1

"Los principales descubrimientos del ADN"

  • Period: to

    Los principales descubrimientos del ADN

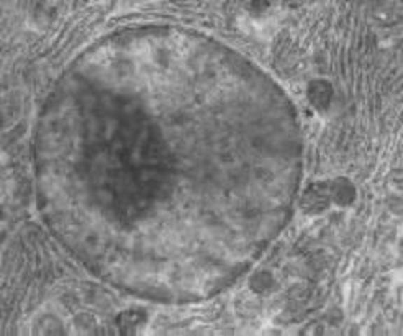
  • Descubrimiento del núcleo de la células eucariotas.

    Descubrimiento del núcleo de la células eucariotas.

    Robert Brown, fue un botánico escoses, descubridor del núcleo celular de los organismos eucariotas. Este descubrimiento fue realizado mientras observaba la estructura de las orquídeas en la cuales destacó una área opaca denominada núcleo.
  • Louis Pasteur

    Louis Pasteur

    Refutación de la teoría de la generación espontánea. Esta teoría nos decía que apartir de la materia inerte podía surgir vida.
    El científico francés Louis Pasteur en 1861 con un series de experimentos logró superar la objeción de la ausencia de aire y desterró de forma definitiva la idea de generación espontánea.
  • Gregor Mendel

    Gregor Mendel

    En 1865 realizó los primeros estudios genéticos con plantas y lo expuso antes la sociedad de Historia Natural Brünn. A pesar de no contar con gran furor, era un estudio de gran importancia. En 1866 publicó su obra "Ensayos sobres los híbridos vegetales", en la cual expuso la formulación de las leyes que llevan su nombre
  • Friedrich Miescher

    Friedrich Miescher

    Friedrich Miescher, este biólogo suizo indentificó el AND nuclear, nucleina.
  • Cromosomas

    Cromosomas

    Se realizan las primeras observaciones al microscopio de los cromosomas, descubriendo su implicación en la herencia genética.
  • Redescubrimientos del las leyes de Mendel

    Redescubrimientos del las leyes de Mendel

    Se produjo por tres botánicos llamados Corrnes, De Vries y Von Tshermark. Fueron impulsados por Baterson, que acuñó el término genética.
  • Johannsen

    Johannsen

    Creó la definición de gen, genotipo y fenotipo.
  • Albrecht Kossel

    Albrecht Kossel

    A este bioquímico alemán le fue otorgado el premio nobel de medicina en 1910, por sus contribuciones en el desciframiento de la química del ácido nucléicos y proteínas, bases de la moléculas del ADN.
  • Alfred Fturtevant

    Alfred Fturtevant

    Realizó el primer mapa genético de un cromosoma.
  • Teoría cromosómica del la herencia.

    Teoría cromosómica del la herencia.

    Establecida por T.H. Morgan y su grupo de la Universidad de Columbia gracias a los estudios con la mosca del vinagre.
  • Mapas genéticos

    Mapas genéticos

    Los mapas genéticos demuestran la disposición lineal de los genes en los cromosomas.
  • Entrecruzamiento

    Entrecruzamiento

    Este proceso es la causa de la recombinación genética.
  • Oswald Theodore  Avery

    Oswald Theodore Avery

    Este científico junto a otros compañeros demostraron que el ADN es el portador de la información genética.
  • Alfred Hershey y Martha Chase

    Alfred Hershey y Martha Chase

    Estos científicos usan virus para confirmar que el ADN es el material genético.
  • Erwin Chargaff

    Erwin Chargaff

    Demuestra que el ADN está formado por cuatro bases nitrogenadas: Adenina, Timina, Citocisa y Guanina. Y sus emparejamientos : La adenina siempre va con la timina y la citosina con la guanina.
  • James Watson y Francis Crick

    James Watson y Francis Crick

    Desentrañaron la estructura de doble helice de la molécula del ácido desoxirribonucléico.
  • Watson y Srick

    Obtienen una imñagen de la estructura tridimensional de la doble helice del ADN.
  • Jo Hin Tjio y Albert Levan

    Jo Hin Tjio y Albert Levan

    Establecen que en la especie humana enl número de cromosomas en la especie humana es 46.
  • Código genético

    Código genético

    Se determina el código genético, es decir, la lectura del ADN.
  • Primeras Manipulaciones con el ADN

    Primeras Manipulaciones con el ADN

    Nathans y Smith, descubren las enzimas de restricción, enzima que pueden cortar el ADN en lugares específicos. Estas son utilizadas en la formación de las plantas transgénicas.
  • Transgénicos

    Transgénicos

    Creación de los primerps transgénicos.
  • Clonación animal

    Clonación animal

    Se manipuló con las primeras clonaciones en animales creando la oveja Dolly.
  • Genoma Humano

    Genoma Humano

    Se completa con éxito el proyecto de genoma humano. Contando con una precisión del 99.99%.
  • Partenogénisis

    Partenogénisis

    Se creó en Japón un ratón solo con el ADN de dos hembras (Partenogénesis). Para fecundar un ratón necesitaron solo dos óvulos.
  • ADN conductor de la electricidad.

    ADN conductor de la electricidad.

    Investigadores de la Universidad de Málaga (UMA), pertenecientes al Departamento de Física Aplicada II, han descubierto que las propiedades conductoras de la cadena de ADN dependen de la disposición de sus nucleótidos.

A list shows items. A timeline shows sequence.

Use Timetoast to make dates, milestones, and turning points easier to understand in a clear visual format. Timetoast is a timeline maker for work, school, research, and stories.