DESARROLLO EMBRIONARIO DEL OJO

  • DESARROLLO EMBRIONARIO DEL OJO

    DESARROLLO EMBRIONARIO DEL OJO

  • 1

    1

    Aparece en el neuroectodermo un engrosamiento a cada lado de la extremidad anterior de la placa neural, es el denominado ¨campo o área ocular¨
  • 2

    Cada campo ocular comienza a evaginarse formando el surco óptico, que aparece en humanos durante la cuarta semana del desarrollo
  • 3

    3

    Cuando se completa el cierre del neuroporo anterior, alrededor del día 25 del desarrollo, el esbozo óptico aparece como un divertículo lateral del prosencéfalo, denominado ¨vesícula óptica¨.
  • 4

    La vesícula óptica está unida a la pared del prosencéfalo por el pedículo o tallo óptico, relativamente estrecho y corto, a través del cual la cavidad de las dos vesículas se comunica con el ventrículo prosencefálico.
  • 5

    5

    El pedículo óptico se encuentra rodeado de mesénquima de origen cresto-neural. De igual forma, entre la vesícula óptica y el ectodermo de superficie hay células derivadas de la cresta neural. Se ha sugerido que éstas darán lugar a las células pigmentarias de la úvea.
  • 6

    6

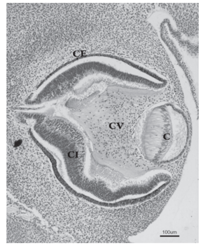
    La vesícula óptica está relacionada con la formación de la placoda cristaliniana, ésta se invagina, constituyendo la vesícula cristaliniana. Al mismo tiempo, laporción distal e inferior de la vesícula óptica se deprime de forma gradual para formar una invaginación con dos capas, interna y externa, denominada cúpula óptica
  • 7

    7

    Esta invaginación recorre longitudinalmente el pedículo óptico formando una hendidura conocida como hendidura embrionaria (fisura coroidea).
  • 8

    8

    DESARROLLO DE LA RETINA
    - Las células de la capa externa o lámina pigmentaria de la retina no se diferencian en neuronas durante el período prenatal, pero en la vida posnatal algunas de estas células mantienen propiedades de células madre y pueden diferenciarse en múltiples tipos de células. Se considera que la melanina, o algún producto asociado, regula el desarrollo de las capas neurales.
  • 9

    Durante la tercera semana del desarrollo se constata la
    presencia de una membrana basal en contacto con el
    epitelio pigmentario. Esta membrana basal rodea a la
    vesícula óptica en el curso del desarrollo y será la primera
    capa de la membrana de Bruch. En breve tiempo, aparecerá
    la capa de colágeno elaborada por los fibroblastos vecinos
    que separa el epitelio pigmentario y la capa coriocapilar.
  • 10

    10

    DESARROLLO DEL NERVIO ÓPTICO
    - Los axones de las células ganglionares de la retina neurosensorial crecen hacia el pedículo o tallo óptico. De esta manera, la cavidad del tallo se va obliterando. La aparición de los axones en la futura papila se observa en embriones de 16 mm de longitud GL; 6,5 semanas de desarrollo, 44 días. Las células del pedículo óptico rodean cranealmente a estas fibras y a la arteria hialoidea
  • 11

    Día 37 de desarrollo; comienza el cierre de la hendidura embrionaria, debido al crecimiento de los bordes del pedículo óptico. Durante la semana 7 del desarrollo, se observa el quiasma óptico. En la región de la futura papila aparece una acumulación de glioblastos, esbozo de la membrana limitante de Elschnig y del menisco central de Kuhnt, separando las fibras del nervio óptico del vítreo secundario
  • 12

    12

    A los 23 mm de longitud GL (51 días de desarrollo), la arteria hialoidea presenta en su inicio de recorrido intraví- treo una lámina limitante de glioblastos (papila de Bergmeister).
  • 13

    13

    Al final del período embrionario se forman las fibras secundarias del cristalino, originadas de la zona ecuatorial del cristalino, y se superponen a las fibras primarias. Aunque las fibras secundarias se siguen formando durante toda la vida y el cristalino va aumentando de tamaño, las fibras primarias se mantienen durante toda la vida.
  • 14

    14

    En la región posterior del nervio (retroescleral) aparecen numerosos vasos y tejido conjuntivo que penetra desde la envoltura pial en la semana 12 de desarrollo.
    En los meses 5-6 de desarrollo se completa la vascularización del nervio óptico y los vasos que forman el círculo arterial de Zinn-Haller muestran anastomosis. Durante el séptimo mes se forma la fibrosa de la lámina cribosa a la vez que comienzan a desarrollarse los vasos retinianos.
  • 15

    15

    DESARROLLO DEL CRISTALINO
    - Durante el día 32 del desarrollo, la placoda cristaliniana se invagina, hasta que un día más tarde se desprende de la superficie ectodérmica, formando la vesícula cristaliniana. Inicialmente ésta presenta una cavidad en su interior. Este fenómeno coincide con la aparición del cuerpo vítreo primario, entre la vesícula y la cúpula óptica.
  • 16

    16

    Las fibras de la pared profunda de la vesícula cristaliniana se diferencian para formar las fibras primarias del cristalino, que se orientan anteroposterormente y son muy transparentes. De esta forma, se va obliterando la cavidad de la vesícula cristaliniana, hecho que ocurre al final de la séptima semana del desarrollo.
  • 17

    17

    La vesícula del cristalino recibe irrigación de la arteria hialoidea, que también irriga a la retina en desarrollo
  • 18

    18

    Durante el tercer trimestre de gestación comienza a desaparecer la membrana pupilar y, de esta manera, se comunican las cámaras anterior y posterior del ojo.
  • 19

    19

    DESARROLLO DE LA CÓRNEA
    - Será ahora la vesícula cristaliniana la que induce la transformación del ectodermo de superficie dando lugar a la córnea, pero en su desarrollo también participarán células de otros orígenes. Así, el epitelio externo corneal es derivado del ectodermo de superficie, además las células derivadas de la cresta neural situadas alrededor de la cúpula óptica emigran y darán lugar al endotelio corneal.
  • 20

    20

    DESARROLLO DEL IRIS Y CUERPO
    CILIAR
    -El iris se forma a partir del reborde de la cúpula óptica,
    cubriendo parcialmente al cristalino. El epitelio iridiano
    presenta las dos capas de la cúpula óptica; se continúa con el epitelio del cuerpo ciliar y con el epitelio
    retiniano pigmentario y sensorial.
  • 21

    21

    DESARROLLO DEL CUERPO VÍTREO
    - El mesénquima que rodea la vesícula óptica penetra en el interior de la cúpula óptica a través de la hendidura embrionaria y forma el vítreo primario, que se sitúa entre la retina y el cristalino, y que consta de células mesenquimales, fibrillas producidas por la superficie interna de la retina sensorial y la cara posterior del cristalino, y vasos sanguíneos. Es rico en ácido hialurónico y glicosamina.
  • 22

    22

    DESARROLLO DE LA ESCLERA
    - La esclera se desarrolla a partir del mesénquima que rodea la vesícula óptica. Tras estudios realizados en aves se considera que la mayoría de los tejidos conectivos del ojo, incluyendo la esclera y la coroides, son derivados de la cresta neural. La esclera se continúa con la duramadre que rodea al nervio óptico y la coroides con la aracnoides y la piamadre.
  • 23

    23

    En el aparato excretor lagrimal se determinan tres fases de desarrollo: a) estadio de formación de la lámina lagrimal, b) estadio de la cuerda lagrimal y c) estadio de maduración del sistema excretor lagrimal, a partir de la novena semana del desarrollo, inicio del período fetal
  • 24

    24

    DESARROLLO DE LA MUSCULATURA
    EXTRÍNSECA
    - Los músculos extrínsecos del globo ocular se desarrollan a partir de la condensación premandibular del mesénquima de la placa precordal. Los músculos inervados por el tercer par craneal aparecen en el día 26 del desarrollo.
  • 25

    25

    DESARROLLO DE LOS ANEXOS DEL
    GLOBO OCULAR
    - Las glándulas lagrimales se desarrollan a partir del epitelio
    del fórnix conjuntival superior, en tres fases: a) estadio
    presuntivo glandular, b) estadio de yema epitelial y c) estadio de maduración glandular, a partir de la novena semana del desarrollo.

Looking for a timeline maker?

Create timelines for projects, roadmaps, history, lessons, legal cases, and stories with Timetoast. Timetoast is a timeline maker for work, school, research, and stories.