Hospital Course

  • Unresponsive

    Unresponsive

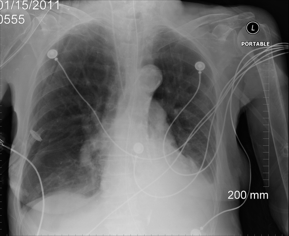
    Found unresponsive by son. Intubated in field. Vent Settings A/C with a VT of 5 ml/kg, RR of 20 bpm, PEEP of 5cmH2O, and an FiO2 of 1.0. CXR showed pulmonary vascular congestion and pulmonary edema. Breathing treatments ordered. ABG revealed a partially compensated respiratory acidosis with excessively corrected hyperoxemia. Labs revealed a normal WBC count and low potassium levels.
  • Pulmonary Edema

    CXR revealed pulmonary edema, Labs low potassium levels and a normal WBC count. ABG revealed a uncompensated metabolic alkalosis with mild hypoxemia. Went from a respiratory to a metabolic issue.
  • Pulmonary Vascular Congestion

    CXR revealed a pulmonary vascular congestion. ABGS's revealed a uncompensated metabolic alkalosis. RR decreased to 8 bpm. FiO2 at .30. Labs revealed low potassium levels and elevated WBC count. Antibiotics ordered.
  • No changes

    Labs still showed low potassium levels and WBC increased. ABG still revealed a compensated metabolic alkalosis with mild hypoxemia. Vent settings remain the same.
  • Pnuemonia

    Pnuemonia

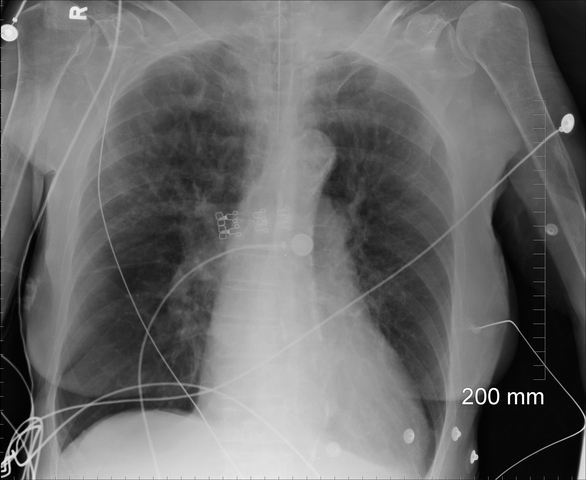
    CXR revealed peristent infiltrates throughout each lung significant with Pneumonia. This would explain the increased WBC count. Potassium levels were back to normal and potassium was discontinued. ABG revealed a compensated metabolic alkalosis mild hypoxemia. Vent changes ordered to PSV with a RR of 5, PEEP of 5 cmH2O one hour BID as tolerated. Failed and switched back to previous settings.
  • Vent Changes

    PSV RR of 16 bpm, PEEP of 5 cmH2O. Tolerated well. T-piece trials started. ABG still revealed a compensated metabolic alkalosis with mild hypoxemia. T-piece trial initiated lasted 15 minutes and switched back to PSV due to RR between 39-40 bpm. FiO2 increased to .50.
  • Extubated

    CXR revealed emphysema and possible right basilar atelectasis. Sedation discontinued and PS decreased to 12. ABG revealed a partiall compensated metabolic alkalosis with mild hypoxemia. Dr. Knowall ordered her to be extubated once awake and if fails possibly a trach will be performed. CHF had improved. CXR showed worsening of inifiltrates on top of the emphysema and bibasilar atelectasis. Did well once extubated. Treatments and antibiotics continued.
  • Sent to floor

    Sent to floor

    Continued to improve on floor.
  • Discharged

    She was discharged.
  • Readmitted

    Patient readmitted for unresponsiveness not intubated, sent to ICU for further observation. ABG revealed a partially compensated respiratory acidosis with moderate hypoxemia. .
  • Increased SOB

    WBC count back within normal ranges.
  • Still increased SOB

    SpO2 fluctuating between 88-92% . Increased SOB still and worsening. Dr. Knowall is still trying to find out the underlying cause.