- 
  
  El microscopio fue inventado por un fabricante de anteojos de origen holandés, llamado Zaccharias Janssen, alrededor del año 1590.
- 
  
  en el cual se utilizaban dos sistemas de lentes, las lentes oculares (u ocular) para visualizar y las lentes objetivos.
- 
  
  Robert Hooke publicó los resultados de sus observaciones sobre tejidos vegetales, como el corcho, realizadas con un microscopio de 50 aumentos construido por él mismo. Este investigador fue el primero que, al ver en esos tejidos unidades que se repetían a modo de celdillas de un panal, las bautizó como elementos de repetición, «células»
- 
  
  El holandés Antoni Van Leeuvenhoek fabricó sus propios microscopios simples, que lo llevaron al descubrimiento de los glóbulos rojos en 1673, así como también al descubrimiento de las bacterias y del esperma humano.
- 
  
  John Needham describió la presencia de «animálculos» o «infusorios»; se trataba de organismos unicelulares.
- 
  
  postularon que las células son las unidades elementales en la formación de las plantas y animales, y que son la base fundamental del proceso vital.
- 
  
  
- 
  
  según la cual éstas estaban compuestas por pequeñas unidades denominadas células. Su teoría de la fitogénesis, que dieron a conocer en 1838, hablaba de la importancia de la división celular para el crecimiento de las plantas y, aunque luego se demostró que era erronéa en sus planteamientos, fue la base de la futura embriología. sacado de http://www.mcnbiografias.com
- 
  
  
- 
  
  Theodor Schawn concluyó que todos los animales estan formados por células
- 
  
  
- 
  
  
- 
  
  
- 
  
  La teoría de Abbe sobre la formación de imágenes en el microscopio y la "condición del seno" que lleva su nombre establece la base de todos los instrumentos ópticos de alto rendimiento.
- 
  
  
- 
  
  
- 
  
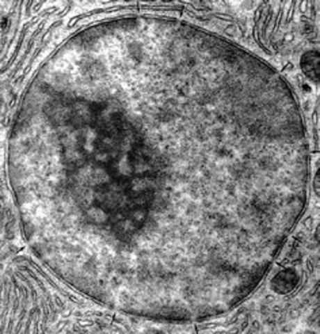
  Este descubrimiento de la indivilualidad de la neurona concedio de la neurona concedio a la teoria celular validez universal.
- 
  
  La declaración oficial de Müller: “Átomos, ja, átomos”.
- 
  
  
- 
  
  pesa lo mismo que un huevo grande. Con un led y un sensor digital, crea imágenes holográficas.
- 
  
  Con más de cuatro metros de alto y 50 lentes, puede aumentar la imagen de la muestra más infinitesimal hasta 20 millones de veces. Pero el tamaño sigue importando: las muestras tienen que ser de una milésima de un pelo humano.
