4 terapias alternativas para el sindrome de down 1

Historia Síndrome de Down

  • Primer informe documentado

    El mes y el día no hacen parte del acontecimiento.
    No obstante en este año se encuentra el primer informe documentado de un niño con Síndrome de Down.
    Se atribuye a Etienne Esquirol.
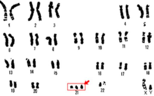
  • Material cromosomico

    Material cromosomico

    El mes y el día no hacen parte del acontecimiento.
    En el año 1932 se hace referencia por primera vez a una anomalia en el material cromosomico.
  • Número de cromosomas

    Historia del Síndrome de DownEl mes y el día no hacen parte del acontecimiento. En este año Tijo y Levan demuestran la existencia de 46 cromosomas en el ser humano
  • Cromosomas Síndrome de Down

    El mes y el día no hacen parte del acontecimiento. Lejeune, Gautrier, y Turpin demuestran cque la persona con Síndrome de Sown portan 47 cromosomas.
  • Cambio de denominacion

    El mes y el día no hacen parte del acontecimiento. durante este año un grupo de cientificos proponen el cambio de denominación ya que anteriormente se denominaba "mongol" y este tendia a ser un termino ofensivo o peyorativo.
  • Cambio OMS

    Ver video
    El mes y el día no hacen parte del acontecimiento. La OMS hace efectivo el cambio de denominación.

A list shows items. A timeline shows sequence.

Use Timetoast to make dates, milestones, and turning points easier to understand in a clear visual format. Timetoast is a timeline maker for work, school, research, and stories.