Medicine22572e

Medicine of the modern age by Sian.

By shinks
  • A Substitute For Cocaine

    A Substitute For Cocaine

    Stovain was the first succesful substitute for cocaine as local anesthetic.
  • New Local Anesthetic

    New Local Anesthetic

    Developed by Alfred Einhorn, Novocain was the new local anesthetic, widely used by doctors and dentists.
    The name comes from the Latin word 'Novus' (new) plus cocaine.
  • External Artificial Pacemaker

    External Artificial Pacemaker

    Developed by John Hopps was the world's first external pacemaker
  • First Succesfull Kidney Transplant

    First Succesfull Kidney Transplant

    The first successfull kidney transplant was performed on identical twins.
  • First Implantable Pacemaker

    First Implantable Pacemaker

    The first fully implantable pacemaker was done so in 1958. It was designed by Rune Elmqvist. The surgery was performed by surgeon Ake Senning. Though the pacemaker failed, the patient went on to get 26 in his lifetime and outlived both the surgeon and the designer.
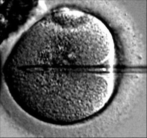
  • The Concept of IVF

    The Concept of IVF

    The Concept of IVF (In Vitro Fertilisation) was pioneered by Patrick Steptoe and Dr. Robert Edwards.
  • Insulin Pump

    Insulin Pump

    The insulin pump was developed by Dr. Arnold Kadish. It was the size of an adult backpack, but overtime as technology and medicine have advanced they have become much smaller and more accurate.
  • First Liver Transplant

    First Liver Transplant

    The first liver transplant was performed by a team of surgeons led by Dr. Thomas Starlz.
  • First Heart Transplant

    First Heart Transplant

    Performed by Dr. Christiaan Barnard was the world's first succesful heart transplant.
  • Coronary Stent

    Coronary Stent

    This was invented by Charles Dotter. He developed his first stent in 1969 which was implanted in a dog.
  • MRI

    MRI

    Raymond Damadian discovered the basis of using magnetic resonance imaging as a tool for medical diagnosis.
  • First IVF Baby Born

    First IVF Baby Born

    The world's first baby to be concieved by IVF is born.
  • Full Body Scan

    Full Body Scan

    1977 saw the construction of the first full body MRI scanner.