Toxoplasma

Toxoplasmosis

  • Discovery

    Discovery

    Discovery: Toxoplasma gondii was discovered in rodents in 1908 by Nicolle and Manceaux
  • Identification

    Identification

    Identification: Toxoplasmosis gondii was not identified as an agent of infectious disease until 1932. It was also named a year later.
  • Rise of Importance

    Rise of Importance

    Rise of Importance:In 1939, an infant was identified with toxoplasmosis gondii. This caused medical attention to toxoplasmosis gondii. Toxoplasmosis was indentified in the tissues of the infant as well.
  • Dye Test

    Dye Test

    Dye Test:Sabin-Feldman dye test in 1948 led to the recognition that T. gondii is a common parasite of warm-blooded hosts.
  • Schizophrenia Development by Toxoplasmosis

    Schizophrenia Development by Toxoplasmosis

    Schizophrenia Development by Toxoplasmosis:A total of 19 studies of T. gondii antibodies in persons with schizophrenia and other severe psychiatric disorders and in controls have been reported in 1953.
  • Rise of Importance (cont.)

    Rise of Importance (cont.)

    Rise of Importance:Veterinary importance became known when toxoplasmosis gondii was found to cause abortion storms in sheep in 1957.
  • Cat's Early History With Toxoplasmosis

    Cat's Early History With Toxoplasmosis

    Cats Early Histoy With Toxoplasmosis:The discovery of the cat as the definitive host in the 1960s was a very important finding as it helped to complete our understanding of the toxoplasmosis' life cycle,
  • Death Peak

    Death Peak

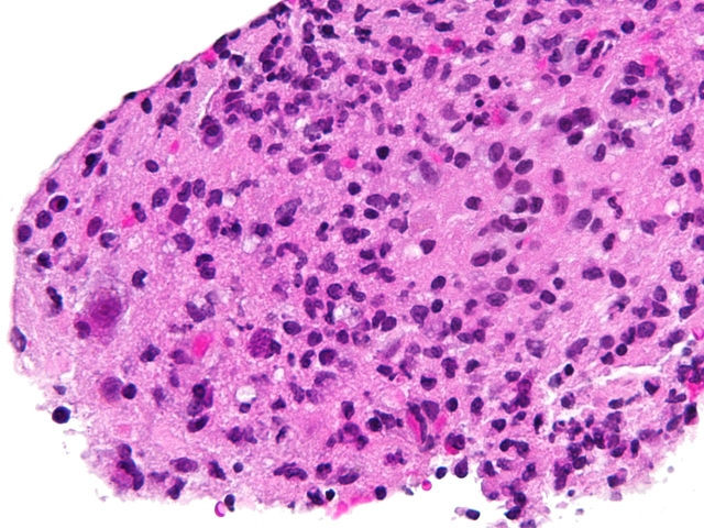
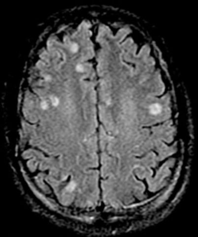
    Death Peak:Toxoplasmosis gondii reached its severe and potentially fatal disease peak of adults in 1968 after several cases of toxoplasma encephalitis were found in patients with cancers.
  • Discovery of Life Cycle

    Discovery of Life Cycle

    Discovery of Life Cycle:The life cycle of toxoplasmosis gondii was not discovered until 1970. Toxoplasmosis gondii was found that cats are its definitive host and an environmentally resistant stage (oocyst) is secreted in feces of infected cats.
  • Early Research of Toxoplasmosis Psychological Impact

    Early Research of Toxoplasmosis Psychological Impact

    Early Resource of Toxoplasmosis Psychological Impact:According to early research, Toxoplasmosis gondii caused impaired memory learning in mice and rats.
  • Toxoplasmosis gondii: Widely Recorded

    Toxoplasmosis gondii: Widely Recorded

    Toxoplasmosis gondii: Widely Recorded:Toxoplasmosis gondii became excessively recorded as a cause of morbidity in immunodeficient patients, including AIDS patients beginning in 1983.
  • CDC Study

    CDC Study

    CDC Study:Toxoplasma gondii is common throughout the world. A CDC study from 2003 showed that in the United States in 1999-2000, 16% of the population aged 12 to 49 years carried antibodies against the parasite.
  • Toxoplasmosis and Schizophrenia Research

    Toxoplasmosis and Schizophrenia Research

    Toxoplasmosis and Schizophrenia Research:In 2003, E. Fuller Torrey of the Stanley Medical Research Institute in Bethesda, Maryland his colleagues noted a link between Toxoplasma and schizophrenia. They also noted that women with high levels of the parasite were more likely to give birth to future schizoprenic patients.
  • Schizophrenia and Toxoplasmosis

    Schizophrenia and Toxoplasmosis

    Schizophrenia and Toxoplasmosis:As of 2013, at least 38 studies have found a positive correlation between T. gondii antibody titers and schizophrenia.
  • Present

    Present

    Present:T. gondii continues to be an important disease in the modern world, especially in pregnant women and immunocompromised patients.

Want to make a timeline like this?

Use Timetoast to turn dates, events, milestones, and phases into a clear visual timeline you can build and share. Timetoast is a timeline maker for work, school, research, and stories.