4dc0a85d 1974 42c3 9d74 d29a47f83273

DNAren esperimentu eta aurkikuntza nagusiak

  • Mendelen herentziaren legeak

    Mendelen herentziaren legeak

    Gregor Johann Mendelek herentzia sinpleari buruz egindako lanen argitalpenarekin, gai izan zen herentzia sinplearen legeak formulatzeko. Organismo gurasoek euren ondorengoei herentzia genetikoa nola transmititzen dieten azaltzeko oinarrizko arauen multzoa dira.
  • Azido nukleikoen aurkikuntza

    Azido nukleikoen aurkikuntza

    Meischerrek azido nukleikoak aurkitu zituen. Leukozitoekin eta izokin-espermatozoideekin lan eginez; karbono, hidrogeno, oxigeno, nitrogeno eta fosforo-ehuneko handi bat lortu zuen. Substantzia horri nukleina deitu zitzaion hasiera batean, nukleoan zegoelako.
  • Azido desoxirribonukleikoaren (DNA) aurkikuntza

    Azido desoxirribonukleikoaren (DNA) aurkikuntza, belaunaldiz belaunaldi herentzia fisikoa eta fisiologikoa nola transmititzen den azaltzen duena.
  • DNAren osaeraren identifikazioa

    DNAren osaeraren identifikazioa

    Phoebus Levenek DNA base nitrogenatu batez, azukre batez eta fosfato batez osatutako nukleotido bat dela identifikatu zuen.... Bere ikasle Phoebus A. Levenek bost karbono atomoko bi azukre aurkitu zituen. Erribosa ziren, legamiaren azido nukleikoan eta desoxirribosan, Miescherren nukleinan.
  • Griffithen esperimentua

    Griffithen esperimentua

    Frederick Griffith britainiar mikrobiologoak 1928an egindakoa, bakterioek informazio genetikoa transferitu zezaketela agerian jarri zuen lehenengoz, eta transformazio genetikoaren lehenengo zantzuak ere eman zituen. Horretarako Streptococcus pneumoniae-ren anduiak erabili zituen. Bakterioaren birulentzia aldatzen zen andui batean (R) eta sestean (S).
  • Azido nukleikoen aurkikuntza

    Azido nukleikoen aurkikuntza

    Albrecht Kossel maisuarekin, Miescherren nukleina azido desoxirribonukleikoa (zitosina (C), timina (T), adenina(A) eta guanina(G)) DNA eta fosfato talde batez osatuta zela frogatu zuten
  • Chargaffen araua

    Chargaffen araua

    Chargaffen arauak, azido desoxirribonukleikoaren (DNA) helize bikoitza osatzen duten nukleotidoen erlazio kuantitatiboan oinarritzen da, eta ezartzen du adenina kantitatea (A) timina kantitatearen berdina dela eta guanina (G) kantitatea zitosina kantitatearen (C) berdina dela, hau da, (A+G = C+T).
  • DNA informazio genetikoaren eramailea

    DNA informazio genetikoaren eramailea

    1944an, Oswald Averyk, Griffithek egindako esperimentuan oinarrituta, Colin Macleod eta Maclyn McCartyren laguntzarekin egindako ikerketari esker, DNA material genetikoa delako lehen ebidentzia esperimentala lortu zen: DNAk R motako bakterioak S motako bakterio bilakatzen zituen.
    Beraz, DNA da informazio biologikoaren eramailea eta ez proteinak.
  • Hershey eta Chaseren esperimentuak

    Hershey eta Chaseren esperimentuak

    1952an, Alfred Hershey eta Martha Chase DNA da informazio biologikoaren eramailea, ez proteinak, ondorio horiek egiaztatu zituzten. Horretarako T2 bakteriofagoa erabili zuten (bakterioak infektatzen dituen birus bat) eta DNA eta proteinak isotopo erradioaktiboekin markatuz ikusi zuten nola, DNA erradiaktiboki markatzean soilik bakterioen barnea zein fago berrai infektatzen zirela.
    Ondorioz, DNA da informazio genetikoa duena eta belaunaldiz belaunaldi transmititzen dena.
  • Rosalind Franklin-en 51. argazkia

    Rosalind Franklin-en 51. argazkia

    Rosalind Franklin-ek X izpien difrakzioaren bidez 51.argazki lortu zuen 1952an. Argazkian bereizten ziren DNA bi katek osatzen dutela eta horrela frogatu zen, baina meritua Watson eta Crick-ek irabazi zuten.
  • DNAren 3D moduloa Watson eta Cricken arabera

    DNAren 3D moduloa Watson eta Cricken arabera

    Chargaffen arauari jarraituz eta Rosalind Franklinek egindako argazkiari esker, James Watsonek eta Francis Crickek DNAren helize bikoitzeko egitura ezarri zuten. Ospe guztia bereganatu zuten Rosalind alde batera utzita.
  • Meselson eta Stahlen esperimentua

    Meselson eta Stahlen esperimentua

    1957an, Matthew Meselson eta Franklin Stahlen ikerlariek frogatu zuten DNAren erreplikazioa erdi kontserbakorra zela. Horretarako Escherichia coli kultibatu zuten N14/N15 isotopoak erabilita.
    N15-arekin sintetizatutako DNAk pisu handiagoa du nitrogenoaren forma egonkorrarekin (14N) sintetizatuak baino, eta, beraz, zentrifugazioz erraz banandu daitezke biak. DNA hibrido berria zenez hipotesi kontserbakorra okerra zela ondorioztatu zuten eta erdi kontserbakorra baieztatu zuten.
  • Beadle eta Tatumen nobel sariak

    Beadle eta Tatumen nobel sariak

    1940ko hamarkadan, George Beadlek eta Edward Tatumek egiaztatu zuten, Neuroespora crassa gene bakar bat aldatzeak entzimek gaizki funtzionatzea eragiten duela. Gene bat, entzima bat hipotesia.
    Hortaz, bi ikerlariek Nobel saria irabazi zuten hipotesia egiaztatzeagatik.
  • Arthur Kornberg eta Severo Ochoaren Nobel saria

    Arthur Kornberg eta Severo Ochoaren Nobel saria

    Kornberg eta Ochoak, azido erribonukleikoaren eta azido desoxirribonukleikoaren (DNA) sintesi biologikoaren mekanismoari buruz egindako aurkikuntzengatik, ADNak ere bere polimerasa sintetizatzen zela frogatu zuten.
    Ondorioz, Fisiologia eta Medikuntzako Nobel Saria eskuratu zuten.
  • Kode genetikoaren determinazioa

    Kode genetikoaren determinazioa

    Marshall Nirenbergek gidatu zuen kode genetikoa aurkitzeaz arduratzen zen taldea. Nukleotidoen 3 base dituen sekuentzia batean oinarritzen da, eta horiek zehazten dute 20 aminoazidoetako bakoitza.
  • Watson eta Cricken nobel sariak

    Watson eta Cricken nobel sariak

    1962an Maurice Wilkins eta Francis Crick-ekin DNAren helize bikoitzeko egituraren aurkikuntzagatik medikuntzako Nobel saria jaso zuten. Aurkikuntza hori zientzia modernoaren une garrantzitsuenetakotzat jotzen da. Gaur egun ere zientziaren arloan bizirik dirau eztabaidak, ea aurkikuntzaren meritua norena den.
  • Dolly ardia

    Dolly ardia

    Dolly ardia zelula heldu batetik klonatutako lehen ugaztuna izan zen. Bere sortzaileak Edinburgoko Roslin Institutuko zientzialariak izan ziren, Ian Wilmut eta Keith Campbell. Bere jaiotza zazpi hilabete geroago iragarri zen, 1997ko otsailaren 22an.
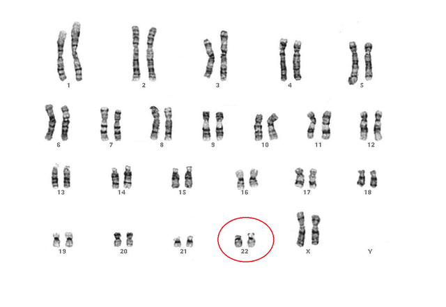
  • Krosoma 22ren kodeketa

    Krosoma 22ren kodeketa

    Lehenengo giza kromosoma kodetzen da osorik.
  • Giza genomaren sekuentzia osoa amaitzen da

    Giza genomaren sekuentzia osoa amaitzen da

    DNAren, organismo ororen jarduerak garatzeko eta zuzentzeko beharrezkoak diren jarraibide genetikoak dituen konposatu kimikoa, sekuentzia guztia amaitzen da.
  • Minbiziaren genoma sekuentzia osatzen da

    Minbiziaren genoma sekuentzia osatzen da

    2008an lehenengo aldia izan zen non minbiziaren genoma sekuentzia kodetu zen, leuzemia mieloide akutu baten ondorioz hildako emakume baten genoma zehatza.

Plan projects on a visual timeline

Map milestones, phases, deadlines, and key events in one place so the sequence is easier to see and share. Timetoast is a timeline maker for work, school, research, and stories.