La célula y los orgánulos celulares

  • Invención del microscopio

    Invención del microscopio

    El microscopio fue inventado por un fabricante de anteojos de origen holandés, llamado Zaccharias Janssen, alrededor del año 1590.
    Link text
  • Descubrimiento de la célula

    Descubrimiento de la célula

    Robert Hooke descubre la célula observando una laminilla de corcho.En realidad, lo que observó corresponde al hueco que habían dejado las céluas y que quedaba delimitado por la pared celuar
  • Observaciones de Leeuwenhoek

    Observaciones de Leeuwenhoek

    A. van Leeuwenhoek, al que se puede considerar el padre de la microbiología, construyó microscopios simples, con una sola lente, pero con una perfección que le permitió alcanzar los 270 aumentos
  • Cilios

    Cilios

    Las primeras observaciones de cilios podrían atribuirse a Anton van Leeuwenhoek, quien en su Continuatio arcanorum Naturae, publicado en 1697, describe en muchos lugares estas estructuras. En 1786 Otto Müller emplea por primera vez el nombre de "cilio" para referirse a "los pies increíblemente finos" que Leeuwenhoek describió en los animálculos.
  • Descripción del nucleolo

    Descripción del nucleolo

    Descripción realizada por Felice Fontana en 1781. Habla de una mota en el centro de un núcleo oviforme, posiblemente lo que él vio fue el nucléolo,6​
    El término nucléolo fue introducido por Gabriel Valentin en 1836 y viene a ser un diminutivo de núcleo.
    Se define comouna región del núcleo que se considera una estructura supra-macromolecular,sin membrana que lo limite.La función principal del nucléolo es fabricar ribosomas
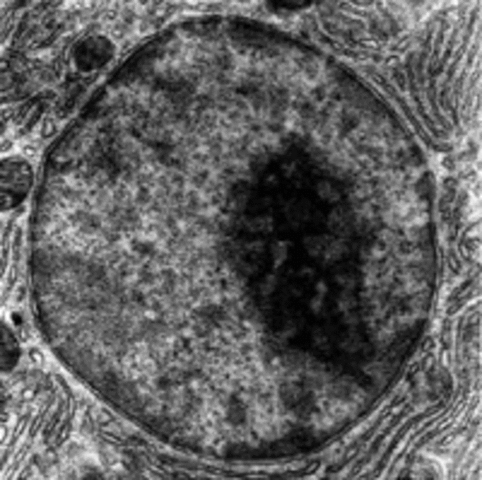
  • Núcleo celular

    Núcleo celular

    El núcleo fue el primer orgánulo en ser descubierto. Probablemente, el dibujo más antiguo que se conserva de este orgánulo se remonta a uno de los primeros microscopistas, Anton van Leeuwenhoek (1632–1723). La primera descripción del núcleo corresponde, en 1804 a Franz Bauer, y posteriormente con más detalle por el botánico escocés Robert Brown
  • Period: to

    Gestación de la Teoría Celular

    Se suceden observaciones que van a conducir a la Teoría Celular (actualmente válida). La teoría celular es la parte fundamental y más relevante de la Biología que explica la constitución de la materia viva a base de células y el papel que tienen estas células en la constitución de la materia viva. A la teoría celular se llegó gracias a una serie de avances científicos ligados a la mejora de la calidad de los microscopios.
  • Henri Dutrochet

    Este investigador francés observó al microscopio porciones de plantas y animales, después de lo cual propuso que éstas se encontraban formadas por células, las que constituían las unidades básicas de la estructura de los seres vivos.
  • División celular en plantas

    División celular en plantas

    B. Dumortier describe la división binaria en células de las plantas
  • Purkinje y la teoría celular

    Purkinje y la teoría celular

    J. Purkinje, uno de los mejores histólogos de su época, propuso las ideas básicas de la teoría celular y ya dijo que los tejidos animales estaban formados por células, sino también que los tejidos animales eran básicamente análogos a los tejidos vegetales. Para saber más sobre Purkinje....
  • Formalización de la Teoría Celular

    Formalización de la Teoría Celular

    M. J. Schleiden, botánico alemán, formaliza el primer axioma de la teoría celular para las plantas Es decir, todas las plantas están formadas por unidades llamadas células. T. Schwann, fisiólogo alemán, hizo extensivo ese concepto a los animales y por extensión a todos los seres vivos en su publicación Mikroscopische Untersuchungen. Fue más allá diciendo que tanto células animales como vegetales estaban gobernadas por los mismos principios.
  • Citoplasma

    J.E. Purkinge y H. van Mohl, de manera independiente, llaman al contenido interior de las células, excluyendo al núcleo, protoplasma
  • Cromosomas

    Cromosomas

    Los cromosomas fueron descubiertos por Karl Wilhelm von Nägeli. En 1889 Wilhelm von Waldeyer les dio el nombre de cromosoma que significa cuerpo coloreado.
  • La célula como forma más simple de vida

    La célula como forma más simple de vida

    R. Virchow propuso a la célula como la forma más simple de manifestación viva y que a pesar de ello representa completamente la idea de vida, es la unidad orgánica, la unidad viviente indivisible.Completó la teoría celular con su célebre principio omnis cellula e cellula.
  • Negación de la generación espontánea

    Spallanzani y Pasteur demostraron con experimentos que toda célula procede de otra célula, negando así la reproducción por generación espontánea.
  • La célula como la “unidad anatómica y funcional de un ser vivo”

    Brucke definió la célula como un organismo elemental.
    Es el ser vivo más pequeño y sencillo portador de todos los
    elementos necesarios para permanecer con vida.
  • Cromatina

    En 1879, el biólogo alemán Walther Flemming descubrió que utilizando determinados colorantes podía teñir un material en el núcleo celular que no se conocía hasta el momento; lo denominó cromatina
  • Cloroplastos

    Cloroplastos

    Descubiertos por el biólogo alemán Theodor Engelmann.
    Los cloroplastos son los plastos de mayor importancia biológica; por medio de la fotosíntesis, en ellos se transforma la energía lumínica en energía química, que puede ser aprovechada por los vegetales.
  • Mitocondrias

    Mitocondrias

    Las primeras observaciones se deben al botánico suizo Kolliker, quien en 1880-1888 anotó la presencia de unos gránulos en células musculares de insectos a los que denominó sarcosomas. Pero el nombre de mitocondria, se debe a Carl Benda, quien en 1889 denominó así a unos gránulos que aparecían con gran brillo en las células
  • Aparato de Golgi

    Aparato de Golgi

    El aparato de Golgi fue descubierto por Camilo Golgi en 1889 cuando observaba neuronas y fue cuestionado durante décadas. Su estructura membranosa fue descrita en detalle por primera vez al microscopio electrónico por Dalton y Felix (1954), quienes introdujeron el concepto de complejo del Golgi.
  • Santioago Ramón y Cajal y la "Doctrina de la neurona"

    Santioago Ramón y Cajal y la "Doctrina de la neurona"

    Santiago Ramón y Cajal logró unificar todos los tejidos del cuerpo en la teoría celular, al demostrar que el tejido nervioso está formado por células. Su teoría, denominada "neuronismo" o "doctrina de la neurona", explicaba el sistema nervioso como un conglomerado de unidades independientes. Pudo demostrarlo gracias a las técnicas de tinción de su contemporáneo Camillo Golgi.
  • Harrison: Cultivo de células "in vitro"

    Harrison: Cultivo de células "in vitro"

    Logró cultivar un "in vitro" de células aisladas de seres pluricelulares, se demuestra que las células son capaces de una vida independiente.
  • Invención del microscopio electrónico

    Invención del microscopio electrónico

    El primer microscopio electrónico fue diseñado por Ernst Ruska y Max Knoll entre 1925 y 1932
  • Lisosomas

    En 1949, Christian de Duve, descubríó los lisosomas mientras realizaba un estudio de cómo la insulina actúa sobre las células hepáticas. Ese mismo año, Alex Novikoff un microscopista experimentado,fue capaz de obtener las primeras micrografías electrónicas del nuevo orgánulo.
  • Retículo endoplasmático

    En el siglo XIX Heidenheim y Plüger vieron dentro de la célula unos grumos y los denominaron cuerpos de Nissl. La descripción del retículo endoplasmático a microscopía electrónica se llevó a cabo en 1952 por Porter y Palade, además hicieron ensayos de marcar diferentes componentes del retículo endoplasmático para saber hacia dónde se dirigían los productos que sintetizaban en el retículo endoplasmático.
  • Peroxisomas

    En 1954, Rhodin descubrió en el riñón de ratón unos orgánulos de pequeñas dimensiones a los que denominó «microcuerpos». En 1967, de Duve llamó peroxisomas a los mismos orgánulos, porque intervienen en la degradación del peróxido de hidrógeno, aunque ésta no es su única función.
    Los peroxisomas son unos orgánulos citoplasmáticos, autorreplicables y limitados por una membrana, que están presentes en todas las células eucariotas, a excepción de los hematíes
  • Ribosomas

    En 1958, Palade descubrió los ribosomas, orgánulos que aparecen en todos los seres vivos. Los ribosomas sintetizan las proteínas celulares. Gracias a la asociación entre ribosomas y retículo endoplasmático (descubierta por Porter, Claude, y Fulham en 1945), las proteínas sintetizadas por la célula también pueden ser vertidas al medio extracelular después de atravesar obligatoriamente el aparato de Golgi.
  • Membrana plasmática

    Membrana plasmática

    El modelo de "mosaico fluido" en la membrana celular, fue descrito por Singer y Nicolson en 1972.
  • Teoría endosimbionte

    Teoría endosimbionte

    Lynn Margulis publica su hipótesis sobre la endosimbiosis, que explica el origen de la célula eucariota.

Plan projects on a visual timeline

Map milestones, phases, deadlines, and key events in one place so the sequence is easier to see and share. Timetoast is a timeline maker for work, school, research, and stories.