Roberthooke

apareix la cel.lula:hooke

By oriol
  • Hooke descubreix la cèl.lula

    Hooke descubreix la cèl.lula

    Hooke descubreix la cèl.lula i bautiza,desprès de poc tems apareix el seu llibre anomenat "micrography"
  • Leewenhoek descriu l'organisme cel.lular

    Leewenhoek descriu l'organisme cel.lular

    Leewenhoek va ser la primera persona que va descriure l'organisme cel.lular.Era un científic sense estudis i molt poc conegut per aquests motius ningu se'l creia
  • Robert brown

    Robert brown

    Robert hooke per primer cop observa l'organise cel.lular d'una planta. Va poder observar el pol.len.
  • Teoria cel.lular

    Teoria cel.lular

    Mathias Schleider i Theodor Schwan van establir la teoria cèl.lular.
  • Tota cel.lula prové d'una altra cèl.lula.

    Tota cel.lula prové d'una altra cèl.lula.

    Al segle XIX Rudolf Virchov amplia la teoria cel.lular dient que:
    "Tota cel.lula prové d'una altra cèl.lula
  • El mitocondri

    El mitocondri

    Al segle dinou es descobreix el mitocondri. Una part de la cè.lula que fà la respiració per produÏr energia.
  • La Mitosi

    La Mitosi

    Al final del segle XIX es decobreix la mitosi la reproducció cèl.lular.(Es la copia entre dues cèl.lules que en fan una de igual)
  • Reticle Endoplasmàtic

    Reticle Endoplasmàtic

    Ja al segle XX es va descobrir el reticle endoplasmàtic que s'encarrega de fer la síntesi.N'hi ha de dos tipos el RER i el REL.
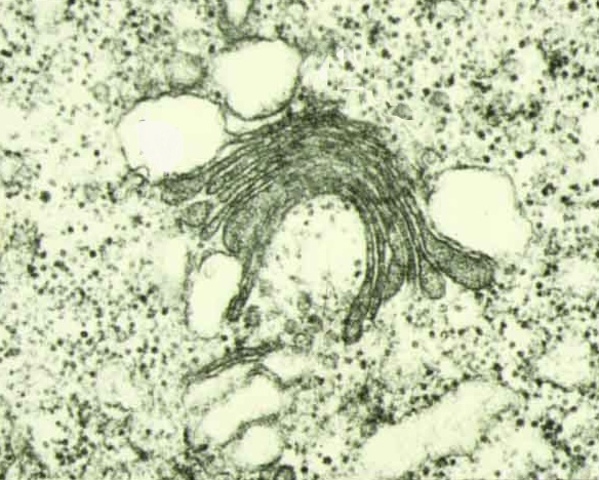
  • Aparell de Golgi

    Aparell de Golgi

    Golgi va descriure i descobrir un orgànul que es diu l'aparell de Golgi ,un orgànul que empaqueta les substàncies.
  • Lisosomes

    Lisosomes

    Al segle XX es descobreix les lisosomes que són orgànuls digestors.