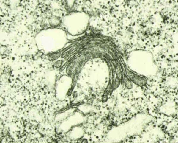
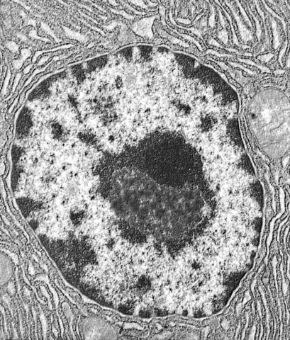
història de la cèl·lula By imanchon Period: Jul 1, 1667 to Sep 28, 2010 Història de la cèl·lula Jul 25, 1667 Bateig de la cèl·lula Podem veure perquè Hooke li va posar el nom de cèl·lula Aug 30, 1673 Antonie van Leeuwenhoek. Primer microscopi amb el que va fer observacions de glòbuls de la sang Biografia Sep 25, 1674 Leeuwenhoek observa per primer cop protozous d'una bassa Sep 25, 1683 Leeuwenhoek observa bacteris de la seva boca Sep 25, 1833 Robert Brown va descobrir el nucli tot obsevant cèl·lules vegetals Explicació del nucli Sep 25, 1838 els alemanys Mathias J. Schleiden, Theodor Schwan van establir la teoria cel·lular teoria cel·lular Sep 25, 1857 Descobriment del mitocondri http://ca.wikipedia.org/wiki/Mitocondri Sep 25, 1858 Rudolf Virchow amplia la teoria cel·lular: "Omnis cellula ex cellula Biografia de Rudolf Virchow Sep 25, 1879 Mitosi Mitosi Sep 25, 1897 Descobriment del reticle endoplasmàtic El reticle endoplasmàtic Sep 25, 1899 Golgi Sep 25, 1951 Lisosomes <a href='http://www.xtec.cat/~mmanzano/lisosoma.htm' >definició i funció del Lisosomes/a> Sep 25, 1952 Primer microscopi electrònic Microscopi electrònic Sep 25, 1956 Ribosomes video ribosoma