Los inventos tecnológicos titulo

los inventos tecnológicos de los últimos 50 años

  • Cirugía robótica con láser no invasiva

    Cirugía robótica con láser no invasiva

    La cirugía robotizada comprende la realización de cirugía utilizando robots.
  • Fibra óptica

    Fibra óptica

    ​Las fibras ópticas se utilizan más común como un medio para transmitir luz y tienen un amplio uso en las comunicaciones por fibra óptica
  • Automóviles eléctricos

    Automóviles eléctricos

    Los primeros coches prácticos surgieron en la década de 1880.
  • Energía solar fotovoltaica

    Energía solar fotovoltaica

    La energía solar fotovoltaica es una fuente de energía renovable y limpia que utiliza la radiación solar para producir electricidad.
  • Teléfonos celulares y computadoras

    Teléfonos celulares y computadoras

    Los teléfonos celulares, así como las computadoras móviles, en todas las cosas que puedes hacer con estas invenciones, tan solo con mover uno de tus dedos puedes acceder a cualquier tipo de información.
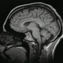
  • Imagen por Resonancia Magnética (IRM)

    Imagen por Resonancia Magnética (IRM)

    Una imagen por resonancia magnética (IRM), es una técnica no invasiva para obtener información sobre la estructura y composición del cuerpo a analizar.
  • Internet

    Internet

    El Internet ​ es un conjunto descentralizado de redes de comunicación interconectadas constituyen una red lógica única de alcance mundial.
  • Microprocesadores (CPU)

    Microprocesadores (CPU)

    El microprocesador es el circuito integrado central más complejo de un sistema informático; se le suele llamar por analogía el «cerebro» de un ordenador.
  • Photoshop

    Photoshop

    Photoshop es una herramienta de edición fotográfica y un programa informático esencial para casi todos los negocios, sean del tipo que sean.
  • El GPS

    El GPS

    Desde entonces, el desarrollo de Internet y la banda ancha móvil ha facilitado más que nunca la navegación por nuevos lugares.
  • Pruebas de ADN y mapeo del genoma humano

    Pruebas de ADN y mapeo del genoma humano

    El Proyecto Genoma Humano (PGH) con el objetivo fundamental de determinar la secuencia de pares de bases químicas que componen el ADN e identificar y cartografiar todos los genes de un genoma humano.
  • Biocombustibles

    Biocombustibles

    Un biocombustible es una mezcla de sustancias orgánicas que se utiliza como combustible en los motores de combustión interna.

Looking for a timeline maker?

Create timelines for projects, roadmaps, history, lessons, legal cases, and stories with Timetoast. Timetoast is a timeline maker for work, school, research, and stories.