Mena

MENA-REN PROZESUA

By lide23
  • 6. Bizileku-baimena (NIE)

    6. Bizileku-baimena (NIE)

    Harrerako pisuan aurkitzen da Ahmed eta adinez nagusi egten ari den bitartean, ematzipaziora prestatzeko programan parte hartuko du. Harrera pisuan 18-19 urte egin arte geratuko da eta ondoren ematzipazioko etxebizitzan edo pisura joateko aukera eskainiko zaio eta beharrezkoak diren balditzak, era egoki batean burutzen baditu (denboraldi baterako erresidentziaren baimena) eskuratu ahal izango du.....(baimena guztiz lortzeko).
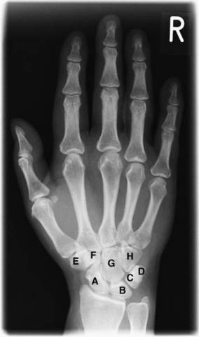
  • 2. Frogatu

    2. Frogatu

    Bertan "argiririk" duen frogatuko dute, hala ez bada duen adina frogatuko dute, "hezur frogaren bidez, karpoaren erradiografia (osasun zetroan) burutuko dute. Profesionalek 16 urte dituela uste dute, frogan ez da zehaztu adin finkoa, hortaz 16-18 urte izango dituela pentstauko dute. Bere babesgabetasuna bermatzeko asmoz, adin txikiena artuko dute kontutan.
  • 3. Urgentzitako harrera (UBA)

    3. Urgentzitako harrera (UBA)

    Kasu batzuetan frogen emaitzak berehala lortzea ezinezkoa izango da. Denbora tarte horretan, Ahmed urgetzi harrerara bideratua izango da. Bertako egonaldiara gehienezko iraupena 3 hilabetekoa izango delarik.
  • 4. Egoitza harreraren sarrera (Bakarrik dauden adintxikikoak)

    4. Egoitza harreraren sarrera (Bakarrik dauden adintxikikoak)

    UBA zentroan haurrak gehienez 3 hilabete egoteko aukera dute. Errealitaten, haur bakoitzaren prozesuaren arabera, denbora gehiago igaro dezakete UBA zentroan. Plaza bat libratzen denean, egoitza harrerara (oinarrizko progrma 13-18) izango da bideratua Ahmed. (Ahmed, Gipuzkoa Foru Aldundiaren ardurapean egongo da).
  • 1. Espainiara iritsi

    1. Espainiara iritsi

    Ahmed Gipuzkoara iritsi zenean, paperik gabe aurkitzen zenez, ertzainetera zuzendu zen. (Bertan nora bideratuko zuten azaldu die eta hizkuntzarekin arazorik ez izateko itzultzaile bat eskatzeko aukera izango zuen).
  • 4. Haurraren jarraipena

    4. Haurraren jarraipena

    Ahmed, egoitza harrerara iritsi zenean, hezitzaileek, baliabideak arautzen dituen dekretua jarraitu eta horrekin batera SERAR (sistema de registro y evaluacion en acogimiento residencial) informea erabiliko zuten, non Ahmed-en programaketa eta erregistro sistema zehtz-mehatz jasoko duten. 8 hilabete darama egoitza harreran eta gaur egun bertan jarraitzen du.
  • 5. Adinez nagusi egitean, zer?

    5. Adinez nagusi egitean, zer?

    Ahmed, 2 urteta adinez nagusi egingo da, hortaz; emantzipaziora prestatzeko programa, non bertan bizimodu independentea egiteko oinarrizko trebetasun batzuk garatu beharko dituen, emantzipazioko programara iritsi baino lehen.
    ● Emantzipaziorako prestatzeko zentroak
    ● Emantzipazioko etxebizitzak edo pisuak

Looking for a timeline maker?

Create timelines for projects, roadmaps, history, lessons, legal cases, and stories with Timetoast. Timetoast is a timeline maker for work, school, research, and stories.