21

Medical Advancements of the 21st century

  • Public AED's

    Public AED's

    Frank Pantridge invented a portable defibrillator in the mid 1960's. Which used a car battery for a current. They used it for some one who was going into cardiac arrest. Now all over the world we have AED used for the same purpose, and are easy to access.
  • Immunotherapy for Cancer Treatment

    Immunotherapy for Cancer Treatment

    Interferon was made in the mid-1980's for immunotherapy. This medicine was used on cancer patients, and is still used till this day. It helps your immune system to fight the infection, also for other diseases. This type of therapy has gotten more expensive over the years, but it has more accurate results. The technology is more advanced and efficient than it was in the 1980's
  • Hepatitis C cure

    Hepatitis C cure

    Scientist use interferon, which is a substance that goes into the immune system to fight the virus. This has increased the cure rate to 60% in the early 2000's. Today scientist are still working to improve on it more.
  • Robotic Surgery

    Robotic Surgery

    Robotic surgery cam about in 1990 by computer motion. But in 2000 the da Vinci Surgery System was made. It is a robot that does the surgeries for the surgeon. The surgeon is still in the room and controlling the robot but is not does not have their hand in the body. The “Endo-wrist” helps the surgeon get in to small spaces with accuracy. We now have better access to small spaces than a surgeon would be able to with its hand.
  • HIV cocktial

    HIV cocktial

    Scientist have created HAART which is a cocktail of drugs, Which people can take to help cure HIV. It will decrease the amount of HIV and increase the counts of CD4 cell in there bodies. If people take these medicines than they can have a low risk of transmitting it to others. Scientist hope that they will increase the life span affected with HIV, and their quality of life.
  • Anti-Smoking Laws

    Anti-Smoking Laws

    The Tobacco Control Act came about in 2009. This provides the FDA authority to where it is getting distributed and or manufacture. They prohibit retailers to sell cigarettes or any kid of drug to anyone younger than 18 years old. By having the Tobacco Control Act its decreased the amount of usage around the world. Now that we have theses rules we can lower the risks of other health issues, like cancer, heart diseases, and lung diseases.
  • Eye Writing Technology

    Eye Writing Technology

    The man who discovered this technology was Jean lorenceau. This technology helps people with ALS or people who are paralyzed and can't use there hands. It is a pair of glasses specialized to help create letters with the patients eyes.They use their eye to write, draw or print signatures. This is helping people with disabilities communicate a lot better with others.
  • Gene Editing

    Gene Editing

    Jennifer Doudna used the CRISPR-Cas9 to do gene editing. That device is used to remove and add in new DNA in the desired places. Changing the genetic makeup of the DNA strand. It can help treat diseases and or used for other things like beauty or intelligence. In the long run scientist don't know what would happen to the DNA.
  • Artificial pancreas

    Artificial pancreas

    It was discovered by Dana Lewis. It is made to monitor blood sugar levels automatically and provides insulin with people with type 1 diabetes. This has been helping people with type 1 diabetes to take action if they are running low on blood sugars.
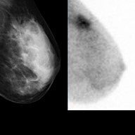
  • Molecular Breast Imaging

    Molecular Breast Imaging

    Michael K. O'Connor, with the help of Deborah J. Rhodes, came up with Molecular Breast Imaging. It is kind of like a mammogram but it is mainly to find tumors in the breast. In a normal mammogram it highlights dense breast tissue and tumors. So this device will help distinguish dense breast tissue from a tumor. It helps women around the world get correct results and find the tumor a lot quicker.