Historia de la cel·lula

  • Es construeix un dels primers microscopis.

    Es construeix un dels primers microscopis.

    -El 1608, Zacharias Janssen va construir un primer microscopi; el 1611, Johannes Kepler el va millorar, i el 1655, Robert Hooke va publicar un recull de dibuixos titulat Micrographia, en què descriu les observacions microscòpiques que va fer amb el primer microscopi construït per ell mateix.
  • S’aconsegueix construir un microscopi de 200 augments i observar cèl·lules vives.

    S’aconsegueix construir un microscopi de 200 augments i observar cèl·lules vives.

    A l’Europa del 1620 apareix el primer microscopi compost, el seu inventor es anònim i no es té clar qui es.
    La tinció es una técnica emprada en microscopia per veure millor la imatge del microscopi. Consisteix en afegir un tint especific (ADN,proteïnes,etc) per augmentar la visió d’un compost. Va ser creada al 1884 per Hans Christian Gram.
  • Es publiquen els primers dibuixos de cèl·lules mortes de talls de suro.

    Es publiquen els primers dibuixos de cèl·lules mortes de talls de suro.

    El nou microscopi de Leeuwenhoek era una simple lupa, però de qualitat exquisida, amb la qual podia assolir fins a 200 augments, gràcies a n’aquest invent es van poder observar cèl·lules vives. (1688)
  • Es demostra que le cèl·lules s’originen únicament a partir d’altres preexistents.

    Es demostra que le cèl·lules s’originen únicament a partir d’altres preexistents.

    En el 1838 El botanic aleman Matthias Schleiden comprova que les plantes estan formades per cèl·lules.
    En el 1839 el zoologic alemán Theodor Schwann descobreix que també els animals estan formats per cèl·lules.
  • S’observa i es descriu el medi intern de la cèl·lula.

    S’observa i es descriu el medi intern de la cèl·lula.

    Dos científics alemanys, Matthias Jakob Schleiden (1838), botànic i Theodor Schwann (1839), fisiòleg, s'adonaren de certa comunitat fonamental en l'estructura microscòpica d'animals i plantes, en particular la presència de nuclis.
  • Alguns científics afirmen que tots els vegetals i animals estàn formats per cèl·lules.

    Alguns científics afirmen que tots els vegetals i animals estàn formats per cèl·lules.

    Dos científics alemanys, Matthias Jakob Schleiden (1838), botànic i Theodor Schwann (1839), fisiòleg, s'adonaren de certa comunitat fonamental en l'estructura microscòpica d'animals i plantes, en particular la presència de nuclis.
  • Es planteja per primer cop la teoria cel·lular.

    Es planteja per primer cop la teoria cel·lular.

    Es planteja que tots els organismes es componen de cèl·lules, que aquestes són la unitat bàsica de tot organisme i que totes les cèl·lules es formen a partir d'altres cèl·lules.
  • Es considera la cèl·lula la unitat genètica

    Es considera la cèl·lula la unitat genètica

    La història de la biologia cel·lular ha estat lligada al progrés tecnològic que en permet l'estudi.
    Així doncs, les primeres observacions de la seva morfologia començaren amb la popularització dels microscopis rudimentaris de lents compostes al segle xvii,
  • Es considera la cèl·lula com a unitat bàsica estructural i morfològica.

    Es considera la cèl·lula com a unitat bàsica estructural i morfològica.

    Es considera la cèl·lula com a unitat bàsica estructural i morfològica
    Una cèl·lula és la unitat bàsica estructural i funcional de tot ésser viu i, de fet, l'element més petit que es pot considerar viu. Els organismes es poden classificar en unicel·lulars o pluricel·lulars segons el seu nombre de cèl·lules
  • Es considera la cèl·lula com a unitat bàsica fisiològica i funcional.

    Es considera la cèl·lula com a unitat bàsica fisiològica i funcional.

    La biologia cel·lular o citologia és la branca de la biologia que estudia l'estructura i funció de les cèl·lules com a unitats individuals, complementant així a la histologia
    la biologia cel·lular es limitava a l'observació microscòpica de cèl·lules mortes tenyides, intentant correlacionar aquestes observacions amb els fenòmens fisiològics ja coneguts.
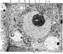
  • S’observa i es descriu per primera vegada el nucli cel·lular.

    S’observa i es descriu per primera vegada el nucli cel·lular.

    Al 1932, Walter B. Cannon va crear el principi de l’homeòstasis (el medi intern d’una cèl·lula).

Plan projects on a visual timeline

Map milestones, phases, deadlines, and key events in one place so the sequence is easier to see and share. Timetoast is a timeline maker for work, school, research, and stories.