Descubrimiento de los rayos X (100 años antes)

  • Electricidad estática
    600 BCE

    Electricidad estática

    El filósofo griego Thales, descubrió que si el ámbar se frotaban con seda, se cargaba con electricidad y atraía otros objetos dando apertura a la evolución de la electricidad y magnetismo.
  • Electricidad

    Electricidad

    William Gilbert, médico y científico inglés, fue el primero en hablar sobre electricidad y en investigar acerca de las propiedades de las magnéticas; y fue también la primera persona en utilizar el término ¨fuerza eléctrica¨, polo magnético y atracción eléctrica.
  • Atracción y repulsión

    Atracción y repulsión

    Robert Boyle filósofo, químico y físico irlandés; descubrió que la fuerza eléctrica se podía transmitir en el vacío y observó la atracción y la repulsión.
  • EASTMAN KODAK COMAPNY

    EASTMAN KODAK COMAPNY

    George Eastman funda Eastman Kodak Company e inventa el rollo de película, con lo cual consiguió poner la fotografía a disposición de las masas.
  • Tubos de Geissler

    Tubos de Geissler

    Heinrich Geissler, físico alemán inventa un sistema de tubos de cristal que contienen gases como: neón, argón, líquidos conductores o minerales; se les aplica una carga eléctrica y los tubos emiten una luz debido al movimiento de los electrones.
  • Bobina de inducción

    Bobina de inducción

    Heinrich Daniel Ruhmkorff crea un tipo de transformador eléctrico​​​ que permite generar pulsos de alta tensión, a partir de una fuente de corriente continua de baja tensión.​​
  • Bombas de vacío

    Bombas de vacío

    Heinrich Geissler inventó una potente bomba de vacío. Esta bomba podía extraer el aire de un tubo de vidrio lo suficientemente resistente como para reducir la presión al 0,01% de la presión atmosférica ( hizo posible la bombilla eléctrica).
  • Tubos de descarga al vacío

    Tubos de descarga al vacío

    Julius Plücker, fue un matemático y físico alemán. Aportó al campo de la geometría analítica y fue pionero en las investigaciones de los rayos catódicos (descubrió que en los tubos de descarga al vacío aparecía luminiscencia en la pared de vidrio que estaba enfrente del cátodo y, debido a que el ánodo estaba colocado en el otro lado del tubo, él concluyó que esa aparición no era el resultado de la transmisión eléctrica del cátodo), que dirigieron al descubrimiento del electrón.
  • Generador de corriente eléctrica

    Generador de corriente eléctrica

    El inventor estadounidense Charles Brush, inventó el dínamo de bobina abierta o generador, que podía producir corriente constante de electricidad.
  • Tubos de vacío Hittorf

    Tubos de vacío Hittorf

    Johann Wilhelm Hittorf catedrático de física y química alemán, estudió las variaciones del espectro al variar la atmósfera es considerado precursor del tubo de Crookes con el que William Crookes dedujo la existencia de los rayos catódicos (1878).
  • Tubos de Crookes

    Tubos de Crookes

    William Crookes dedujo la existencia de los rayos catódicos mediante la invención de un cono de vidrio, al final del cono de vidrio, una banda calentada eléctricamente, llamada cátodo, produce electrones. Al lado opuesto, una pantalla tapada de fósforo forma un ánodo el que está conectado al terminal positivo del voltaje (unos cien voltios), del cual su polo negativo está conectado al cátodo.
  • Tubos de Lenard

    Tubos de Lenard

    Alemania, Philipp Lenard, construyó un nuevo tubo donde tiene una ventana hecha de aluminio, en la cual este hace que los rayos pudieran viajar fuera del tubo en cierta dirección y así vio que estos rayos pudieron traspasar por sus manos.
  • Descubrimiento de los rayos X

    Descubrimiento de los rayos X

    Wilhem Conrad Röntgen descubre los rayos X mediante el experimento para analizar los rayos catódicos.
  • Primera radiografía

    Primera radiografía

    Se realizó la primera radiografía de la historia: la mano de
    la esposa de Wilhelm Conrad Roentgen, Bertha Röntgen.
  • Fabricación del primer fluoroscopio

    Fabricación del primer fluoroscopio

    Thomas Edison se le atribuye el diseño y fabricación del primer fluoroscopio, que es el aparato aparato de rayos X que permitió observar los órganos interno en movimiento.
  • Pantallas fluorescentes de tungsteno

    Pantallas fluorescentes de tungsteno

    Thomas Edison desarrolla las pantallas fluorescentes de tungsteno.
  • Primeras radiografías en el mundo

    Primeras radiografías en el mundo

    Se realizan las primeras radiografías en Barcelona, España por Cesar Comas.
  • Radioactividad

    Radioactividad

    Antoine Henri Becquerel físico francés descubridor de la radiactividad ( fenómeno que se produce de manera espontánea en núcleos de átomos inestables emitiendo, mediante su desintegración en otro estable, gran cantidad de energía en forma de radiaciones ionizante) y premiado con el Premio Nobel de Física del año 1903.
  • Primera radiografía dental

    Primera radiografía dental

    El Dr. Otto Walkhoff toma la primera radiografía de sus propios maxilares. Para realizarla utilizó una placa de vidrio normal recubierta con una emulsión fotográfica, envuelta en papel negro y chapa de goma, que colocó en la parte externa de la mandíbula, con un tiempo de exposición de 25 minutos. Obtuvo un resultado bastante defectuoso dada la escasa sensibilidad del receptor
  • Radiografía intrabucal

    Radiografía intrabucal

    Dr. Edmund Kells, tiene el mérito de haber sido el primero en realizar una radiografía intrabucal en un paciente vivo. Se le considera el responsable de la mayor aportación a la radiología dental.
  • Transferencia de energía

    Transferencia de energía

    E. Dorn utilizó los termómetros para medir la transferencia de energía por los rayos X.
  • Premio Nobel de Física

    Premio Nobel de Física

    Wilhem Conrad Röntgen recibe el Premio Nobel de Física por el reconocimiento de los rayos X.
  • Primera unidad de rayos X diseñada para odontología

    Primera unidad de rayos X diseñada para odontología

    Se atribuye al Dr. Williams Rollins.
  • Válvula termoiónica

    Válvula termoiónica

    John Ambrose Fleming inventó la válvula termoiónica, el primer tubo de vacío. Este descubrimiento fue motivado por la colocación dentro de una bombilla incandescente, un electrodo algo alejado del filamento, con el cual se establecía una corriente entre el filamento y ese electrodo.
  • Efecto fotoeléctrico

    Efecto fotoeléctrico

    Albert Einstein comprende el efecto fotoeléctrico.
  • Ley de radiosensibilidad

    Ley de radiosensibilidad

    Al estudiar los efectos de la radiación ionizante en ratones, J. Bergonié y R. Tribondeau, llegaron a la conclusión que las células presentan diferente sensibilidad a la radiación en función de diferentes factores intrínsecos.
  • Primer aparato portátil de rayos X

    Primer aparato portátil de rayos X

    Mónico Sánchez Moreno presenta el primer aparato portátil de rayos X.
  • Longitud de onda de los rayos X

    Longitud de onda de los rayos X

    Max Von Laue perfecciona el método para medir la longitud de onda de los rayos X, demostrando que eran de naturaleza análoga a la luz.
  • Primer ánodo y cátodo de tungsteno

    Primer ánodo y cátodo de tungsteno

    William D. Coolidgen crea el primer ánodo y cátodo de tungsteno.
  • Premio Nobel de Física

    Premio Nobel de Física

    Max Von Laue es galardonado con el Premio Nobel de Física por su método para medir la longitud de onda de los rayos X.
  • Fundación del Instituto del Radio

    Fundación del Instituto del Radio

    Marie Curie funda el Instituto del Radio donde se estudiaron las aplicaciones de los rayos X en la medicina.
  • Period: to

    RX móvil

    Se usa el RX móvil en la guerra mundial y Marie Curie lo emplea para la cura de fracturas.
  • Rejilla de Bucke- Potter

    Rejilla de Bucke- Potter

    Hollis Potter y Gustav Bucky, doctores que inventaron una forma diferente de hacer la imagen de rayos x, y juntos ayudaron a definir la radiografía clásica a perfecta.
    Hicieron el elemento constituido por varillas finas de metal, generalmente de plomo, dispuestas en paralelo o con una ligera inclinación, que actúan absorbiendo la radiación difusa, que no incide de forma perpendicular en los espacios existentes entre ellas, mejoran la calidad de la imagen.
  • Transformador de Radon

    Transformador de Radon

    Johann Radon, matemático Austriaco desarrolló con las Fórmulas matemáticas que permiten reconstruir una imagen en 3 dimensiones a partir de una serie de imágenes en 2 dimensiones tomadas a lo largo del eje de un objeto. Desarrollar la TAC Tomografía Axial Computarizada.
  • Premio Nobel de Física

    Premio Nobel de Física

    Obtiene Albert Einstein el Premio Nobel de Física por su investigación sobre el efecto fotoeléctrico.
  • Radioprotección

    Radioprotección

    Se incorporan las primeras normas de radioprotección.
  • Efecto Compton

    Efecto Compton

    Se descubre por Artur H. Compton el efecto que lleva su nombre, que consiste en el aumento de la longitud de onda de un fotón cuando choca con un electrón libre y pierde parte de su energía.
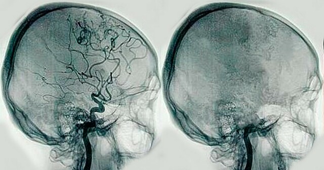
  • Angiografía

    Angiografía

    Egas Moniz realiza la primera angiografía ( examen de los vasos sanguíneos que utiliza imágenes por rayos X y una inyección de un material de contraste radiopaco para obtener imágenes de las arterias del cerebro, corazón, riñones, tracto gastrointestinal, aorta, cuello, pecho, extremidades y del sistema circulatorio).
  • Primer arco quirúrgico

    Primer arco quirúrgico

    Philips crea el primer arco quirúrgico con brazo en forma de "C".
  • Procesador de películas X-OMAT DE KODAK

    Procesador de películas X-OMAT DE KODAK

    El científico francés J.N.Niepcela, desarrolla el procesador de películas X-OMAT DE KODAK. La dosimetría de película es el adecuado el estudio de imágenes radiológicas, sus aplicaciones adicionales para propósitos dosimétricos surgieron de la práctica clínica.
  • Densitometría ósea

    Densitometría ósea

    J. Cameron y J. Sorenson descubren la densitometría ósea (prueba para determinar la densidad mineral ósea mediante rayos X).
  • Primer TAC (tomografía computarizada)

    Primer TAC (tomografía computarizada)

    Godfrey Newbold Hounsfield crea la primer TAC, la tomografía computarizada introduce el cambio ya que puede medir la atenuación o absorción del haz de rayos cuando pasa a través de secciones del cuerpo y lo hace desde cientos de diferentes ángulos.
  • Primer sistema de radiología digital directa

    Primer sistema de radiología digital directa

    F. Mouyens inventó el primer sistema de radiología digital directa (es un método que proporciona una radiografía mediante sensores que capturan la imagen ).

A list shows items. A timeline shows sequence.

Use Timetoast to make dates, milestones, and turning points easier to understand in a clear visual format. Timetoast is a timeline maker for work, school, research, and stories.