Electronico

Història de la cèl·lula (1667-1956)

  • Robert Hooke descobreix la cèl·lula

    Robert Hooke descobreix la cèl·lula

    Robert Hooke descobreix la cel·lula observant làmines de suro al microscopi.
  • Period: to

    La història de la cèl·lula

  • Bateig de la cèl·lula

    Bateig de la cèl·lula

    Robert Hooke bateja les cèl·lules. Les descriu com les unitats individuals que configuren la estructura del suro.
  • Primer microscopi amb el que s'observen glòbuls de la sang.

    Primer microscopi amb el que s'observen glòbuls de la sang.

    Antonie van Leeuwenhoek fa el primer microscopi amb el que s'observen glòbuls de la sang.
  • Leeuwenhoek  observa protozous.

    Leeuwenhoek observa protozous.

    Leeuwenhoek observa per primer cop protozous d'una bassa.
  • Leeuwenhoek observa bacteris.

    Leeuwenhoek observa bacteris.

    Antonie van Leeuwenhoek observa bacteris de la seva pròpia boca.
  • Robert brown descobreix el nucli de la cèl·lula.

    Robert brown descobreix el nucli de la cèl·lula.

    Robert brown descobreix el nucli observant cèl·lules vegetals.
  • Matthias J. Schleider i Teodor Schwann estableixen la teoria cel·lular.

    Matthias J. Schleider i Teodor Schwann estableixen la teoria cel·lular.

    Els alemanys Matthias J. Schleider i Teodor Schwann estableixen la teoria cel·lular.
    • Tots els éssers vius estan formats per cèl·lules.
    • La cèl·lula és la unitat anatòmica i funcional dels éssers vius.
    • Tota cèl·lula prové per divisió d'una altra cèl·lula.
  • Descobriment del mitocondri.

    Descobriment del mitocondri.

    Descobriment del mitocondri. http://www.xtec.cat/~jgurrera/mtcndri.htm
  • Rudolf Wirchow amplia la teoria cel·lular.

    Rudolf Wirchow amplia la teoria cel·lular.

    Rudolf Wirchow amplia la teoria cel·lular.
    " Omnis cellula ex cellula".
  • Descobriment del reticle endoplasmàtic

    Descobriment del reticle endoplasmàtic

    Descobriment del reticle endoplasmàtic. http://www.xtec.cat/~jgurrera/rer.htm
  • Mitosi

    Mitosi

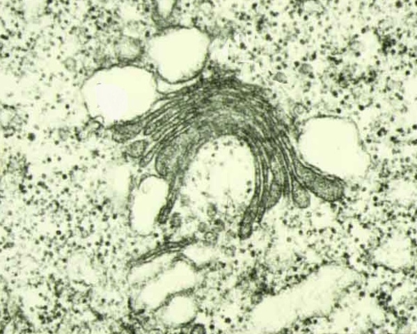
  • Golgi

    Golgi

  • Lisosomes

    Lisosomes

    Lisosomes. Com veiem a la fotografia les vesícules blanques són lisosomes. http://www.xtec.cat/~jgurrera/lsosoma.htm
  • Primer microscopi electrònic

    Primer microscopi electrònic

    Primer microscopi electrònic.
    Actualmnet amb un microscopi electrònic es poden aconseguir fins a un milió d'augments.
  • Ribosomes

    Ribosomes