• Neixament

    Neixament

    Néixer en Marcel i jo
  • Sortir de la Incubadora

    Sortir de la Incubadora

    Jo surto de la incubadora.
  • Infantil

    Infantil

    Començo infantil a Mataró
  • Començo a muntar a cavall

    Començo a muntar a cavall

  • Començo a jugar a Bàsquet

    Començo a jugar a Bàsquet

    Jugo a l'equip de Celrà
  • Moto

    Moto

    Jo i el meu pare anant amb moto
  • Cosmocaixa

    Cosmocaixa

    Amb els amics de Mataró anem al Cosmocaixa. Estem al Bosc inundat.
  • Viatge a Roma

    Viatge a Roma

    Vaig anar a Roma amb la meva familia
  • Huella

    Huella

    Vaig veure un cavall morir desparés de d'una casses meva . I ma perbocat un trauma.
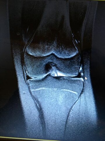
  • Menisc Trencat

    Menisc Trencat

    Jo em vaig encara fent un partit de Bàsquet. El menisc és un tros de cartílag en forma de C a l'articulació del genoll. El cartílag del menisc és un teixit fort, però flexible que actua com un amortidor entre els extrems dels ossos en una articulació.
  • Fem snow a Andorra

    Fem snow a Andorra

    Jo fent Snow a Andorra. M'ha agradat molt. Ho recomano.
  • Anar a França amb autocaravana

    Anar a França amb autocaravana

    Vam anar amb autocaravana amb una amics
  • Començar la ESO

    Començar la ESO

    He començat la ESO

Looking for a timeline maker?

Create timelines for projects, roadmaps, history, lessons, legal cases, and stories with Timetoast. Timetoast is a timeline maker for work, school, research, and stories.