-
As the EMBRYO grows, the heart begins to develop. The pulse begins after about week four, once the head has developed. This is in the EMBRYONIC STAGE.
Photo:
http://telling-secrets.blogspot.com/2013/03/take-breath.html -
The NEURAL TUBE develops in the EMBRYONIC PERIOD. This tube provides the structure for the baby. The NEURAL TUBE contains the brain and the spinal cord.
Photo:https://en.wikipedia.org/wiki/Neural_tube -
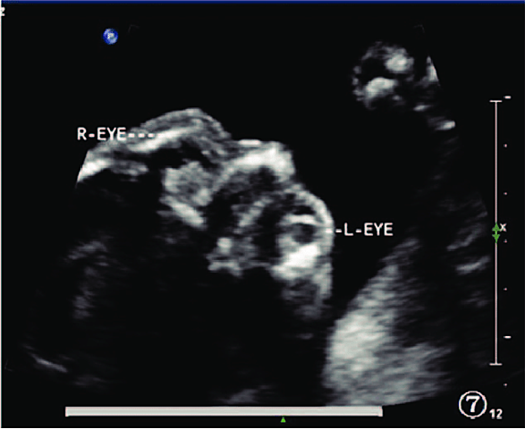
The eyes of a FETUS develop ealry on in the pregnacy but during the FETAL STAGE they become more sensitive to light.
Photo:https://www.researchgate.net/figure/Prenatal-2-dimensional-ultrasound-image-of-both-eyes-the-structures-of-both-eyes-appears_fig6_326789787 -
In the last TRIMESTER, the baby gains weight rapidly. Typically about 5 pounds. This layer of fat is helpful for after birth to help the baby regulate body temperature.
Photo:https://gynaeonline.com/3rd_trimester.htm -
By 4 months old, the INFANT can roll from their stomach to their back. At 6 months, the NEWBORN is able to roll in both directions.
Photo:https://www.mamanatural.com/when-do-babies-roll-over/ -
As INFANTS are about 4 months old they start babbling. COOING is how babies learn how to speak and communicate. Once the INFANT is 9 months, they begin to say "mama" and "baba".
photo:http://henningerspeech.ca/blog/speech-therapy-barrie/the-importance-of-babbling/ -
Around 9 months old, the INFANT begins to crawl. Typically around 6 months, the INFANT is crawling backward before moving forward because their GROSS MOTOR SKILLS are more developed.
Photo:https://www.mustelausa.com/baby-crawling -
By the time the INFANT is 2 months old, it will start smiling at familiar people. Once the child is about 4 months old, smiling will be more frequent.
Photo:http://www.essentialbaby.com.au/baby/development/0-6-months/no-just-wind-the-truth-about-those-adorable-newborn-baby-smiles-20181101-h17dyn -
Once the TODDLER reaches the age of 3, they are able to complete puzzles containing 3 to 4 pieces. This shows their development in MENTAL REPRESENTATIONS.
Photo:http://wanderingdanny.com/oxford/2014/10/toddler-jigsaw-puzzles/ -
By the time the CHILD is 2 years old, they can speak sentences that are composed of 2 to 4 words. They are normally short phrases like "more please" or "drink milk"
photo: https://www.parents.com/toddlers-preschoolers/development/language/get-your-toddler-talking/ -
At this stage in development, the TODDLER'S GROSS MOTOR SKILLS and FINE MOTOR SKILLS are more developed so they are now able to climb onto and off furniture without help.
Photo:https://kiddieacademy.com/academies/programs/toddler-daycare-curriculum/ -
Once a TODDLER is about 3 years old, they start sharing their toys with others and taking turns which shows the child's SOCIAL DEVELOPMENT.
Photo:https://parenting.firstcry.com/articles/encouraging-your-toddler-to-share-his-toys/ -
By the time a child is about 3 years old, they have enough FINE MOTOR SKILLS to dress and undress themselves. As children continue to grow, they want to be more independent and take initiative.
Photo: https://www.cdc.gov/ncbddd/actearly/milestones/milestones-3yr.html -
As children enter this age group, they begin to use more words to COMMUICATE. Children can also start to form sentences ranging 2 to 3 sentences. There are many theories on how children learn language and communication.
Photo:https://www.babycenter.com/0_toddler-milestone-talking_11738.bc -
During early childhood, young children begin to PLAY. Children begin to have more imaginative playtime and would rather play with others than alone.
Photo: https://tessais.org/role-playing-101-why-children-learn-fastere-with-interactive-activities/ -
As children age or continue to be more creative they are able to understand the human body more due to their COGNITIVE DEVELOPMENT. Eventually young children begin to draw more realistic pictures rather than stick figures that don't usually look like the real person.
photo:https://paintingvalley.com/stick-person-drawing -
At the beginning of Middle childhood, children begin to learn how to read and by the end of middle-childhood they should be able to read full length books without help. Children are able to do this because their WORKING MEMORY and KNOWLEDGE BASE MEMORY is more developed. They start processing information clearer.
Photo: https://www.simonstapleton.com/wordpress/2019/02/01/what-is-the-impact-of-book-reading-on-modern-youth/comment-page-1/ -
During middle childhood, growth slows but children normally grow taller and gain at least 5 pounds per year. CHILDHOOD OBESITY is one of the main physical concerns that can occur during this age group if a child does not obtain the proper nutrition and physical exercise needed.
Photo: https://sites.google.com/site/thelifecyclesofourchildren/middle-childhood -
As children continue to age, their FINE MOTOR SKILLS continue to develop and improve. One of the most important skills they learn in middle childhood is how to write.
photo: https://sites.google.com/site/thelifecyclesofourchildren/middle-childhood -
At this age children begin to develop their SELF-CONCEPT which is essentially their sense of self and self-confidence. Self-concept can be influenced by peers, family, and media.
Photo: https://learningsupportservicesinc.wordpress.com/2015/12/01/human-development-middle-childhood-and-self-concept/ -
During the teen years, the body beings to enter into PUBERTY which is when the PRIMARY and SECONDARY SEX CHARACTERISTICS are triggered by HORMONES and begin to be present.
Photo: https://www.friendshipcircle.org/blog/2013/11/18/how-to-discuss-puberty-with-your-child-who-has-special-needs/ -
During ADOLESCENCE, teens go through a GROWTH SPURT. Girls growth spurt is usually between age 8 and 13 and for boys between age 10 and 16.
Photo:https://vidyasury.com/2017/03/mom-ready-childs-last-growth-spurt.html -
During adolescence, teens change from SAME-SEX PEER GROUPS to MIXED-SEX PEER GROUPS which can lead to pairing off into romantic relationships.
Photo: https://manvillehoofprints.org/1257/showcase/pros-and-cons-of-high-school-teen-relationships/ -
During ADOLESCENCE, the PREFRONTAL CORTEX grows and the brain learns many complex thinking abilities. COGNITIVE EMPATHY, the theory-of-mind, also develops during the teen years.
Photo: https://ucdneuropsychologylab.wordpress.com/2018/12/17/why-is-the-prefrontal-cortex-so-important/
Want to make a timeline like this?
Use Timetoast to turn dates, events, milestones, and phases into a clear visual timeline you can build and share. Timetoast is a timeline maker for work, school, research, and stories.