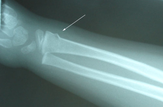
Ortopédia I. kurzus By chirio Period: Aug 22, 2017 to Feb 4, 2018 Ortopédia I. kurzus Sep 4, 2017 1. Előadás: Ortopédia bevezető http://www.massgeneral.org/museum/exhibits/etherdome/ Sep 11, 2017 2. előadás Ortopédiai fizikális vizsgáló módszerek és az eszközös vizsgálatok RTG, CT, MRI Sep 18, 2017 3. előadás Gerinc biomechanika, funkcionális gerincbetegségek: tartáshibák, funkcionális gerincferdülés http://ogk.hu/intezetunkrol/sajto/sajtokozlemenyek/2014/iskolataska/ Sep 25, 2017 4. előadás Gerinc betegségei: Scheuermann kór, Szerkezeti- struktúrális scoliosis Oct 1, 2017 5. előadás Törések fajtái, diagnózis, kezelés, szövődmények Oct 10, 2017 Zárt helyi dolgozat Ortopédia bevezető, Törések, Gerinc betegségei I. rész Oct 16, 2017 Levelező hét Oct 24, 2017 6. előadás: Artrózis, atritiszek + Pót Zh Nov 4, 2017 7. Előadás Csont rendszerbetegségek: Törpenövés-achondroplasia, Marfan szindróma, Osteogenesis imperfecta https://ghr.nlm.nih.gov/condition/achondroplasia https://hu.wikipedia.org/wiki/Peter_Dinklage Nov 12, 2017 8. előadás Csont daganatok https://rw.runnersworld.com/selects/terry-fox.html Nov 19, 2017 9. Előadás Polio: járványos gyermekbénulás, Spina bifida (nyitott gerinc, infantilis cerebrális parézis ICP http://www.who.int/topics/poliomyelitis/en/ Nov 25, 2017 10. Előadás Reumatoid artritis, csontvelőgyulladás, TBC http://www.rheumatology.hu/sites/default/files/attachments/page/cikkek-informaciok/biologiaiterapiacsaladorvosiforum.pdf Dec 6, 2017 Elővizsga hét Dec 14, 2017 Vizsgaidőszak kezdete Jan 24, 2018 Utóvizsga hét Feb 1, 2018 Ortopédia II. kurzusra jelentkezés a Neptunban