Medical/Health Timeline - MRI Technician

  • Blood circulation balance

    Blood circulation balance

    A physiologist named Angelo Mosso who lived in Italy during the 19th century, had manuscripts gathering dust in an Italian university. Inside the manuscripts, researchers found sketches of a contraption built in 1882: the first machine designed to watch the brain at work. It didn't resemble modern brain scanners in any sense.
  • Ventriculography

    Ventriculography

    American neurosurgeon Walter Dandy introduced the technique of ventriculography. X-rayimages of the ventricular system within the brain were obtained by injection of filtered air directly into one or both lateral ventricles of the brain. Dandy also observed that air introduced into the subarachnoid space via lumbar spinal puncture could enter the cerebral ventricles and also demonstrate the cerebrospinal fluid compartments around the base of the brain and over its surface. This technique was ca
  • Pneumoencephalography

    Pneumoencephalography

    Dandy's first scientific contribution was the detailed anatomical description of a 2 mm human embryo in Franklin P. Mall's collection. This paper was published in 1910, five months before he graduated from medical school. In 1911 and 1913, he described the blood supply and nerve supply, respectively, of the pituitary gland. In 1918 and 1919 Dandy published his landmark papers on air ventriculography and the associated technique of pneumoencephalography.
  • Angiography

    Angiography

    Egas Moniz introduced cerebral angiography, whereby both normal and abnormal blood vessels in and around the brain could be visualized with great precision.
  • Computerized Axial Tomography

    Computerized Axial Tomography

    Allan McLeod Cormack and Godfrey Newbold Hounsfield introduced computerized axial tomography (CAT or CT scanning), and ever more detailed anatomic images of the brain became available for diagnostic and research purposes.
  • Nobel Prize

    Nobel Prize

    Cormack and Hounsfield won the 1979 Nobel Prize for Physiology or Medicine for their work. Soon after the introduction of CAT in the early 1980s, the development of radioligands allowed single photon emission computed tomography (SPECT) and positron emission tomography (PET) of the brain.
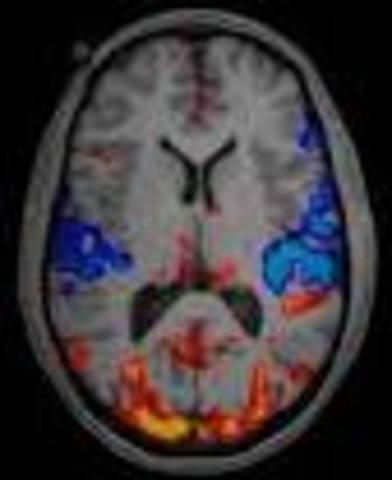
  • fMRI

    fMRI

    MRI was introduced clinically, and during the 1980s a veritable explosion of technical refinements and diagnostic MR applications took place. Scientists soon learned that the large blood flow changes measured by PET could also be imaged by the correct type of MRI. Functional magnetic resonance imaging (fMRI) was born, and since the 1990s, fMRI has come to dominate the brain mapping field due to its low invasiveness, lack of radiation exposure, and relatively wide availability.
  • Neuroimaging

    Neuroimaging

    The field of neuroimaging reached the stage where limited practical applications of functional brain imaging have become feasible. The main application area is crude forms of brain-computer interface.
  • MRI

    MRI

    More or less concurrently, magnetic resonance imaging (MRI or MR scanning) was developed by researchers including Peter Mansfield and Paul Lauterbur.
  • Espree

    Espree

    With the launch of its Espree MRI system in November 2004, the Siemens Medical Solutions (SMS) unveiled a technological breakthrough, building a 1.5T tunnel magnet that was only 125 cm long and had a very large bore, 70 cm in diameter. It's success braught other vendors to rise.

Looking for a timeline maker?

Create timelines for projects, roadmaps, history, lessons, legal cases, and stories with Timetoast. Timetoast is a timeline maker for work, school, research, and stories.