Afya descritivo logo solo primary

Linha do tempo SOI I

  • DNA
    1 CE

    DNA

    O núcleo celular é responsável por armazenar o DNA, uma molécula que carrega nosso material genético.
    https://www.youtube.com/watch?v=rlBzKgJ91II
  • Heredograma
    2

    Heredograma

    A manifestação genética de determinados genes é marcada pelo seu fenótipo. A representação gráfica dos estudos das manifestações genéticas é o heredograma, ao qual estuda as heranças genéticas nas diferentes gerações. As heranças genéticas podem ser do tipo autossômica ou ligada ao X ou ao Y (apenas em homens).
    https://www.youtube.com/watch?v=jf8_SObkeiI
  • Organelas
    3

    Organelas

    Analogicamente, as organelas seriam como pequenos órgãos das células que atuam para mante-las vivas e atuantes.
    https://www.youtube.com/watch?v=gCnQvlHrFTI
    Além das organelas apresentadas no vídeo, ainda existe os peroxissomos, responsáveis por sintetizar e liberar enzimas oxidativas e a catalase no citoplasma.
  • Células
    4

    Células

    As células são estruturas 3D e, quando visualizada em lâminas, são vistas em 2D. Por exemplo, o exame de Papanicolau serve para prevenir o câncer do colo do útero com uma coleta de células do colo uterino. Células do canal endocervical são do tipo simples cilíndrica e podem ser vista lateralmente (paliçada) ou "de cima" (favo de mel), como na imagem dessa descrição. Devemos sempre lembrar que na microscopia (tanto celular quanto histológica) estamos visualizando em 2D estruturas que são 3D.
  • Compartimentos e líquidos corporais
    5

    Compartimentos e líquidos corporais

    Os líquidos corporais estão distribuídos nos compartimentos intra e extracelular; esse último formado pelo interstício celular e plasma sanguíneo. Os dois compartimentos, devido à permeabilidade seletiva da membrana celular, possuem constituição semelhante, mas concentrações distintas de solutos. A composição do líquido extracelular é regulada por diversos mecanismos que mantém as células banhadas por um líquido com concentração de eletrólitos e nutrientes adequada a seu perfeito funcionamento.
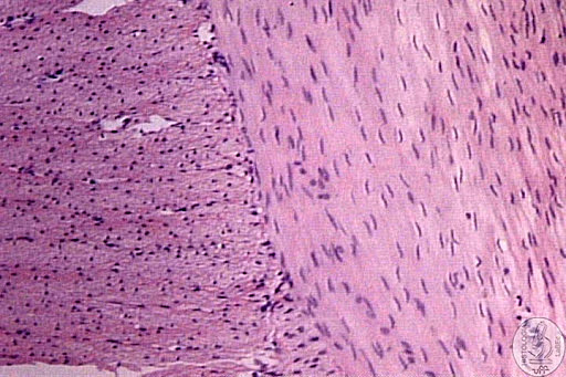
  • Tecidos, órgãos e sistemas
    6

    Tecidos, órgãos e sistemas

    Um tecido é um conjunto de células e, assim como as lâminas citológicas, devemos ter em mente que os cortes histológicos dos vários órgãos (conjunto de tecidos) são disposições 2D de estruturas 3D. Para melhor exemplificar, veja o vídeo sobre o sistema gastrointestinal e como as fibras musculares externas se comportam em cortes transversal e sagital (https://www.youtube.com/watch?v=SOUQz5Yj0Gg) seguido da microscopia apenas da muscular externa (https://www.youtube.com/watch?v=luD36O2R_IQ)
  • Planos anatômicos
    7

    Planos anatômicos

    Planos de delimitação (tangenciais) são 06:
    -4 VERTICAIS (longitudinais):
    Lateral Direito
    Lateral Esquerdo
    Anterior (Ventral)
    Posterior (Dorsal)
    -2 HORIZONTAIS (transversos):
    Superior (Cranial)
    Inferior (Podálico)
    Caudal (tronco isolado)

Looking for a timeline maker?

Create timelines for projects, roadmaps, history, lessons, legal cases, and stories with Timetoast. Timetoast is a timeline maker for work, school, research, and stories.