tube i they could use with their teeth. Veterans paralyzed during WWII couldn’t feed themselves until she invented the feeding tube. Patients could bite down on the tube and receive a mouthful of liquefied food, giving them a bit of independence. Griffin earned the name “Wonder Woman.” first African-American woman to work at Scotland Yard.
https://www.mentalfloss.com/article/500467/8-medical-inventions-created-nurses -
Elise Sorensen’s little sister, Thora, had colon cancer. After surgery, Thora faced life with an ostomy appliance for her waste, which often smelled bad and leaked with the equipment available. Elise, a visiting Danish nurse, created a solution for her sister. a plastic pouch that she could adhere to her body. The invention has helped those who’ve had ostomy surgery live normal lives ever since. https://www.mentalfloss.com/article/500467/8-medical-inventions-created-nurses
-
Improving the diagnostic process for strep throat undertaken office-based by Doctor Breese and Disney. They fashioned an incubator that will have bacteria grow from the patient's throat swabs. They gained registration for their efforts and their works are published. https://legacypediatrics.com/research/research-history/
-
South African heart surgeon Dr. Christiaan Barnard performed the first human heart transplant. https://www.infoplease.com/math-science/health/medical-advances-timeline
-
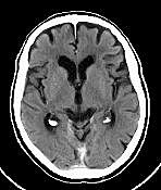
This extremely important medical tool was introduced in the 1970s. CAT scans take detailed x-rays to form 3-D images of any part of a person’s body and detect elements that a normal x-ray couldn’t. While it was originally created to scan the brain, it’s currently used to scan different tissues, bones, and other organs, as well. Sir Godfrey Hounsfield have invented this. https://blog.soliant.com/careers-in-healthcare/timeline-of-medical-tools-and-techniques/
-
After looking at strep how , Doctors Breese and disney investigate how to treat the condition .they then started to test penicillin for effectiveness and dosing.Before long they also started testing every antibiotic for strep, many of which is still used till this day. https://legacypediatrics.com/research/research-history/
-
Dr. Michiaki Takahashi, whose experience caring for his 3-year-old son after the boy contracted chickenpox led him to develop a vaccine for the virus that is now used all over the world https://www.nytimes.com/2013/12/22/health/michiaki-takahashi-85-who-tamed-chickenpox-dies.html#:~:text=Dr.,on%20Monday%20in%20Osaka%2C%20Japan.
-
The founding of the National Black Nurses Association (NBNA) in 1971 marked a significant milestone in the history of black nurses in the United States, particularly in relation to their association with the American Nurses Association (ANA). Twenty years after the dissolution of the National Association of Colored Graduate Nurses (NACGH), which marked the end of one era in the fight of black nurses for equality and access to membership in ANA. https://www.nbna.org/history
-
When an ophthalmologist DR. Edward Maumenee
, from New York City realized the Excimer laser could be used for correcting vision, he patented its use and performed the first laser surgery on a patient in the late 1980s. The technique was developed over the next decade until 1996, when the United States approved the refractive surgery.
https://blog.soliant.com/careers-in-healthcare/timeline-of-medical-tools-and-techniques/ -
In the 1990s, operating room nurses shifted from white uniforms to scrubs, which were easier to clean and sterilize. https://www.littlethings.com/history-nurses-uniform-vcom/6
-
Teri Barton-Salinas invents color-coded IV lines to reduce medical errors.
https://nursing.jnj.com/nursing-today -
The World Health Assembly has designated 2020 the International Year of the Nurse and the Midwife to honor of the 200th anniversary of Florence Nightingale's birth and to advance nurses' vital role in transforming health care around the world.
https://www.annanurse.org/article/year-of-nurse-2020