Cardiac trial thumb l

ACS Clinical Case Study

  • "I'm having Severe Nausea & Vomiting for the last Hour"

    A 59 year old African American female presents to the emergency room with severe nausea and vomiting for the last hour. She also reports chest pain radiating to the right arm. Her past medical history includes hypertension, diabetes mellitus type II, and chronic kidney disease stage III.
  • Triage Status: Urgent

    Triage Status: Urgent

    10 minutes later the nurse collects the following vital signs: a heart rate of 64 bpm, blood pressure of 91/67 mmHg, respiratory rate of 18 breaths per minute, and oxygen saturation of 100% on room air. The following ECG is collected.
  • The ECG was "Non-Significant"

    22 minutes later the patient's ECG showed sinus rhythm with small Q waves in leads III and aVF with T-wave inversions in leads II, III, and aVF and ST depressions in V5 and V6. The patient was monitored.
  • "Now I am having Chest Pain!"

    "Now I am having Chest Pain!"

    68 minutes after the patient reported 10/10 crushing chest pain. The following ECG was collected. Troponins collected at the time of the last ECG had not yet resulted.
  • Call the Cath Lab Now!

    77 minutes later there were now signs of refractory angina with more pronounced ST-segment depressions/ T wave inversions with an underlying rhythm of sinus tachycardia- all warning signs of worsening NSTEMI!
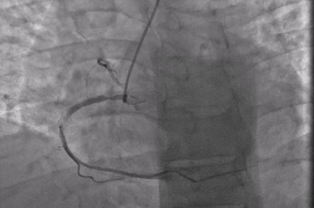
  • Significant Occulsion

    Significant Occulsion

    104 minutes later the patient was transferred to the cardiac catheterization laboratory where coronary angiography was performed that revealed an 80% stenosis of the proximal right coronary artery and a 90% stenosis in the mid-right coronary artery (Figure)

A list shows items. A timeline shows sequence.

Use Timetoast to make dates, milestones, and turning points easier to understand in a clear visual format. Timetoast is a timeline maker for work, school, research, and stories.