1852-1900 Forensic Science

  • Earliest report including fiber analysis

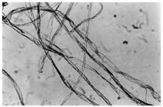
    Earliest report including fiber analysis

    1.fiber is the smallest unit of a textile material.
    2.Fiber samples are collected at the autopsy stage
    3.Hair and fiber are two of the most important resources in forensic science.
  • Period: to

    Forensic Science

  • Soil on suspects boots matches that at the crime scene.

    Soil on suspects boots matches that at the crime scene.

    1.footprints reflect real activity of individuals.
    2.footprints can reveal patterns of activity in order of which they occurred.
  • First use of forensic in entomology

  • William Herschel uses thumbprints to identify workers.

    William Herschel uses thumbprints to identify workers.

    1.Common techniques to find fingerprints are dusting.
    2.No two people have exactly the same fingerprints.
    3. Even identical twins with identical DNA have different fingerprints.
  • The first test for blood is developed.

  • Case identified by firearm

    Case identified by firearm

    1.The field of ballistics is able to identifying patterns,powder burn and many other different areas relativity to the use of firearms & evidence left behind.2. When a person is shot the wound & condition of victim can tell a lot about the weapon used.
    3.Most guns have their own unique identifying features.
  • Identifying people by body measurements.

    Identifying people by body measurements.

    Results found that compared with the fever body measurement are needed to identify a person.
  • Uses fingerprints to exonerate an innocent burglary suspect.

  • Paul Villein invents a smokeless gunpowder called poudre B

  • Sherlock Holmes story is published

  • Invents the first handheld camera he called it "kodak"

  • Chicago first U.S. city to adopt Bertillon System

    Chicago first U.S. city to adopt Bertillon System

    Law enforcement of the late 19th century believed that each individual had a unique combination of measurement of different body parts,and complaining these measurements could be need to distinguish between individuals .
  • Alexandre publishes text on matching bullets to gunbarrels.

  • Francis Galton publishes his book on fingerprints.

  • Argentina 1st country to replace the Bertillon system of measurements with fingerprints.

  • Alfred Dreyfors convicted of frason of false read handwriting identification.

    Alfred Dreyfors convicted of frason of false read handwriting identification.

    The ways in which a persons fine-moter skills can affect his or her handwriting & leave clues about the authors identity.
  • Gustan Kirenhoft & Robert Bunsen develop the science of spectroscopy.

  • Two canadian researchers start a number of systematic entomology studies on human corpses.

    Two canadian researchers start a number of systematic entomology studies on human corpses.

    Entomology study of insects & other anthropoid biology to criminal matters.It is primarily associated with death investigations. Flesh flies frequently give birth on corpses
  • Edward Henry develops the prototype fingerprint classification system now used in Europe and the United States.

  • Photomicrographs of two bullets allow individualization of the minutiae.

  • Scotland Yard adopts the Galton - Henry system of fingerprints identification.

    Scotland Yard adopts the Galton - Henry system of fingerprints identification.

    Methodology that uses digital imaging technology to obtain, store, and analyze fingerprint data. The AFIS was originally used by the U.S. Federal Bureau of Investigation (FBI) in criminal cases.
    IAFIS houses the fingerprints and criminal histories of 70 million subjects in the criminal master file, 31 million civil prints and fingerprints from 73,000 known and suspected terrorists processed by the U.S. or by international law enforcement agencies!

Looking for a timeline maker?

Create timelines for projects, roadmaps, history, lessons, legal cases, and stories with Timetoast. Timetoast is a timeline maker for work, school, research, and stories.