Història de la cèl·lula

  • Es construeix un dels primers microscopis.

    Es construeix un dels primers microscopis.

    El 1608, Zacharias Janssen va construir un primer microscopi; el 1611, Johannes Kepler el va millorar, i el 1655, Robert Hooke va publicar un recull de dibuixos titulat Micrographia, en què descriu les observacions microscòpiques que va fer amb el primer microscopi construït per ell mateix.
  • Es perfeccionen els microscopis i es descobreixen les tècniques de tinció.

    Es perfeccionen els microscopis i es descobreixen les tècniques de tinció.

    A l’Europa del 1620 apareix el primer microscopi compost, el seu inventor es anònim i no es té clar qui es.
    La tinció es una técnica emprada en microscopia per veure millor la imatge del microscopi. Consisteix en afegir un tint especific (ADN,proteïnes,etc) per augmentar la visió d’un compost. Va ser creada al 1884 per Hans Christian Gram.
  • Es publiquen els primers dibuixos de cèl·lules mortes de talls de suro.

    Es publiquen els primers dibuixos de cèl·lules mortes de talls de suro.

    Mirant una làmina de suro Robert Hooke va trobar uns petits cavis que recordaven un cel·les d’un rusc de abelles, les va anomenar cèl·lules. El que va passar es que els cientifics no li van fer cas fins 175 anys més tard. (1655)
  • S’aconsegueix construir un microscopi de 200 augments i observar cèl·lules vives.

    S’aconsegueix construir un microscopi de 200 augments i observar cèl·lules vives.

    El nou microscopi de Leeuwenhoek era una simple lupa, però de qualitat exquisida, amb la qual podia assolir fins a 200 augments, gràcies a n’aquest invent es van poder observar cèl·lules vives. (1688)
  • Alguns científics afirmen que tots els vegetals i animals estàn formats per cèl·lules.

    Alguns científics afirmen que tots els vegetals i animals estàn formats per cèl·lules.

    Dos científics alemanys, Matthias Jakob Schleiden (1838), botànic i Theodor Schwann (1839), fisiòleg, s'adonaren de certa comunitat fonamental en l'estructura microscòpica d'animals i plantes, en particular la presència de nuclis.
  • Es planteja per primer cop la teoria cel·lular.

    Es planteja per primer cop la teoria cel·lular.

    Es planteja que tots els organismes es componen de cèl·lules, que aquestes són la unitat bàsica de tot organisme i que totes les cèl·lules es formen a partir d'altres cèl·lules.
  • Es demostra que les cèl·lules s’originen únicament a partir d’altres preexistents.

    Es demostra que les cèl·lules s’originen únicament a partir d’altres preexistents.

    En el 1838 El botanic aleman Matthias Schleiden comprova que les plantes estan formades per cèl·lules.
    En el 1839 el zoologic alemán Theodor Schwann descobreix que també els animals estan formats per cèl·lules.
    Amb aquesta informació van postular per dos principis: Tots els organismes estan formats per una o més cèl·lules, que posteriorment es trobaran dos grans grups (procariotes, eucariotes)
  • Es considera la cèl·lula com a unitat bàsica estructural i morfològica.

    Es considera la cèl·lula com a unitat bàsica estructural i morfològica.

    Una cèl·lula és la unitat bàsica estructural i funcional de tot ésser viu i, de fet, l'element més petit que es pot considerar viu. Els organismes es poden classificar en unicel·lulars o pluricel·lulars segons el seu nombre de cèl·lules
  • Es considera la cèl·lula com a unitat bàsica fisiològica i funcional.

    Es considera la cèl·lula com a unitat bàsica fisiològica i funcional.

    La biologia cel·lular o citologia és la branca de la biologia que estudia l'estructura i funció de les cèl·lules com a unitats individuals, complementant així a la histologia.
    La biologia cel·lular es limitava a l'observació microscòpica de cèl·lules mortes tenyides, intentant correlacionar aquestes observacions amb els fenòmens fisiològics ja coneguts. L'home que va observar açò va ser Bruke.
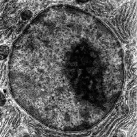
  • S’observa i es descriu per primera vegada el nucli cel·lular.

    S’observa i es descriu per primera vegada el nucli cel·lular.

    Walther Flemming va observar i il·lustrar una cèl·lula (incluint el seu nucli) detalladament per primera vegada al 1882.
  • Es considera la cèl·lula la unitat genètica

    Es considera la cèl·lula la unitat genètica

    La història de la biologia cel·lular ha estat lligada al progrés tecnològic que en permet l'estudi.
    Així doncs, les primeres observacions de la seva morfologia començaren amb la popularització dels microscopis rudimentaris de lents compostes al segle XVII. Per Stutton i Boveri
  • S’observa i es descriu el medi intern de la cèl·lula.

    S’observa i es descriu el medi intern de la cèl·lula.

    Al 1932, Walter B. Cannon va crear el principi de l’homeòstasis (el medi intern d’una cèl·lula)

A list shows items. A timeline shows sequence.

Use Timetoast to make dates, milestones, and turning points easier to understand in a clear visual format. Timetoast is a timeline maker for work, school, research, and stories.