Radiation Protection: Shielding

By AbiHall
  • Roentgen Discovers X-Rays

    Roentgen Discovers X-Rays

    • He discovered x-rays and invented the first x-ray tube.
    • X-ray devices were soon widely used for diagnostic purposes.
    • Early users of x-ray devices were unaware of the dangers of large doses of radiation.
  • First Case of X-Ray Induced Dermatitis is Published

    First Case of X-Ray Induced Dermatitis is Published

    To follow would be many radiation injuries and deaths.
    - In 1896 Elihu Thomson, an American electrical engineer, deliberately exposed one of his fingers to X rays and provided accurate observations on the burns produced.
    - Thomas Edison's glass blower, Clarence Dally, is thought to be the first to die from radiation exposure: metastatic carcinoma, in 1904.
    - His early symptoms included erythema then blistering of his hands, epilation (hair loss) and ulceration of his scalp.
  • Radiation Protection a Key Topic at the First German Radiology Congress

    Radiation Protection a Key Topic at the First German Radiology Congress

    Radiation protection accessories were developed and became available for purchase:
    - X-ray test hands
    - Radiation-proof clothing, such as gloves and aprons made of leather or leaded rubber.
    - Mobile X-ray protective screens with lead-glass windows or radiation-protected cabins
    - X-ray tubes were covered and fitted with apertures
  • British X-Ray and Radium Protection Committee Issues Guidelines for Shielding Operators

    British X-Ray and Radium Protection Committee Issues Guidelines for Shielding Operators

    The recommendations to protect X-ray operators included:
    - maximum work schedules
    - required amounts of "leisure time"
    - 2 mm lead screen or apron
    - 0.5 mm lead gloves
  • Fruit Fly Experiment: X-Rays as Mutagens

    Fruit Fly Experiment: X-Rays as Mutagens

    • Hermann Joseph Muller irradiated fruit flies and then mated them to see if x-rays would cause genetic mutations. - After repeated experiments, Muller concluded that x-rays did cause genetic mutations (88 lethal mutations in 758 cultures).
    • This began concern that x-rays may cause sterility or genetic mutations in humans.
  • NCRP Recommends Lead-Lined Walls/Booths for Diagnostic Imaging

    NCRP Recommends Lead-Lined Walls/Booths for Diagnostic Imaging

    National Council on Radiation Protection:
    - "All x-ray rooms (except for dental radiography) or booths
    shall be lined with at least 0.5mm sheet lead or equivalent
    material"
    - "This may be omitted only on outside walls and sides
    adjacent to unoccupied rooms"
    - “Every assistant, technician, and operator should be given
    at least four weeks vacation a year with at least 2 weeks of
    this consecutively and during the summer months.”
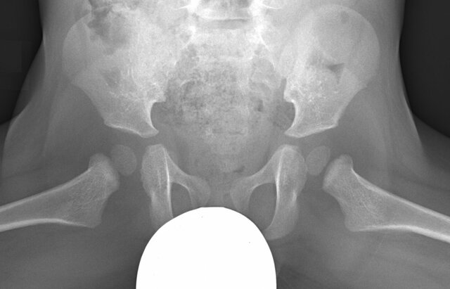
  • Patient Gonadal Shielding Becomes Common Practice

    Patient Gonadal Shielding Becomes Common Practice

    • In the 1950s, post WWII (and the atomic bombings), doctors began to shield reproductive glands and pregnant females' fetuses during medical imaging.
    • At the time, medical experts were concerned about the long-term effects of radiation exposure to an unborn fetus and to reproductive cells of the testes and ovaries.
    • They were also concerned damaged reproductive cells could be passed to future generations.
  • Patient Gonadal Shielding Introduced Into U.S. Code of Federal Regulations

    Patient Gonadal Shielding Introduced Into U.S. Code of Federal Regulations

    • It had been previously determined through research that radiation exposure from diagnostic exams was too low to affect fertility, but that there was concern for hereditary risks.
    • CFR recommended testicular shielding during all exams where gonads may be in or in close proximity to the x-ray beam.
    • CFR recommended NOT using ovarian shielding in most cases because of the risk of obscuring pertinent anatomy
  • NCRP Recommends Discontinuing Patient Gonadal Shielding

    NCRP Recommends Discontinuing Patient Gonadal Shielding

    • The National Council on Radiation Protection and Measurements' statement: "NCRP now recommends that GS not be used routinely during abdominal and pelvic radiography, and that federal, state, and local regulations and guidance should be revised to remove any actual or implied requirement for routine GS."
    • A little late to the game: by 2021 many healthcare institutions had already implemented a "no-shielding" policy
    • However, some states still shield patients and are slow to change policies
  • Advancements in Shielding Technologies Continue

    Advancements in Shielding Technologies Continue

    Over the century, radiation protection for staff in the form of shielding continues to improve. Recent innovations for use in Cath Labs include:
    - Radiaction: Automatic shields for the image receptor on c-arms.
    - Protego: Radiation barrier (imagine a mobile lead wall) protects from nearly all radiation so staff don't have to wear lead aprons.
    - ControlRad: Eye-tracking technology which concentrates radiation only to the area where the operator is looking, thus shielding the periphery.

Looking for a timeline maker?

Create timelines for projects, roadmaps, history, lessons, legal cases, and stories with Timetoast. Timetoast is a timeline maker for work, school, research, and stories.