Mitos vih 640x321

Historia y Evolucion de la Ciencia del Virus de Inmunodeficiencia Adquirida (VIH)

  • Finales de 1970

    Finales de 1970

    Empezaron a detectarse casos esporádicos de una rara enfermedad, todos ellos
    con un denominador común: infección por Cándida albicans en la boca y el esófago, acompañada
    de erupciones cutáneas en distintas partes del cuerpo que correspondían a una forma agresiva de
    sarcoma de Kaposi, neumonía por Pneumocystis carinnii y en algunos casos, daños neurológicos y
    una supresión del sistema inmunitario inexplicable.
  • Primer reporte oficial de enfermos

    Primer reporte oficial de enfermos

    La primera vez que se habló oficialmente de la enfermedad cuando Gottieb, Siegal y Masur, de la Facultad de Medicina de la Universidad de California, publicaron en el reporte semanal de morbilidad y mortalidad del Centro para el Control de Enfermedades de Atlanta, el informe de 5 casos de jóvenes homosexuales estudiados en 3 hospitales diferentes de Los Ángeles, que presentaban neumonía por Pneumocystis carinnii.
  • ¿Nueva enfermedad?

    ¿Nueva enfermedad?

    Se establece por el Centro de Control de Enfermedades los criterios diagnósticos y la definición de la enfermedad, pues existía el convencimiento de que se trataba de una nueva enfermedad. Es por eso que la primera denominación que se le da a esta es «Gay Cáncer», o «síndrome Gay», Durante un encuentro de la Food and Drug Administration (FDA), Bruce Voeller, ex director de la National Gay Task Force, propuso llamar a la nueva enfermedad: síndrome de inmunodeficiencia adquirida (SIDA).
  • Primeras Investigaciones

    Primeras Investigaciones

    En el hospital parisino de La Pitié, el grupo del profesor Rozenbaum y el doctor Françoise Brun-Vezinet, le extirparon un ganglio cervical a Brugière, un paciente homosexual de 33 años de edad, del que se sospechaba estuviera enfermo del SIDA.
  • Estudios del Virus

    Estudios del Virus

    El profesor Luc Montagnier, del Instituto Pasteur examinó la biopsia del ganglio. Procedieron a separar los linfocitos T de este tejido y se preparó un cultivo con IL-2 y con anticuerpos contra interferón. Quince días después, el doctor Barré-Sinoussi detectó indicios de la enzima transcriptasa reversa en el sobrenadante de los cultivos, lo cual señalaba la presencia de un retrovirus.
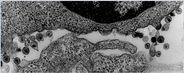
  • Primeras fotos del VIH

    Primeras fotos del VIH

    El profesor Charles Daguet, obtuvo la imagen de un nuevo virus
    sirviéndose de un microscopio electrónico, la fotografía es tomada de la misma muestra extirpada
    al joven francés.
  • Publicación en Science

    Publicación en Science

    la revista Science publica el descubrimiento del profesor Montagnier, quien informa que ha aislado el virus del SIDA y lo denomina LAV (Lynphadenopathy Associated Virus, virus asociado a linfadenopatías).
  • HTLV-III

    HTLV-III

    La entonces Secretaria de Salud de los Estados Unidos, Margaret Heckler, anuncia que el profesor Robert Gallo ha descubierto el virus del SIDA. Este virus, según el propio profesor, era de la misma familia del HTLV-I, denominándolo entonces HTLV-III.
    También, se identificó la molécula CD4 como receptor para el virus, lo cual explicaba la vía de entrada a la célula, evento de primordial importancia para estudiar el ciclo biológico del virus.
  • Teoría del Origen

    Teoría del Origen

    El doctor Robert Gallo, anunció la
    teoría del origen africano de la enfermedad y su hipótesis de la semejanza entre el VIH y el _HTLVIII, un virus de los simios africanos que según él habría sido transmitido a los humanos a través de una mordedura; a partir de ahí, fundamentalmente por medio del sexo y las transfusiones de sangre, la
    enfermedad se habría ido extendiendo hasta alcanzar los niveles actuales.
  • Clonación y Secuenciación del virus

    Clonación y Secuenciación del virus

    Se llevó a cabo la clonación y secuenciación del virus y una caracterización precisa de las proteínas de su envoltura.
  • Virus de la Inmunodeficiencia Humana (VIH)

    Virus de la Inmunodeficiencia Humana (VIH)

    Existían diversos nombres para el virus en cuestión: LAV, HTLV-III, ARV e IDAV (Inmunodeficiency Associated Virus, virus asociado a inmunodeficiencia),inclusive en términos compuestos como LAV/HTLV-III. En mayo de este año, el Subcomité de Retrovirus del Comité Internacional de Taxonomía Viral, presidido por Harold Varmus, publicó en Science una carta donde se propuso el
    nombre de virus de la inmunodeficiencia humana (VIH), el cual fue ampliamente aceptado por la comunidad internacional.
  • ¿Vacuna?

    ¿Vacuna?

    Una primera vacuna producida con la tecnología de péptidos sintéticos fue probada en humanos, en estudios de fase I, constituyendo Cuba el cuarto país del mundo que realiza estudios de este tipo. La vacuna consistió en un polipéptido multiepitípico que contenía regiones V3 de la go120 de varios aislamientos diferentes del virus. Aunque algo reactogénico, el polipéptido fue capaz de inducir respuesta de anticuerpos y respuesta linfoproliferativa en el
    grupo de individuos vacunados.
  • Actualidad

    Actualidad

    En la actualidad se considera incurable, aunque existen medicamentos antirretrovirales que son
    capaces de contener. En los países desarrollados, los infectados pueden llevar una vida totalmente normal, como un enfermo crónico, sin desarrollar un cuadro de SIDA gracias al tratamiento. Hoy en día se están realizando simultáneamente 25 ensayos con vacunas para enfrentar al VIH/SIDA. Una de las más esperadas ha sido la vacuna GP120, que intenta modificar la acción del antígeno de ese nombre.